マウスピース矯正

マウスピース矯正
とは

mousepiece orthodontics

矯正治療は大別するとワイヤーを用いて行う方法と取り外しの装置を用いて行う方法の2種類があり
ます。

ワイヤーを用いた矯正治療は矯正治療の王道になります。
ただ、見た目や歯磨きのしにくさといったデメリットがありますが、目立ちにくくするために透明の装置が開発されたり、裏側に装置を装着する方法が考案されています。

取り外しの装置を用いた矯正治療には床矯正とマウスピース矯正があります。床矯正とは基本的に成長期の小児の治療で、狭い顎を広げるために用いられる装置になります。そのため、床矯正だけで治療が完了することはほぼありません。

マウスピース矯正では透明のマウスピース型の装置(アライナー)を治療の段階に合わせて交換しながら歯を動かしていく矯正治療です。アライナーは食事と歯磨きの時以外は常に装着していただきます。装着時間が短いと計画通りに歯が動かない場合があります。
ワイヤー矯正は常に歯に力が加わりますが、マウスピース矯正ではアライナー装着時しか歯に力が加わりませんので、ご自身の努力次第で治療の結果が大きく変わります。

矯正歯科

マウスピース矯正のケース

現在の治療費と異なる場合がございます。最新の治療費は料金表をご確認ください。

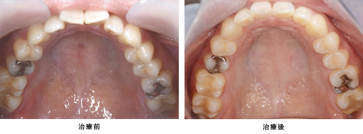
CASE1

年齢・性別 30代 女性
主 訴 前歯の歯並びが気になる
ワイヤー矯正以外の方法で歯並びを治したい
治療
内容
マウスピース矯正・
インビザライン GO
治療費 検査 
22,000円
治療費用
418,000円
経過観察費用
5,500円/回
保定装置
55,000円
治療
期間
8ヶ月
リスク・副作用 動かすスペースを確保するため、エナメル質を少し削ることがあります
歯磨きが不十分だと虫歯や歯周病の原因になることがあります
かみ合わせが変化するので顎関節に問題が生じることがあります
患者様自身での着脱なので、装着時間や装着方法によって計画通りに動かないことがあります
歯がしみたり、痛みを伴うことがあります
過去に治療したつめ物や被せ物の再治療が必要になることがあります
歯並びや歯の状態によっては適応にならないことがあります

CASE2

年齢・性別 29歳 女性
主 訴 前歯の歯並びが気になる
治療
内容
マウスピース矯正・
インビザライン GO
治療費 検査 
22,000円
治療費用
418,000円
経過観察費用
5,500円/回
保定装置
55,000円
治療
期間
6ヶ月
リスク・副作用 動かすスペースを確保するため、エナメル質を少し削ることがあります
歯磨きが不十分だと虫歯や歯周病の原因になることがあります
かみ合わせが変化するので顎関節に問題が生じることがあります
患者様自身での着脱なので、装着時間や装着方法によって計画通りに動かないことがあります
歯がしみたり、痛みを伴うことがあります
過去に治療したつめ物や被せ物の再治療が必要になることがあります
歯並びや歯の状態によっては適応にならないことがあります

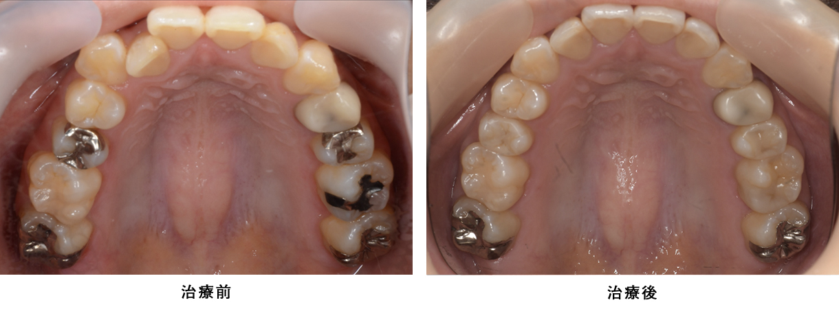
CASE3

年齢・性別 30代 女性
主 訴 前歯の歯並びが気になる
ワイヤー矯正以外の方法で歯並びを治したい
治療
内容
マウスピース矯正・
インビザライン GO
治療費 検査 
22,000円
治療費用
418,000円
経過観察費用
5,500円/回
保定装置
55,000円
治療
期間
9ヶ月
リスク・副作用 動かすスペースを確保するため、エナメル質を少し削ることがあります
歯磨きが不十分だと虫歯や歯周病の原因になることがあります
かみ合わせが変化するので顎関節に問題が生じることがあります
患者様自身での着脱なので、装着時間や装着方法によって計画通りに動かないことがあります
歯がしみたり、痛みを伴うことがあります
過去に治療したつめ物や被せ物の再治療が必要になることがあります
歯並びや歯の状態によっては適応にならないことがあります

