| 年齢・性別 | 40代・女性 |
| 主 訴 | 歯石を取りたい |
| 治療期間 | 1回 |
| 治療費 | 約2,000円(保険診療3割負担) |
| 治療内容 | 歯石の除去 |
| 治療の リスク |
歯ぐきの炎症が強いと歯石を除去する際に、出血することがあります。 処置後にしみる可能性があります。 歯ぐきの炎症が軽減すると歯ぐきが引き締まり、歯が長く見えることがあります。 歯と歯の間に隙間ができるので、息がもれることがあります。 |
| 年齢・性別 | 30代・男性 |
| 主 訴 | 歯石を取りたい |
| 治療期間 | 1回 |
| 治療費 | 約2,000円(保険診療3割負担) |
| 治療内容 | 歯石の除去 |
| 治療の リスク |
歯ぐきの炎症が強いと歯石を除去する際に、出血することがあります。 処置後にしみる可能性があります。 歯ぐきの炎症が軽減すると歯ぐきが引き締まり、歯が長く見えることがあります。 歯と歯の間に隙間ができるので、息がもれることがあります。 |
| 年齢・性別 | 30代・女性 |
| 主 訴 | 歯石を取りたい |
| 治療期間 | 1回 |
| 治療費 | 約2,000円(保険診療3割負担) |
| 治療内容 | 歯石の除去 |
| 治療の リスク |
歯ぐきの炎症が強いと歯石を除去する際に、出血することがあります。 処置後にしみる可能性があります。 歯ぐきの炎症が軽減すると歯ぐきが引き締まり、歯が長く見えることがあります。 歯と歯の間に隙間ができるので、息がもれることがあります。 |
| 年齢・性別 | 30代・男性 |
| 主 訴 | 定期検診希望 |
| 治療期間 | 1回 |
| 治療費 | 約2,000円(保険診療3割負担) |
| 治療内容 | 歯石の除去 |
| 治療の リスク |
歯ぐきの炎症が強いと歯石を除去する際に、出血することがあります。 処置後にしみる可能性があります。 歯ぐきの炎症が軽減すると歯ぐきが引き締まり、歯が長く見えることがあります。 歯と歯の間に隙間ができるので、息がもれることがあります。 |
| 年齢・性別 | 60代・男性 |
| 主 訴 | 歯石を取りたい |
| 治療期間 | 1回 |
| 治療費 | 約2,000円(保険診療3割負担) |
| 治療内容 | 歯石の除去 |
| 治療の リスク |
歯ぐきの炎症が強いと歯石を除去する際に、出血することがあります。 処置後にしみる可能性があります。 歯ぐきの炎症が軽減すると歯ぐきが引き締まり、歯が長く見えることがあります。 歯と歯の間に隙間ができるので、息がもれることがあります。 |
| 年齢・性別 | 40代・男性 |
| 主 訴 | 定期検診希望 |
| 治療期間 | 1回 |
| 治療費 | 約2,000円(保険診療3割負担) |
| 治療内容 | 歯石の除去 |
| 治療の リスク |
歯ぐきの炎症が強いと歯石を除去する際に、出血することがあります。 処置後にしみる可能性があります。 歯ぐきの炎症が軽減すると歯ぐきが引き締まり、歯が長く見えることがあります。 歯と歯の間に隙間ができるので、息がもれることがあります。 |
| 年齢・性別 | 50代・男性 |
| 主 訴 | 歯石を取りたい 歯ぐきから血が出る |
| 治療期間 | 1回 |
| 治療費 | 約2,000円(保険診療3割負担) |
| 治療内容 | 歯石の除去 |
| 治療の リスク |
