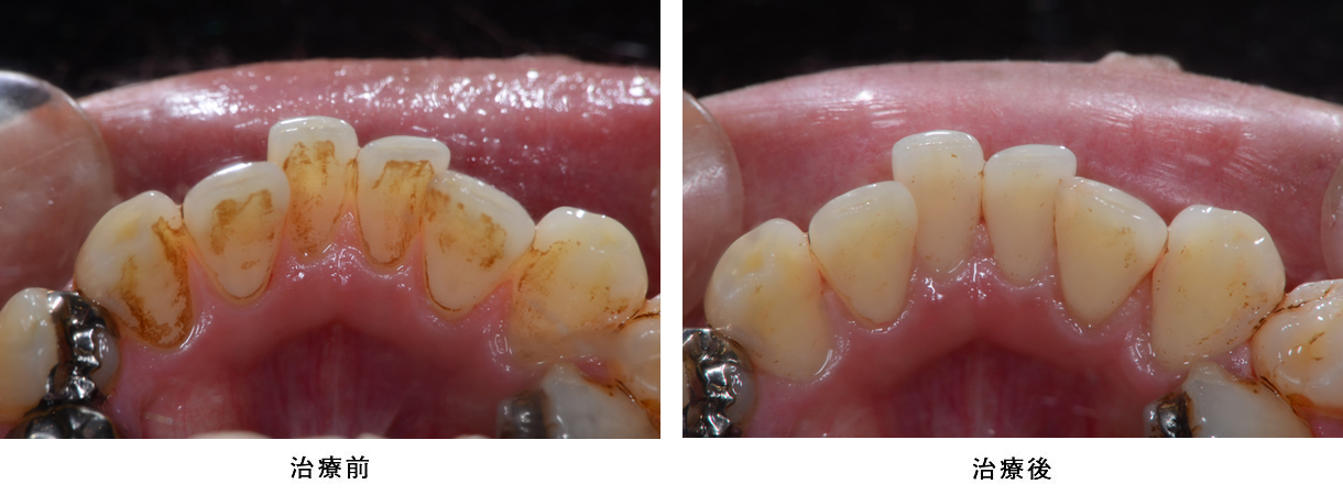
| 年齢・性別 | 30代・女性 |
| 主 訴 | 着色が気になる |
| 治療期間 | 1~2回 |
| 治療費 | 自費 5,500円/30分 |
| 治療内容 | ステイン、バイオフィルム除去 |
| 治療の リスク |
着色は再び付着します。 ホワイトニングと異なり歯を白くする効果はありません。 |
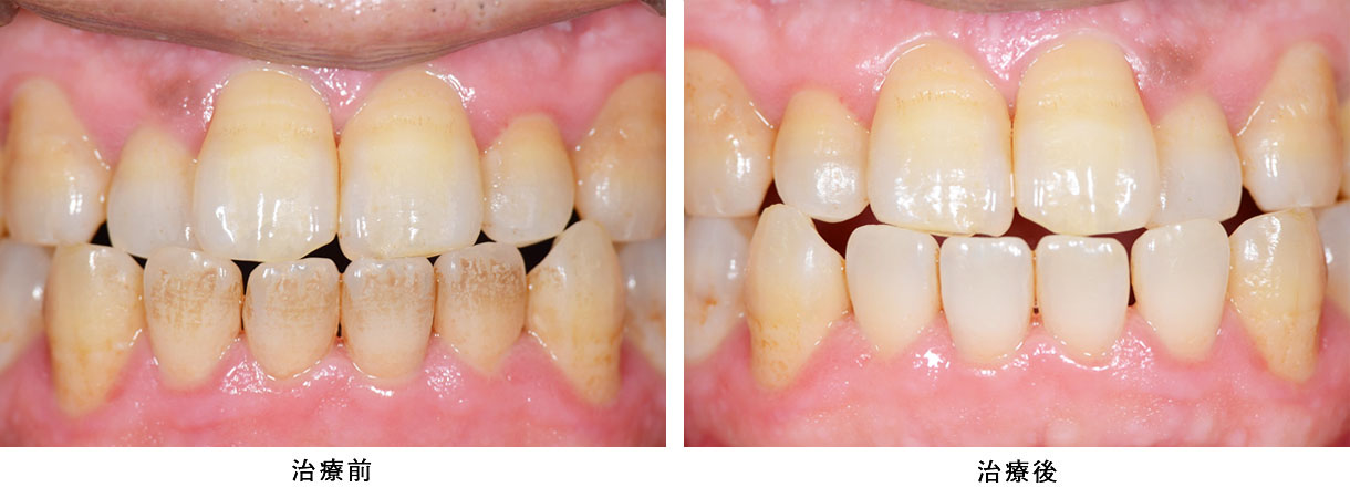
| 年齢・性別 | 50代・女性 |
| 主 訴 | 着色が気になる |
| 治療期間 | 1~2回 |
| 治療費 | 自費 5,500円/30分 |
| 治療内容 | ステイン、バイオフィルム除去 |
| 治療の リスク |
着色は再び付着します。 ホワイトニングと異なり歯を白くする効果はありません。 |
| 年齢・性別 | 50代・女性 |
| 主 訴 | 着色が気になる |
| 治療期間 | 1~2回 |
| 治療費 | 自費 5,500円/30分 |
| 治療内容 | ステイン、バイオフィルム除去 |
| 治療の リスク |
着色は再び付着します。 ホワイトニングと異なり歯を白くする効果はありません。 |
| 年齢・性別 | 50代・男性 |
| 主 訴 | 着色が気になる |
| 治療期間 | 1回 |
| 治療費 | 自費 5,500円/30分 |
| 治療内容 | ステイン、バイオフィルム除去 |
| 治療の リスク |
着色は再び付着します ホワイトニングと異なり歯を白くする効果はありません |
| 年齢・性別 | 60代・女性 |
| 主 訴 | 着色が気になる |
| 治療期間 | 1回 |
| 治療費 | 自費 5,500円/30分 |
| 治療内容 | ステイン、バイオフィルム除去 |
| 治療の リスク |
着色は再び付着します ホワイトニングと異なり歯を白くする効果はありません |
| 年齢・性別 | 40代・男性 |
| 主 訴 | 着色が気になる |
| 治療期間 | 1回 |
| 治療費 | 自費 5,500円/30分 |
| 治療内容 | ステイン、バイオフィルム除去 |
| 治療の リスク |
着色は再び付着します ホワイトニングと異なり歯を白くする効果はありません |
| 年齢・性別 | 50代・男性 |
| 主 訴 | 歯の表面がざらつく 着色が気になる |
| 治療期間 | 1~2回 |
| 治療費 | 自費 5,500円/30分 |
| 治療内容 | ステイン、バイオフィルム除去 |
| 治療の リスク |
着色は再び付着します ホワイトニングと異なり歯を白くする効果はありません |
| 年齢・性別 | 40代・男性 |
| 主 訴 | 歯の表面がざらつく 着色が気になる |
