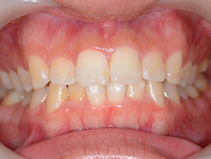
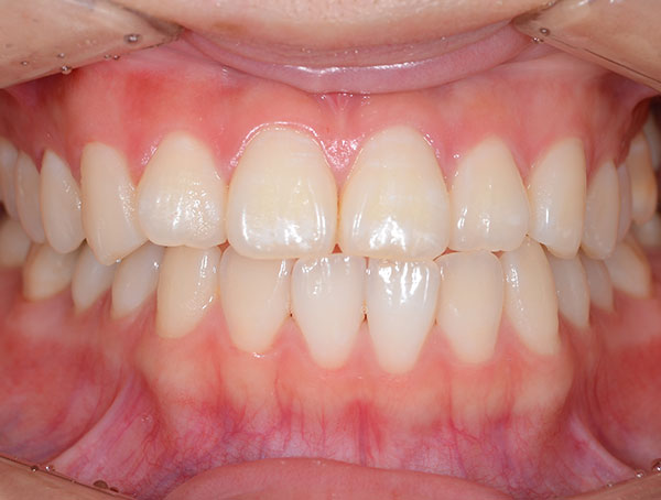
オフィスホワイトニングとは、通院している歯科医院へ行って、歯科医が行うホワイトニング治療のことです。
自宅で行うホームホワイトニングに対して、こう呼ばれています。
また、オフィスホワイトニングは高濃度の液体で、過酸化水素が入った強いホワイトニング剤を歯に付けて、薬剤の効果を高める為にレーザーなどを照射して歯を白くします。
しかし、一度で希望の白さにならない可能性もあり、そういう場合には、数回通院をする必要が出てきます。
その時の通院の回数は人それぞれですが、約1回から4回くらいは治療期間の目安として歯科医院へ通う必要が出てきます。
そして、その人の歯の状態に合わせてホワイトニング治療が行われます。
また、オフィスホワイトニングは、全て歯科医に任せてあるので、安心してホワイトニングの治療を受けることができます。
また、歯科医院で行ったオフィスホワイトニングの場合は、短い時間で一気に歯を白く出来ます。
しかし、一気に白くなった分、歯の色が元に戻りやすいという点があります。
また人によっては、強いホワイトニング剤によって、歯茎が痛んでしまうという可能性もあります。
オフィスホワイトニングは、放っておくと早くて3カ月くらいから色が落ち始めることもあります。
その為、定期的に歯科医でメンテナンスを受けたり、ホームホワイトニングを併用したりして、なるべくオフィスホワイトニングの効果を持続させる努力が必要になってきます。
こうすることによって、高額な治療費を抑えたり、強い薬剤の使用で歯茎が痛むのを防いだりもします。
また、真っ白い歯を望む人の場合には、オフィスホワイトニングでは不可能になってしまうので、この場合にはクラウンやラミネートベニアで治療を行うことになります。




| 年齢・ 性別 |
33歳・男性 |
|---|---|
| 主訴 | 前歯白くしたい 上下顎前歯部 |
| 治療 内容 |
オフィスホワイトニング |
| 治療 費用 |
9,900 円 |
| 治療 期間 |
90分(薬液3回塗布) |
| リスク・ 副作用 |
術後凍みるなどの症状が出ることがあります。
ホームホワイトニングに比べ、後戻りが速いです。
範囲は前歯部のみになります。
妊娠中、授乳中は行うことができません。
術後は着色しやすい食べ物 (コーヒー、ワイン、カレーなど)は控えてください。 |


| 年齢・ 性別 |
24歳・女性 |
|---|---|
| 主訴 | 前歯白くしたい 上下顎前歯部 |
| 治療 内容 |
オフィスホワイトニング |
| 治療 費用 |
6,600 円 |
| 治療 期間 |
60分(薬液2回塗布) |
| リスク・ 副作用 |
術後凍みるなどの症状が出ることがあります。
ホームホワイトニングに比べ、後戻りが速いです。
範囲は前歯部のみになります。
妊娠中、授乳中は行うことができません。
術後は着色しやすい食べ物 (コーヒー、ワイン、カレーなど)は控えてください。 |