歯ぐきの炎症が強いと歯石を除去する際に、出血することがあります。 処置後にしみる可能性があります。 歯ぐきの炎症が軽減すると歯ぐきが引き締まり、歯が長く見えることがあります。 歯と歯の間に隙間ができるので、息がもれることがあります。 |
| 年齢・性別 | 60代・女性 |
| 主 訴 | 歯石を取りたい |
| 治療期間 | 1回 |
| 治療費 | 約2,000円(保険診療3割負担) |
| 治療内容 | 歯石の除去 |
| 治療の リスク |
歯ぐきの炎症が強いと歯石を除去する際に、出血することがあります。 処置後にしみる可能性があります。 歯ぐきの炎症が軽減すると歯ぐきが引き締まり、歯が長く見えることがあります。 歯と歯の間に隙間ができるので、息がもれることがあります。 |
| 年齢・性別 | 40代・男性 |
| 主 訴 | 定期検診希望 |
| 治療期間 | 1回 |
| 治療費 | 約2,000円(保険診療3割負担) |
| 治療内容 | 歯石の除去 |
| 治療の リスク |
歯ぐきの炎症が強いと歯石を除去する際に、出血することがあります。 処置後にしみる可能性があります。 歯ぐきの炎症が軽減すると歯ぐきが引き締まり、歯が長く見えることがあります。 歯と歯の間に隙間ができるので、息がもれることがあります。 |
| 年齢・性別 | 30代・男性 |
| 主 訴 | 歯石を取りたい |
| 治療期間 | 1回 |
| 治療費 | 約2,000円(保険診療3割負担) |
| 治療内容 | 歯石の除去 |
| 治療の リスク |
歯ぐきの炎症が強いと歯石を除去する際に、出血することがあります。 処置後にしみる可能性があります。 歯ぐきの炎症が軽減すると歯ぐきが引き締まり、歯が長く見えることがあります。 歯と歯の間に隙間ができるので、息がもれることがあります。 |
| 年齢・性別 | 40代・男性 |
| 主 訴 | 歯石を取りたい |
| 治療期間 | 1回 |
| 治療費 | 約2,000円(保険診療3割負担) |
| 治療内容 | 歯石の除去 |
| 治療の リスク |
歯ぐきの炎症が強いと歯石を除去する際に、出血することがあります。 処置後にしみる可能性があります。 歯ぐきの炎症が軽減すると歯ぐきが引き締まり、歯が長く見えることがあります。 歯と歯の間に隙間ができるので、息がもれることがあります。 |
| 年齢・性別 | 40代・男性 |
| 主 訴 | 歯石を取りたい |
| 治療期間 | 1回 |
| 治療費 | 約2,000円(保険診療3割負担) |
| 治療内容 | 歯石の除去 |
| 治療の リスク |
歯ぐきの炎症が強いと歯石を除去する際に、出血することがあります。 処置後にしみる可能性があります。 歯ぐきの炎症が軽減すると歯ぐきが引き締まり、歯が長く見えることがあります。 歯と歯の間に隙間ができるので、息がもれることがあります。 |
| 年齢・性別 | 10代・男性 |
| 主 訴 | 定期検診 |
| 治療期間 | 1回 |
| 治療費 | 約2,000円(保険診療3割負担) |
| 治療内容 | 歯石の除去 |
| 治療の リスク |
歯ぐきの炎症が強いと歯石を除去する際に、出血することがあります。 処置後にしみる可能性があります。 歯ぐきの炎症が軽減すると歯ぐきが引き締まり、歯が長く見えることがあります。 歯と歯の間に隙間ができるので、息がもれることがあります。 |
| 年齢・性別 | 50代・女性 |
| 主 訴 | 定期検診希望 |
| 治療期間 | 1回 |
| 治療費 | 約2,000円(保険診療3割負担) |
| 治療内容 | 歯石の除去 |