| 治療期間 | 1回 |
| 治療費 | 自費 5,500円/30分 |
| 治療内容 | ステイン、バイオフィルム除去 |
| 治療の リスク |
着色は再び付着します ホワイトニングと異なり歯を白くする効果はありません |
| 年齢・性別 | 20代・女性 |
| 主 訴 | 歯の表面がざらつく 着色が気になる |
| 治療期間 | 1回 |
| 治療費 | 自費 5,500円/30分 |
| 治療内容 | ステイン、バイオフィルム除去 |
| 治療の リスク |
着色は再び付着します ホワイトニングと異なり歯を白くする効果はありません |
| 年齢・性別 | 40代・女性 |
| 主 訴 | 歯の表面がざらつく 着色が気になる |
| 治療期間 | 1回 |
| 治療費 | 自費 5,500円/30分 |
| 治療内容 | ステイン、バイオフィルム除去 |
| 治療の リスク |
着色は再び付着します ホワイトニングと異なり歯を白くする効果はありません |
| 年齢・性別 | 40代・女性 |
| 主 訴 | 歯の表面がざらつく 着色が気になる |
| 治療期間 | 1回 |
| 治療費 | 自費 5,500円/30分 |
| 治療内容 | ステイン、バイオフィルム除去 |
| 治療の リスク |
着色は再び付着します ホワイトニングと異なり歯を白くする効果はありません |
| 年齢・性別 | 50代・女性 |
| 主 訴 | 歯の表面がざらつく 着色が気になる |
| 治療期間 | 1回 |
| 治療費 | 自費 5,500円/30分 |
| 治療内容 | ステイン、バイオフィルム除去 |
| 治療の リスク |
着色は再び付着します ホワイトニングと異なり歯を白くする効果はありません |
| 年齢・性別 | 30代・男性 |
| 主 訴 | 歯の表面がざらつく 着色が気になる |
| 治療期間 | 1回 |
| 治療費 | 自費 5,500円/30分 |
| 治療内容 | ステイン、バイオフィルム除去 |
| 治療の リスク |
着色は再び付着します ホワイトニングと異なり歯を白くする効果はありません |
| 年齢・性別 | 30代・女性 |
| 主 訴 | 歯の表面がざらつく 着色が気になる |
| 治療期間 | 1回 |
| 治療費 | 自費 5,500円/30分 |
| 治療内容 | ステイン、バイオフィルム除去 |
| 治療の リスク |
着色は再び付着します ホワイトニングと異なり歯を白くする効果はありません |
| 年齢・性別 | 70代・男性 |
| 主 訴 | 歯の表面がざらつく 着色が気になる |
| 治療期間 | 1回 |
| 治療費 | 自費 5,500円/30分 |
| 治療内容 | ステイン、バイオフィルム除去 |
| 治療の リスク |