| 年齢・ 性別 |
30代・女性 |
|---|---|
| 主訴 | ホワイトニングしたい |
| 治療 内容 |
オフィスホワイトニング |
| 治療 費用 |
3,300 円×3 |
| 治療 期間 |
1回 |
| リスク・ 副作用 |
ホワイトニング後は、歯がしみたり痛みが出ることがあります。 白さは恒久的ではなく、元の色に徐々に戻ります。 色の濃い飲食物・酸性の物や刺激物は避けてください。 詰め物・かぶせ物が入っている所は白くなりません。 以下の方はホワイトニングの適応ではありません。 ・健全ではない歯 ・重度の歯周病 ・無カタラーゼ症 ・妊娠・授乳期の女性 ・未成年の方 |


| 年齢・ 性別 |
30代・女性 |
|---|---|
| 主訴 | 歯の黄ばみが気になる ホワイトニングしたい |
| 治療 内容 |
オフィスホワイトニング |
| 治療 費用 |
3,300 円×2 |
| 治療 期間 |
1回 |
| リスク・ 副作用 |
ホワイトニング後は、歯がしみたり痛みが出ることがあります。 白さは恒久的ではなく、元の色に徐々に戻ります。 色の濃い飲食物・酸性の物や刺激物は避けてください。 詰め物・かぶせ物が入っている所は白くなりません。 以下の方はホワイトニングの適応ではありません。 ・健全ではない歯 ・重度の歯周病 ・無カタラーゼ症 ・妊娠・授乳期の女性 ・未成年の方 |


| 年齢・ 性別 |
20代・女性 |
|---|---|
| 主訴 | 歯の黄ばみが気になる ホワイトニングしたい |
| 治療 内容 |
オフィスホワイトニング |
| 治療 費用 |
3,300 円×1 |
| 治療 期間 |
1回 |
| リスク・ 副作用 |
ホワイトニング後は、歯がしみたり痛みが出ることがあります。 白さは恒久的ではなく、元の色に徐々に戻ります。 色の濃い飲食物・酸性の物や刺激物は避けてください。 詰め物・かぶせ物が入っている所は白くなりません。 以下の方はホワイトニングの適応ではありません。 ・健全ではない歯 ・重度の歯周病 ・無カタラーゼ症 ・妊娠・授乳期の女性 ・未成年の方 |


| 年齢・ 性別 |
20代・女性 |
|---|---|
| 主訴 | 歯の黄ばみが気になる ホワイトニングしたい |
| 治療 内容 |
オフィスホワイトニング |
| 治療 費用 |
3,300 円×1 |
| 治療 期間 |
1回 |
| リスク・ 副作用 |
ホワイトニング後は、歯がしみたり痛みが出ることがあります。 白さは恒久的ではなく、元の色に徐々に戻ります。 色の濃い飲食物・酸性の物や刺激物は避けてください。 詰め物・かぶせ物が入っている所は白くなりません。 以下の方はホワイトニングの適応ではありません。 ・健全ではない歯 ・重度の歯周病 ・無カタラーゼ症 ・妊娠・授乳期の女性 ・未成年の方 |


| 年齢・ 性別 |
30代 男性 |
|---|---|
| 主訴 | 歯の黄ばみが気になる ホワイトニングしたい |
| 治療 内容 |
オフィスホワイトニング |
| 治療 費用 |
3,300 円×3 |
| 治療 期間 |
3回 |
| リスク・ 副作用 |
ホワイトニング後は、歯がしみたり痛みが出ることがあります。 白さは恒久的ではなく、元の色に徐々に戻ります。 色の濃い飲食物・酸性の物や刺激物は避けてください。 詰め物・かぶせ物が入っている所は白くなりません。 以下の方はホワイトニングの適応ではありません。 ・健全ではない歯 ・重度の歯周病 ・無カタラーゼ症 ・妊娠・授乳期の女性 ・未成年の方 |