| 治療の リスク |
歯ぐきの炎症が強いと歯石を除去する際に、出血することがあります。 処置後にしみる可能性があります。 歯ぐきの炎症が軽減すると歯ぐきが引き締まり、歯が長く見えることがあります。 歯と歯の間に隙間ができるので、息がもれることがあります。 |
| 年齢・性別 | 40代・女性 |
| 主 訴 | 定期検診希望 |
| 治療期間 | 1回 |
| 治療費 | 約2,000円(保険診療3割負担) |
| 治療内容 | 歯石の除去 |
| 治療の リスク |
歯ぐきの炎症が強いと歯石を除去する際に、出血することがあります。 処置後にしみる可能性があります。 歯ぐきの炎症が軽減すると歯ぐきが引き締まり、歯が長く見えることがあります。 歯と歯の間に隙間ができるので、息がもれることがあります。 |
| 年齢・性別 | 50代・男性 |
| 主 訴 | 定期検診希望 |
| 治療期間 | 1回 |
| 治療費 | 約2,000円(保険診療3割負担) |
| 治療内容 | 歯石の除去 |
| 治療の リスク |
歯ぐきの炎症が強いと歯石を除去する際に、出血することがあります。 処置後にしみる可能性があります。 歯ぐきの炎症が軽減すると歯ぐきが引き締まり、歯が長く見えることがあります。 歯と歯の間に隙間ができるので、息がもれることがあります。 |
| 年齢・性別 | 30代・男性 |
| 主 訴 | 定期検診希望 歯石を取りたい 歯ぐきから血が出る |
| 治療期間 | 1回 |
| 治療費 | 約2,000円(保険診療3割負担) |
| 治療内容 | 歯石の除去 |
| 治療の リスク |
歯ぐきの炎症が強いと歯石を除去する際に、出血することがあります。 処置後にしみる可能性があります。 歯ぐきの炎症が軽減すると歯ぐきが引き締まり、歯が長く見えることがあります。 歯と歯の間に隙間ができるので、息がもれることがあります。 |
| 年齢・性別 | 30代・女性 |
| 主 訴 | 定期検診希望 歯石を取りたい 歯ぐきから血が出る |
| 治療期間 | 1回 |
| 治療費 | 約2,000円(保険診療3割負担) |
| 治療内容 | 歯石の除去 |
| 治療の リスク |
歯ぐきの炎症が強いと歯石を除去する際に、出血することがあります。 処置後にしみる可能性があります。 歯ぐきの炎症が軽減すると歯ぐきが引き締まり、歯が長く見えることがあります。 歯と歯の間に隙間ができるので、息がもれることがあります。 |
| 年齢・性別 | 40代・男性 |
| 主 訴 | 定期検診希望 |
| 治療期間 | 1回 |
| 治療費 | 約2,000円(保険診療3割負担) |
| 治療内容 | 歯石の除去 |
| 治療の リスク |
歯ぐきの炎症が強いと歯石を除去する際に、出血することがあります。 処置後にしみる可能性があります。 歯ぐきの炎症が軽減すると歯ぐきが引き締まり、歯が長く見えることがあります。 歯と歯の間に隙間ができるので、息がもれることがあります。 |
| 年齢・性別 | 50代・女性 |
| 主 訴 | 定期検診希望 |
| 治療期間 | 1回 |
| 治療費 | 約2,000円(保険診療3割負担) |
| 治療内容 | 歯石の除去 |
| 治療の リスク |
歯ぐきの炎症が強いと歯石を除去する際に、出血することがあります。 処置後にしみる可能性があります。 歯ぐきの炎症が軽減すると歯ぐきが引き締まり、歯が長く見えることがあります。 歯と歯の間に隙間ができるので、息がもれることがあります。 |
