
皆様、初めまして。
このたび「秋津歯科・矯正歯科」を開設させていただくことになりました。地域の皆様に歯科医療を通じて社会貢献したいと考え、こちらでの開業となりました。患者様のお口の中の状態は千差万別です。患者様のお口の中の悩みに合わせて、さまざまな治療法をご提案させて頂き、ご了解を頂いた上で治療を行なっていきたいと考えております。そして、各分野のプロフェッショナルと連携し、患者様の大切な歯をサポートしてまいります。バランスの良い噛み合わせとお口の中の疾患の予防を実践することで、皆様の全身的な健康に寄与することを目標に努力してまいります。
| 2004年 | 東京医科歯科大学歯学部 卒業 |
|---|---|
| 2008年 | 東京医科歯科大学大学院 卒業 歯学博士取得 東京医科歯科大学歯学部附属病院 義歯外来 勤務 |
| 2012年 | 東京医科歯科大学大学院 非常勤講師 秋津歯科・矯正歯科 院長 |
| 2024年 | 東京科学大学(旧:東京医科歯科大学) 生体補綴歯科学分野 非常勤講師 |
※現在の治療費と異なる場合がございます。最新の治療費は料金表をご確認ください。





























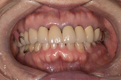
かぶせ物ではなく、ダイレクトボンディングでの治療、また埋入されているインプラント体に問題はなかったため、仮歯のやりかえと上部構造物の製作を行いました。
詳しく見る