CASE4

年齢・性別 29歳 女性
主 訴 前歯の歯並びが気になる
治療
内容
マウスピース矯正・
インビザライン GO
治療費 検査 
22,000円
治療費用
418,000円
経過観察費用
5,500円/回
保定装置
55,000円
治療
期間
6ヶ月
リスク・副作用 動かすスペースを確保するため、エナメル質を少し削ることがあります
歯磨きが不十分だと虫歯や歯周病の原因になることがあります
かみ合わせが変化するので顎関節に問題が生じることがあります
患者様自身での着脱なので、装着時間や装着方法によって計画通りに動かないことがあります
歯がしみたり、痛みを伴うことがあります
過去に治療したつめ物や被せ物の再治療が必要になることがあります
歯並びや歯の状態によっては適応にならないことがあります

CASE5

年齢・性別 30代 女性
主 訴 前歯の歯並びが気になる
口元を綺麗にしたい
治療
内容
マウスピース矯正・
インビザライン GO
治療費 検査 
22,000円
治療費用
418,000円
経過観察費用
5,500円/回
保定装置
55,000円
治療
期間
1年
リスク・副作用 動かすスペースを確保するため、エナメル質を少し削ることがあります
歯磨きが不十分だと虫歯や歯周病の原因になることがあります
かみ合わせが変化するので顎関節に問題が生じることがあります
患者様自身での着脱なので、装着時間や装着方法によって計画通りに動かないことがあります
歯がしみたり、痛みを伴うことがあります
過去に治療したつめ物や被せ物の再治療が必要になることがあります
歯並びや歯の状態によっては適応にならないことがあります

CASE6

年齢・性別 20代 女性
主 訴 前歯の歯並びが気になる
治療
内容
マウスピース矯正・
インビザライン GO
治療費 合計 
506,000円(2022年10月現在)
検査
33,000円
治療費用
473,000円(保定装置を含む)
経過観察費用
55,000円/回
治療
期間
2021年8月〜2022年2月(半年間)
リスク・副作用 動かすスペースを確保するため、エナメル質を少し削ることがあります
歯磨きが不十分だと虫歯や歯周病の原因になることがあります
かみ合わせが変化するので顎関節に問題が生じることがあります
患者様自身での着脱なので、装着時間や装着方法によって計画通りに動かないことがあります
歯がしみたり、痛みを伴うことがあります
過去に治療したつめ物や被せ物の再治療が必要になることがあります
歯並びや歯の状態によっては適応にならないことがあります
治療方針 笑った時に見える前歯を治したいという主訴に応じて、インビザラインGOにて矯正を始めました。 左上6番と右下6番のクラウンはIPR(Inter Proximal Reduction:歯と歯の間を削る処置)の為、インビザラインset前に仮歯に変更しました。
矯正終了後に新たにクラウンを装着しました。矯正終了後に右上5番と右上6番に虫歯があったため、インレーで修復を行いました。
虫歯治療終了後に、保定装置を作成しました。治療後半年間は22時間以上使用してもらい、現在は就寝時のみ使用してもらっています。
特記事項 左下3番は元々歯肉が下がっていたので、矯正終了後、歯肉が上がってこない可能性があります。 処置歯があり、過去に虫歯になった経験があることが分かります。
マウスピース矯正を行うことによって、より虫歯になりやすくなることを伝え、セルフケアや飲食の習慣の重要性を見直してもらいました。
担当者所見 装着時間を守っていたので、追加アライナーをすることなく矯正治療を終えられました。
患者様自身も満足いく治療となりました。また、虫歯になりやすい口腔内ということも理解するようになり、矯正前よりセルフケアを熱心に行うようになりました。