| 年齢・性別 | 40代・女性 |
| 主 訴 | 定期検診希望 |
| 治療期間 | 1回 |
| 治療費 | 約2,000円(保険診療3割負担) |
| 治療内容 | 歯石の除去 |
| 治療の リスク |
歯ぐきの炎症が強いと歯石を除去する際に、出血することがあります。 処置後にしみる可能性があります。 歯ぐきの炎症が軽減すると歯ぐきが引き締まり、歯が長く見えることがあります。 歯と歯の間に隙間ができるので、息がもれることがあります。 |
| 年齢・性別 | 40代・男性 |
| 主 訴 | 定期検診希望 |
| 治療期間 | 1回 |
| 治療費 | 約2,000円(保険診療3割負担) |
| 治療内容 | 歯石の除去 |
| 治療の リスク |
歯ぐきの炎症が強いと歯石を除去する際に、出血することがあります。 処置後にしみる可能性があります。 歯ぐきの炎症が軽減すると歯ぐきが引き締まり、歯が長く見えることがあります。 歯と歯の間に隙間ができるので、息がもれることがあります。 |
| 年齢・性別 | 30代・男性 |
| 主 訴 | 歯ぐきから血が出る |
| 治療期間 | 1回 |
| 治療費 | 約2,000円(保険診療3割負担) |
| 治療内容 | 歯石の除去 |
| 治療の リスク |
歯ぐきの炎症が強いと歯石を除去する際に、出血することがあります。 処置後にしみる可能性があります。 歯ぐきの炎症が軽減すると歯ぐきが引き締まり、歯が長く見えることがあります。 歯と歯の間に隙間ができるので、息がもれることがあります。 |
| 年齢・性別 | 30代・男性 |
| 主 訴 | 定期検診希望 歯石を取りたい |
| 治療期間 | 1回 |
| 治療費 | 約2,000円(保険診療3割負担) |
| 治療内容 | 歯石除去 |
| 治療の リスク |
歯ぐきの炎症が強いと歯石を除去する際に、出血することがあります。 処置後にしみる可能性があります。 歯ぐきの炎症が軽減すると歯ぐきが引き締まり、歯が長く見えることがあります。 歯と歯の間に隙間ができるので、息がもれることがあります。 |
| 年齢・性別 | 10代・男性 |
| 主 訴 | 歯石を取りたい |
| 治療期間 | 1回 |
| 治療費 | 約2,000円(保険診療3割負担) |
| 治療内容 | 歯石除去 |
| 治療の リスク |
歯ぐきの炎症が強いと歯石を除去する際に、出血することがあります。 処置後にしみる可能性があります。 歯ぐきの炎症が軽減すると歯ぐきが引き締まり、歯が長く見えることがあります。 歯と歯の間に隙間ができるので、息がもれることがあります。 |
| 年齢・性別 | 50代・男性 |
| 主 訴 | 定期検診希望 歯石を取りたい 歯ぐきから血が出る |
| 治療期間 | 1回 |
| 治療費 | 約2,000円(保険診療3割負担) |
| 治療内容 | 歯石除去 |
| 治療の リスク |
歯ぐきの炎症が強いと歯石を除去する際に、出血することがあります。 処置後にしみる可能性があります。 歯ぐきの炎症が軽減すると歯ぐきが引き締まり、歯が長く見えることがあります。 歯と歯の間に隙間ができるので、息がもれることがあります。 |
| 年齢・性別 | 50代・男性 |
| 主 訴 | 定期検診希望 歯石を取りたい 歯ぐきから血が出る |
| 治療期間 | 1回 |
| 治療費 | 約2,000円(保険診療3割負担) |
| 治療内容 | 歯石除去 |
| 治療の リスク |