着色は再び付着します ホワイトニングと異なり歯を白くする効果はありません |
| 年齢・性別 | 40代・男性 |
| 主 訴 | 歯の表面がざらつく 着色が気になる |
| 治療期間 | 1回 |
| 治療費 | 自費 5,500円/30分 |
| 治療内容 | ステイン、バイオフィルム除去 |
| 治療の リスク |
着色は再び付着します ホワイトニングと異なり歯を白くする効果はありません |
| 年齢・性別 | 40代・男性 |
| 主 訴 | 歯の表面がざらつく 着色が気になる |
| 治療期間 | 1回 |
| 治療費 | 自費 5,500円/30分 |
| 治療内容 | ステイン、バイオフィルム除去 |
| 治療の リスク |
着色は再び付着します ホワイトニングと異なり歯を白くする効果はありません |
| 年齢・性別 | 40代・男性 |
| 主 訴 | 歯の表面がざらつく 着色が気になる |
| 治療期間 | 1回 |
| 治療費 | 自費 5,500円/30分 |
| 治療内容 | ステイン、バイオフィルム除去 |
| 治療の リスク |
着色は再び付着します ホワイトニングと異なり歯を白くする効果はありません |
| 年齢・性別 | 50歳・男性 |
| 主 訴 | 歯の表面がざらつく 着色が気になる |
| 治療期間 | 1回 |
| 治療費 | 自費 5,500円/30分 |
| 治療内容 | ステイン、バイオフィルム除去 |
| 治療の リスク |
着色は再び付着します ホワイトニングと異なり歯を白くする効果はありません |
| 年齢・性別 | 50歳・男性 |
| 主 訴 | 歯の表面がざらつく 着色が気になる |
| 治療期間 | 1回 |
| 治療費 | 自費 5,500円/30分(2022年7月現在) |
| 治療内容 | ステイン、バイオフィルム除去 |
| 治療の リスク |
着色は再び付着します ホワイトニングと異なり歯を白くする効果はありません |
| 年齢・性別 | 73歳・女性 |
| 主 訴 | 歯の表面がざらつく 着色が気になる |
| 治療期間 | 1~2回 |
| 治療費 | 自費 5,500円/30分(2022年7月現在) |
| 治療内容 | ステイン、バイオフィルム除去 |
| 治療の リスク |
着色は再び付着します ホワイトニングと異なり歯を白くする効果はありません |
| 年齢・性別 | 76歳・男性 |
| 主 訴 | 着色が気になる |
| 治療期間 | 1回 |
| 治療費 | 5,500円/30分 (2022年10月現在) |
| 治療内容 | PMTC全顎 |
| 治療の リスク |
着色は再び付着します。 ホワイトニングと異なり歯を白くする効果はありません。 |
| 治療方針 | PMTCでの着色除去 |