CASE7

年齢・性別 50代 女性
主 訴 前歯を綺麗にしたい
右下5番~左下5番
治療
内容
マウスピース矯正・
インビザライン GO
治療費 合計:481,800円
・内訳
治療計画:3,300円
基本料金(リテーナーを含む):473,000円
モニタリング・調整料(治療ごと):5,500円
(2023年7月現在)
治療
期間
1年
治療方針 5ヶ月間で矯正が終了する計画でしたが、前歯のかみ合わせが気になるとのことで、追加でアライナーを装着して矯正治療を終えました。
右上5番のインレーはIPR(Inter Proximal Reduction:歯と歯の間を削る処置)の為、インビザライン装着前にコンポジットレジン修復に変更しました。矯正終了後に新たにインレーを装着しました。
また、右下5番は歯列が並んだことで上の歯とかみ合わせが合わなくなってしまったので、クラウンのやり替えを行いました。
また、矯正治療をして歯が動いて、縁下歯石が確認できたのでクリーニングも併せて行いました。
特記事項 本来アライナーは1週間に1度の交換ですが、患者さまの年齢を考えると歯の動くスピードが遅いので、10日間を目安に交換するようにお伝えしました。
担当者所見 歯を大きく動かしているので後戻りをしやすいことを伝えて、リテーナーの使用時間を守るようにお伝えしました。
今後は定期検診に通っていただき状態を確認していきます。

CASE8

年齢・性別 20代 女性
主 訴 前歯を綺麗にしたい
右上5番〜左上5番
左下5番〜右下5番
治療
内容
マウスピース矯正・
インビザライン GO
治療費 治療計画:3,300円
基本料金(リテーナーを含む):495,000円
モニタリング・調整料(治療ごと):5,500円
(2024年7月現在)
治療
期間
8ヶ月間
リスク・副作用 動かすスペースを確保するため、エナメル質を少し削ることがあります
歯磨きが不十分だと虫歯や歯周病の原因になることがあります
かみ合わせが変化するので顎関節に問題が生じることがあります
患者さま自身での着脱のため、装着時間や装着方法によって計画通りに動かないことがあります
歯がしみたり、痛みを伴うことがあります
過去に治療した詰め物や被せ物の再治療が必要になることがあります
歯並びや歯の状態によっては適応にならないことがあります
治療方針 治療計画では歯並びは綺麗になるが、最終的に前歯がかまない可能性になることをお伝えし、これを避けるには追加アライナーでの対応が必要な事をお伝えしました。
最初の計画のアライナーを終えたところ、まだ左上1番と2番の歯並びが気になるということ、前歯のかみ合わせのこともあるのでアライナーを追加しました。
治療が終了してからまだ半年以内のため、リテーナーを1日22時間使用いただいています。
特記事項 IPRを加えた追加アライナーをしたことによって、虫歯のリスクや知覚過敏のリスクが高くなる事を説明しました。
担当者所見 舌を前に出す癖があったので、後戻りも防ぐためにも舌癖は控えるように指導しました。

CASE9

年齢・性別 20代 女性
主 訴 歯並びを綺麗にしたい
右上5~左上5
右下5~左下5
治療
内容
インビザラインGO
治療費 治療計画 3,300円
基本料金(リテーナーを含む)495,000円
モニタリング・調整料(治療ごと)5,500円
(2023年11月現在)
治療
期間
6ヶ月
リスク・副作用 動かすスペースを確保するため、エナメル質を少し削ることがあります。
歯磨きが不十分だと虫歯や歯周病の原因になることがあります。
かみ合わせが変化するので顎関節に問題が生じることがあります。
患者様自身での着脱なので、装着時間や装着方法によって計画通りに動かないことがあります。
歯がしみたり、痛みを伴うことがあります。
過去に治療した詰め物や被せ物の再治療が必要になることがあります。
歯並びや歯の状態によっては適応にならないことがあります。
治療方針 IPR(歯の抜歯は行わず、エナメル質を削合してスペースを獲得する方法)を行い歯列を直していくので虫歯のリスクや知覚過敏のリスクが高くなる事を説明し治療を進めていき、治療が終了してからリテーナーを使用してもらうように説明した。
最初の計画のアライナーを終えたところ、まだ左上1番と2番の歯並びが気になるということ、前歯のかみ合わせのこともあるのでアライナーを追加しました。
治療が終了してからまだ半年以内のため、リテーナーを1日22時間使用いただいています。
特記事項 マウスピース矯正をしていると違和感や痛みが生じる可能性があります。
痛みに関しては一般的に装着後、3~5日ほどで和らいでくることが多いです。
担当者所見 歯を大きく動かしているので後戻りをしやすいことを伝えて、リテーナーの使用時間を守るようにお伝えしました。
今後は定期検診に通っていただき状態を確認していきます。