歯ぐきの炎症が強いと歯石を除去する際に、出血することがあります。 処置後にしみる可能性があります。 歯ぐきの炎症が軽減すると歯ぐきが引き締まり、歯が長く見えることがあります。 歯と歯の間に隙間ができるので、息がもれることがあります。 |
| 年齢・性別 | 40代・女性 |
| 主 訴 | 定期検診希望 歯石を取りたい 歯ぐきから血が出る |
| 治療期間 | 1回 |
| 治療費 | 約2,000円(保険診療3割負担) |
| 治療内容 | 歯石除去 |
| 治療の リスク |
歯ぐきの炎症が強いと歯石を除去する際に、出血することがあります。 処置後にしみる可能性があります。 歯ぐきの炎症が軽減すると歯ぐきが引き締まり、歯が長く見えることがあります。 歯と歯の間に隙間ができるので、息がもれることがあります。 |
| 年齢・性別 | 40代・男性 |
| 主 訴 | 定期検診希望 歯石を取りたい 歯ぐきから血が出る |
| 治療期間 | 1回 |
| 治療費 | 約2,000円(保険診療3割負担) |
| 治療内容 | 歯石除去 |
| 治療の リスク |
歯ぐきの炎症が強いと歯石を除去する際に、出血することがあります。 処置後にしみる可能性があります。 歯ぐきの炎症が軽減すると歯ぐきが引き締まり、歯が長く見えることがあります。 歯と歯の間に隙間ができるので、息がもれることがあります。 |
| 年齢・性別 | 20代・女性 |
| 主 訴 | 歯石を取りたい |
| 治療期間 | 1回 |
| 治療費 | 約2,000円(保険診療3割負担) |
| 治療内容 | 歯石除去 |
| 治療の リスク |
歯ぐきの炎症が強いと歯石を除去する際に、出血することがあります。 処置後にしみる可能性があります。 歯ぐきの炎症が軽減すると歯ぐきが引き締まり、歯が長く見えることがあります。 歯と歯の間に隙間ができるので、息がもれることがあります。 |
| 年齢・性別 | 20代・男性 |
| 主 訴 | 歯石を取りたい 歯ぐきから血が出る |
| 治療期間 | 1回 |
| 治療費 | 約2,000円(保険診療3割負担) |
| 治療内容 | 歯石除去 |
| 治療の リスク |
歯ぐきの炎症が強いと歯石を除去する際に、出血することがあります。 処置後にしみる可能性があります。 歯ぐきの炎症が軽減すると歯ぐきが引き締まり、歯が長く見えることがあります。 歯と歯の間に隙間ができるので、息がもれることがあります。 |
| 年齢・性別 | 50歳・男性 |
| 主 訴 | 歯石を取りたい |
| 治療期間 | 1回 |
| 治療費 | 約2,000円(保険診療3割負担) |
| 治療内容 | 歯石の除去 |
| 治療の リスク |
歯ぐきの炎症が強いと歯石を除去する際に、出血することがあります。 処置後にしみる可能性があります。 歯ぐきの炎症が軽減すると歯ぐきが引き締まり、歯が長く見えることがあります。 歯と歯の間に隙間ができるので、息がもれることがあります。 |
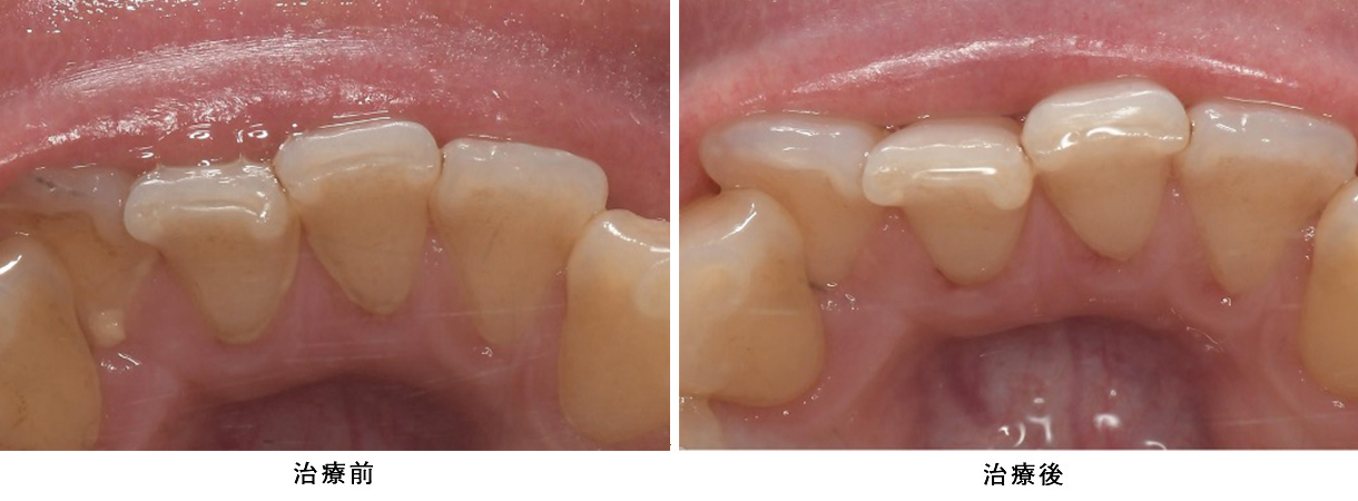
| 年齢・性別 | 40代・女性 |
| 主 訴 | 歯石が気になる 下顎前歯 |
| 治療期間 | 1回 |
| 治療費 | 約2,000円(保険診療3割負担) (2022年8月現在) |
| 治療内容 | 歯石の除去 |
| 治療の リスク |
歯ぐきの炎症が強いと歯石を除去する際に、出血することがあります。 処置後にしみる可能性があります。 歯ぐきの炎症が軽減すると歯ぐきが引き締まり、歯が長く見えることがあります。 歯と歯の間に隙間ができるので、息がもれることがあります。 |