| 年齢・ 性別 |
31歳 男性 |
|---|---|
| 主訴 | 歯の黄ばみが気になる |
| 治療 内容 |
オフィスホワイトニング |
| 治療 費用 |
3,300 円×6 |
| 治療 期間 |
1ヶ月 |
| リスク・ 副作用 |
ホワイトニング後は、歯がしみたり痛みが出ることがあります。 白さは恒久的ではなく、元の色に徐々に戻ります。 色の濃い飲食物・酸性の物や刺激物は避けてください。 詰め物・かぶせ物が入っている所は白くなりません。 以下の方はホワイトニングの適応ではありません。 ・健全ではない歯 ・重度の歯周病 ・無カタラーゼ症 ・妊娠・授乳期の女性 ・未成年の方 |


| 年齢・ 性別 |
23歳 男性 |
|---|---|
| 主訴 | 歯の黄ばみが気になる |
| 治療 内容 |
オフィスホワイトニング |
| 治療 費用 |
3,300 円×3 |
| 治療 期間 |
90分(薬液3回塗布) |
| リスク・ 副作用 |
ホワイトニング後は、歯がしみたり痛みが出ることがあります。 白さは恒久的ではなく、元の色に徐々に戻ります。 色の濃い飲食物・酸性の物や刺激物は避けてください。 詰め物・かぶせ物が入っている所は白くなりません。 以下の方はホワイトニングの適応ではありません。 ・健全ではない歯 ・重度の歯周病 ・無カタラーゼ症 ・妊娠・授乳期の女性 ・未成年の方 |


| 年齢・ 性別 |
47歳 男性 |
|---|---|
| 主訴 | 綺麗にしたい |
| 治療 内容 |
オフィスホワイトニング |
| 治療 費用 |
3,300円×6回 合計 19,800円 |
| 治療 期間 |
6回 |
| リスク・ 副作用 |
ホワイトニング後は、歯がしみたり痛みが出ることがあります。 白さは恒久的ではなく、元の色に徐々に戻ります。 色の濃い飲食物・酸性の物や刺激物は避けてください。 詰め物・かぶせ物が入っている所は白くななりません。 以下の方はホワイトニングの適応ではありません。 ・健全ではない歯 ・重度の歯周病 ・無カタラーゼ症 ・妊娠・授乳期の女性 ・未成年の方 |


| 年齢・ 性別 |
27歳・女性 |
|---|---|
| 主訴 | ホワイトニングをしたい |
| 治療 内容 |
右上4~左上4番、左下4~右下4番のオフィスホワイトニング |
| 治療 費用 |
合計9,900円(3,300円×3回) (2022年11月現在) |
| 治療 期間 |
1時間 |
| 治療方針 | 定期検診の際に、オフィスホワイトニングを勧めたところ、以前から興味があったとのことで行うことになりました。 初めてのホワイトニングだったので、3回塗布を行いました。 3回塗布後、患者様が満足いく結果になったので、また歯の色味が気になったころにオフィスホワイトニングをすることになりました。 |
| 特記事項 | コーヒーをたまに飲むことがあるというお話があったので、後戻りをする可能性があることを伝えました。 継続することで、まだ白くなると思うので、継続してホワイトニングを行い白さをキープしていく予定。 |