CASE10

年齢・性別 20代 女性
主 訴 ブライダル矯正をしたい
右上5番〜左上5番
左下5番〜右下5番
治療
内容
マウスピース矯正
インビザラインGO
治療費 合計:533,500円
治療計画:33,000円
基本料金(リテーナーを含む):495,000円
モニタリング・調整料(治療ごと):5,500円
(2024年8月現在)
治療
期間
5ヶ月
リスク・副作用 マウスピースは取り外しが可能なので、治療の進み具合はマウスピースの装着時間や装着の仕方によって計画通りに歯が動かないことがあります。
歯磨きが不十分だと虫歯や歯ぐきの腫れの原因になることがあります。
かみ合わせが変化するので顎関節に問題が生じることがあります。
治療中は歯の揺れが大きくなるので、食べ物がつまる、硬いものが噛みにくいなどの症状がおきる場合があります。
治療計画によっては歯を削ることがあります。
マウスピースの着脱により、歯に取り付けた装置(アタッチメント)が脱離することがあります。
歯の移動により歯ぐきが下がることがあります。
詰め物や被せ物のやり直しが必要になることがあります。
歯の移動によって、根が短くなることがあります。
歯の移動により、神経が炎症を起こし、歯の痛みが出ることがあります。
治療後にリテーナー(保定装置)を装着しないと、歯が元の位置に戻ることがあります。
治療方針 半年後の結婚式に向けて、前歯を綺麗にしたいという主訴で来院されました。
マウスピース矯正では歯を動かすスペース確保のため、エナメル質の範囲内で歯を削ることがあります。今回のケースでは、歯を削るだけではスペースを確保しきれないため、右下2番の抜歯を行い歯を動かしていきました。
その結果、約5ヶ月間という短い期間で矯正治療を終えることができ、矯正後にはオフィスホワイトニングとホームホワイトニングを併用して行いました。
特記事項 歯ぎしりがある方なので、リテーナーに負担がかかりやすくなっています。
将来的には上の歯により硬い素材のマウスピース(ナイトガード)に移行することも検討していますが、現状ではリテーナーを継続して使用していただいています。
担当者所見 今回のケースは結婚式までの半年間という短い期間で、矯正治療を終えるというミッションがありました。マウスピース矯正により患者様の主訴を達成できました。
理想的な笑顔で結婚式を迎えることができて大変喜んでいました。

CASE11

年齢・性別 30代 男性
主 訴 歯並びを直したい
治療
内容
インビザラインGO
治療費 合計:599,500円
・内訳
治療計画:33,000円
基本料金:495,000円
リテーナー代:33,000円
追加アライナー:33,000円
モニタリング・調整料(治療ごと):5,500円
(2024年10月現在)
治療
期間
1年
リスク・副作用 ・動かすスペースを確保するため、エナメル質を少し削ることがあります。
・歯磨きが不十分だと虫歯や歯周病の原因になることがあります。
・かみ合わせが変化するので顎関節に問題が生じることがあります。
・患者様自身での着脱なので、装着時間や装着方法によって計画通りに動かないことがあります。
・歯がしみたり、痛みを伴うことがあります。
・過去に治療した詰め物や被せ物の再治療が必要になることがあります。
・歯並びや歯の状態によっては適応にならないことがあります。
治療方針 インビザ ラインGOによるマウスピース矯正
特記事項 追加アライナー、ホワイトニング、ラミネートベニア、詰め物の再治療を行ったため、通常よりも治療期間が長くかかりました。
担当者所見 前歯の歯並びが気になり、マウスピースでの矯正を行いました。
IPR (Inter Proximal Reduction:歯と歯の間を削る処置)により右上5、6番と左上5、6番の詰め物のやり直し(※1)、ホワイトニング、右上2番のラミネートベニア(※2)を行いました。

※1 詰め物の症例はこちら
※2 ラミネートベニアの症例はこちら

マウスピース矯正を開始したことで口腔内の意識も高まり、歯並びだけでなく審美的にも綺麗になりました。
歯並びとホワイトニングの後戻りを確認を定期検診で確認していきます。