| 年齢・性別 | 20代・女性 |
| 主 訴 | 歯石を取りたい |
| 治療期間 | 1回 |
| 治療費 | 約2,000円(保険診療3割負担) (2023年1月現在) |
| 治療内容 | 右下3番~左下3番 歯石の除去 |
| 治療の リスク |
歯ぐきの炎症が強いと歯石を除去する際に、出血することがあります。 処置後にしみる可能性があります。 歯ぐきの炎症が軽減すると歯ぐきが引き締まり、歯が長く見えることがあります。 歯と歯の間に隙間ができるので、息がもれることがあります。 |
| 治療方針 | 下顎の舌側には矯正後の保定装置のワイヤーが入っていて、周りには歯石が多くついていました。 クリーニングを行い、保定装置周りのブラッシングの仕方の確認を行いました。 また定期検診の重要性も伝え、通院していただく。 |
| 特記事項 | クリーニングが1年ぶりとのことでした。3ヶ月に一回の検診の重要性を知ってもらいました。 |
| 担当者所見 | 患者さん自身が虫歯にはなりずらいと言っていました。虫歯意外にも歯周病という病気もあることを理解してもらい、今後メインテナンスに通院していただこうと思います。 また、歯磨き方法や補助的清掃用具の使用方法を詳しくお伝えしていこうと思います。 |
| 年齢・性別 | 50代・男性 |
| 治療部位 | 右下1番、左下1~2番 |
| 治療期間 | 1日 |
| 治療費 | 約2,000円(保険診療3割負担) (2023年5月現在) |
| 治療内容 | 歯石除去 |
| 治療方針 | 歯石の除去 |
| 特記事項 | 3ヶ月に一度の定期検診の重要性を伝える。 |
| 担当者所見 | 検診の際に歯石がついている部位を気にされていました。 歯間清掃はせず、爪楊枝でとる程度との事でしたので下顎前歯は歯石がつきやすい事、歯間清掃の方法をお伝えしました。 今後も継続して行えているか確認していきます。 |
| 年齢・性別 | 30代・女性 |
| 治療部位 | 右下1~3番、左下1~3番 |
| 治療期間 | 1日 |
| 治療費 | 約2,000円(保険診療3割負担) (2023年5月現在) |
| 治療内容 | 歯石除去 |
| 治療方針 | 歯石を除去しました。 |
| 特記事項 | 定期検診の重要性を伝える。 |
| 担当者所見 | 1年ぶりの歯科受診にて歯石の付着と歯ぐきの炎症が見られたため、歯石除去しました。 歯ブラシ指導と歯間清掃の必要性を伝え、今後も定期的に確認を行っていきます。 |
| 年齢・性別 | 60代・女性 |
| 治療部位 | 虫歯が気になる。 右下1〜3番、左下1〜3番。 |
| 治療期間 | 1回 |
| 治療費 | 約2,000円 (2024年5月現在) |
| 治療内容 | 歯石の除去 |
| リスク・副作用 | ・歯ぐきに違和感や痛みを覚える場合があります。 ・1週間程度は歯を磨くと、いつもより出血する事があります。 ・腫れていた歯ぐきが引き締まることで、歯ぐきが下がったように見えます。また歯ぐきが下がることで、しみやすくなることがあります。 |
| 治療方針 | 虫歯ではなく、歯石が多くついていたので、回数を分けて歯石除去を行った。 |
| 担当者所見 | 歯石がつきやすい患者さまでした。 久しぶりの歯科受診ということもあり、歯ぐきの上下に歯石がつき、歯周病が進行していました。 歯石の除去後は歯間清掃の方法を指導し、定期検診で確認と除去を行います。 |