| 年齢・ 性別 |
46歳・女性 |
|---|---|
| 主訴 | 前歯を綺麗にしたい |
| 治療 内容 |
右上4~左上4番、左下4~右下4番のオフィスホワイトニング |
| 治療 費用 |
合計19,800円(3,300円×6回) (2022年12月現在) |
| 治療 期間 |
2時間 |
| リスク・副作用 | ホワイトニング後は、歯がしみたり痛みが出ることがあります。 白さは恒久的ではなく、元の色に徐々に戻ります。 色の濃い飲食物・酸性の物や刺激物は避けてください。 詰め物・かぶせ物が入っている所は白くなりません。 |
| 治療方針 | 前歯のコンポジットレジン修復の治療の相談をしていたところ、歯を白くしたいという希望があったため、治療を行う前にオフィスホワイトニングを行いました。 患者様のご希望に合わせて6回の塗布を行いました。 |
| 特記事項 | オフィスホワイトニングは後戻りすることを伝えました。 白さをキープしたいとのことだったので後に、ホームホワイトニングも行いました。 |
| 担当者所見 | 赤ワインを良く飲むということだったので着色しやすいことを最初に伝えました。 ホワイトニングだけではなく定期的なクリーニングの重要性も伝え、通っていただいています。 |


| 年齢・ 性別 |
40歳・女性 |
|---|---|
| 主訴・治療部位 | 歯の黄ばみが気になる 右上4番~左上4番 右下4番~左下4番 |
| 治療 内容 |
オフィスホワイトニング |
| 治療 費用 |
合計:6,600円 オフィスホワイトニング 3,300×2回 (2022年7月現在) |
| 治療 期間 |
1日 |
| リスク・副作用 | ホワイトニング後は、歯がしみたり痛みが出ることがあります。 白さは恒久的ではなく、元の色に徐々に戻ります。 色の濃い飲食物・酸性の物や刺激物は避けてください。 詰め物・被せ物が入っている所は白くなりません。 以下の方はホワイトニングの適応ではありません。 ・健全ではない歯 ・重度の歯周病 ・無カタラーゼ症 ・妊娠 ・授乳期の女性 ・未成年の方 |
| 治療方針 | 歯の黄ばみがきになるとのことで、オフィスホワイトニングを2回行いました。 |
| 特記事項 | オフィスホワイトニングを継続して行うと、ホワイトスポット(歯の表面の白い斑点)が目立ってしまう可能性があることをお伝えしました。 |
| 担当者所見 | オフィスホワイトニングした後は色が戻ってしまう可能性があることを伝え、ホームホワイトニングを併せてすると白さを維持できることを伝えました。 |


| 年齢・ 性別 |
37歳・女性 |
|---|---|
| 主訴・治療部位 | 前歯を白くしたい 右上7番~左上7番、左下7番~右下7番 |
| 治療 内容 |
右上4番~左上4番:オフィスホワイトニング×7回 右上7番~左上7番、左下7番~右下7番:ホームホワイトニング |
| 治療 費用 |
合計:34,100円 ・内訳 オフィスホワイトニング:3,300円×7回 ホームホワイトニング:11,000円 (2023年7月現在) |
| 治療 期間 |
6ヵ月 |
| リスク・副作用 | ホワイトニング後は、歯がしみたり痛みが出ることがあります。 白さは恒久的ではなく、元の色に徐々に戻ります。 色の濃い飲食物・酸性の物や刺激物は避けてください。 詰め物・かぶせ物が入っている所は白くななりません。 |
| 治療方針 | 前歯の着色や黄ばみが気になるとのことでした。オフィスホワイトニングとホームホワイトニングを平行して行い、色味を白くしていきました。左上2番と3番をスーパーボンドで固定していたところの色味も気になっていたため、後にやり替えを行いました。 今は定期検診の際にオフィスホワイトニング、ご自宅でホームホワイトニングを行い、白さをキープしています。 |
| 特記事項 | ホワイトニングは歯がしみたり、痛くなったりと知覚過敏の症状が起きる場合があります。 そのような症状が出た場合には、一度使用を中止して不快症状がなくなってから、また行うようにして下さい。 |
| 担当者所見 | ホームホワイトニングをご自身で継続するのが苦手そうでしたが、定期検診のときにジェルを購入して自宅でもホワイトニングを行い、後戻りをしないようにしています。 |