CASE12

年齢・性別 30代 女性
主 訴 歯並びをきれいにしたい
右上5番〜左上5番
左下5番〜右下5番
治療
内容
マウスピース矯正 インビザラインGO
治療費 治療計画:33,000円
基本料金(リテーナーを含む):495,000円
モニタリング・調整料(治療ごと):5,500円
(2024年5月現在)
治療
期間
5ヶ月
リスク・副作用 マウスピースは取り外しが可能なので、治療の進み具合はマウスピースの装着時間や装着の仕方によって計画通りに歯が動かないことがあります。
歯磨きが不十分だと虫歯や歯ぐきの腫れの原因になることがあります。
噛み合わせが変化するので顎関節に問題が生じることがあります。
治療中は歯の揺れが大きくなるので、食べ物がつまる、硬いものが噛みにくいなどの症状がおきる場合があります。
治療計画によっては歯を削ることがあります。
マウスピースの着脱により、歯に取り付けた装置(アタッチメント)が脱離することがあります。
歯の移動により歯ぐきが下がることがあります。
詰め物や被せ物のやり直しが必要になることがあります。
歯の移動によって、根が短くなることがあります。
歯の移動により、神経が炎症を起こし、歯の痛みが出ることがあります。
治療後にリテーナー(保定装置)を装着しないと、歯が元の位置に戻ることがあります。
治療方針 マウスピース矯正では歯を動かすスペース確保のため、エナメル質の範囲内で歯を削ることがあります。
その結果、約5ヶ月間という短い期間で矯正治療を終えることができました。
特記事項 インビザラインを始める前に、歯周病の治療・虫歯治療・親知らずを抜歯してからインビザラインを始めました
担当者所見 歯列が綺麗になってとても喜んでいました。
今後はリテーナーの使用時間などを確認しながら定期検診をおこなっていきます。

マウスピース矯正の
メリット

治療中でも目立ちにくい

mousepiece orthodontics

マウスピース矯正に使用する装置(アライナー)は透明な装置のため、装着していても目立ちません。1枚のアライナーは1〜2週間使用していただきますが、徐々に変色することがあります。アライナーを装着したまま着色しやすい飲食物を口にすることは避けましょう。

お口の中を清潔に保てます

mousepiece orthodontics

アライナーは取り外せるため、ワイヤー矯正と比較すると歯磨きがしやすく、お口の中を清潔に保て
ます。

マウスピース矯正のリスク

  • マウスピースは取り外しが可能なので、治療の進み具合はマウスピースの装着時間や装着の仕方によって計画通りに歯が動かないことがあり
    ます。
  • 口歯磨きが不十分だと虫歯や歯ぐきの腫れの原因になることがあります。
  • 噛み合わせが変化するので顎関節に問題が生じることがあります。
  • 治療中は歯の揺れが大きくなりますので、食べ物がつまり安かったり、硬いものが噛みにくかったりすることがあります。
  • 治療計画によっては歯を削ることがあります。
  • マウスピースの着脱により、歯に取り付けた装置(アタッチメント)が脱離することがあります。
  • マウスピースの装着により、喋りにくくなることがあります。
  • マウスピースが頬や舌にあたり、傷や痛みを生じることがあります。
  • 歯の移動により歯ぐきが下がることがあります。
  • 詰め物や被せ物のやり直しが必要になることがあります。
  • 歯の移動によって、根が短くなることがあります。
  • 歯の移動により、神経が炎症を起こし、歯の痛みが出ることがあります。
  • 治療後にリテーナー(保定装置)を装着しないと、歯が元の位置に戻ることがあります。

当院が導入している
マウスピース矯正
のシステム

mousepiece orthodontics

当院ではアライン・テクノロジー・ジャパン株式会社のインビザライン goシステムを導入しています。

インビザラインは、薬機法上の医療機器には該当しないため、厚生労働省により承認された医療機器ではありません。

  • 米国のアライン・テクノロジー社によって製造されたものを直接、輸入しています。
  • 国内で製造されるインビザラインに類似したカスタムメイドの矯正装置は、歯科技工士法上の矯正装置に該当し、それらを使用した矯正治療があります。
  • インビザラインは、これまで世界中で1,000万以上の患者に使用されていますが、
    予見できない重大の健康被害等は報告されていません。

インビザラインgoシステムでは最先端のAI診断により無理のない治療計画を立てることが可能です。治療計画によりますが、このシステムでは大臼歯は移動させないため、比較的短時間で前歯の凸凹や隙間を改善することが可能です。