| 担当者 所見 |
前回の検診よりもコーヒーと喫煙による着色が気になるとのことでPMTCを行いました。除去後、確認していただくと満足され、セルフケアのモチベーションも上がりました。 |
| 年齢・性別 | 70歳・男性 |
| 主 訴 | 歯の着色を取りたい |
| 治療期間 | 1回 |
| 治療費 | 5,500円(2022年10月現在) |
| 治療内容 | ステイン除去 |
| 治療の リスク |
着色は再び付着します。 ホワイトニングと異なり歯を白くする効果はありません。 |
| 治療方針 | 今後も、3ヶ月に1度のメインテナンスとステイン除去を平行して行いステインがつきにくい環境を 作っていきます。 |
| 担当者 所見 |
コーヒーを毎日5、6杯飲むので、着色がつきやすいことを説明しました。 喫煙はしないそうなので、飲み物や食べ物による着色の可能性があると説明しました。 着色予防の歯磨き粉についてもお話しました。 |
| 年齢・性別 | 52歳・男性 |
| 主 訴 | 歯の着色が気になる。 |
| 治療期間 | 1回 |
| 治療費 | 5,500円(2022年11月現在) |
| 治療内容 | PMTC |
| 治療の リスク |
着色は再び付着します。 歯、本来の色味を白くする効果はありません。 |
| 治療方針 | PMTCでのステイン除去 |
| 担当者 所見 |
コーヒーを毎日飲むとのことで歯間部を中心に着色がみられました。 歯間清掃のセルフケアの指導を行い、検診で定期的に着色を除去していきます。 |
| 年齢・性別 | 40歳・男性 |
| 主 訴 | 右上1~3番、左上1~3番 |
| 治療期間 | 1回 |
| 治療費 | 約2,000円 (2023年5月現在) |
| 治療内容 | 着色除去 |
| 治療の リスク |
ホワイトニングと異なり歯を白くする効果はありません |
| 治療方針 | ステイン、バイオフィルム除去 |
| 特記事項 | 定期検診の重要性も伝えて継続して通院していただく。 |
| 担当者 所見 |
定期的に汚れを落とし、歯の表面がツルツルな状態を保つことでステインも付着しにくくなるので、定期的な検診を提案しました。 |
| 年齢・性別 | 43歳・女性 |
| 主 訴 | 着色除去 全顎 |
| 治療期間 | 1日(30分) |
| 治療費 | 5,500円 (2024年6月現在) |
| 治療内容 | PMTC |
| 治療の リスク |
着色は再び付着します。ホワイトニングとは異なり歯を白くする効果はありません。 |
| 治療方針 | ステイン除去、バイオフィルム除去 |
| 特記事項 | 非喫煙者 1日2.3杯コーヒーを飲む |
| 担当者 所見 |
日常的にコーヒーを飲むことがあり、着色が気にり始めたとのこと |