このシステムに不適な症例は以下の通りです。
・骨の成長が終了していない場合
・歯並びだけでなく、骨格的な問題がある場合
・噛み合わせが安定していない場合
・歯根吸収が認められる場合
・凸凹の量が多く、抜歯が必要な矯正治療の場合
・歯を動かした後に噛み合わせの位置がズレる可能性がある場合
・虫歯や歯周病が進行している場合

マウスピース矯正の治療の流れ

Step1. 治療相談

mousepiece orthodontics

口腔内スキャナー(iTero)によりお口の状況をスキャンします。その場で簡易的なシミュレーションを行い、治療後のイメージを確認することができます。ただし、レントゲンなどの資料がないため、シミュレーション通りの結果になるわけではありません。

治療相談についての動画

治療相談の流れについての動画を
用意いたしましたので、ぜひご覧ください。

デジタル印象採得装置についての動画

デジタル印象採得装置についての動画を
用意いたしましたので、ぜひご覧ください。

Step2. 検査

mousepiece orthodontics

レントゲン、歯周組織検査、虫歯や歯磨きの状況、口腔内・顔貌写真の撮影などを行います。

Step3. 治療計画説明・契約

mousepiece orthodontics

検査結果をもとに立てた治療計画のご説明をします。マウスピース矯正ではこの段階で治療終了時のゴールを決める必要があります。 治療計画にご納得いただけたら、ご契約いただき、治療の準備を開始します。

Step4. 治療前準備

mousepiece orthodontics

治療計画によっては金属製の詰め物や被せ物をプラスチック製のものに変更する必要があります。その場合は、矯正治療終了後に詰め直しや被せ直しをします。

Step5. 治療開始

mousepiece orthodontics

必要に応じて、アタッチメントと呼ばれる補助装置を歯に装着します(白色のプラスチックなので目立ちません)。また、歯を移動させるスペースを確保するために歯と歯の間を削ることがあります。

治療計画の確認と承認についての動画

治療計画の確認と承認についての動画を
用意いたしましたので、ぜひご覧ください。

Step6. 経過観察

mousepiece orthodontics

月に1度、歯の動きの状況とアライナーの適合状態、アタッチメントの確認を行います。

Step7. 保定装置の製作

mousepiece orthodontics

計画通りに歯の移動が終了したら、その状態を維持するための装置(保定装置)を製作します。治療後、半年間はアライナーと同様に食事中と歯磨きの時以外は常に装着していただきます。

マウスピース矯正の費用

相談 無料
検査 22,000円
※治療を行わない場合でも
検査費用はご返金致しかねます
治療
費用
418,000円
経過観
察費用
5,500円/回
保定
装置
55,000円

よくある質問

成長期は治療の対象外になります。年齢の上限はありませんが、歯や歯周状態によっては適用できない場合があります。

治療方針や計画によって異なりますが、使用するアライナーは20枚が上限になります。
なお、アライナーは通常1〜2週間ごとに新しくしていただきます。

個人差はありますが、歯を動かすためアライナーを新しくすると2~3日は痛みを伴うことがあります。ただ、その3日間が歯を動かすためには大変重要な期間になります。
それ以上に痛みが続く場合は担当医までご相談ください。また、アライナーが頬・舌・歯肉に当たって痛みを生じることがあります。その際は使用を中止して、歯科医院でご連絡ください。

アライナーの適合をよくしたり、歯を効率的に動かすための突起状の補助装置になります。虫歯治療で使用する樹脂(コンポジットレジン)を使用しますので、ほとんど目立ちません。アタッチメントはアライナー着脱時に取れることがありますが、その際は歯科医院までご連絡ください。

歯を移動させるための隙間を作るために歯を削ることがありますが、削る範囲はエナメル質の範囲内になりますので、削っても染みることはありません。また、お口の中では削った瞬間から再石灰化が開始するため、削ったことが原因で虫歯になりやすくはなりません。

歯科医院までご連絡ください。状況によってはアライナーを追加発注する必要があります。その際は追加で費用が発生しますので、アライナーは丁寧に扱うようにしましょう。

総合的な歯科検診の
ご相談・ご予約はこちらから

TOP
初めての方へ
当院の特徴
料金表
よくあるお悩み
ドクター紹介
施設基準
診療案内
症例
アクセス
お問い合わせ
WEB予約

©️ 秋津駅前すぐの歯医者・秋津歯科・矯正歯科

・平日 8:30-17:00 ・初診最終受付16:00
・土  8:30-17:00 ・再診最終受付16:30
休診日:水・日・祝