保険診療
4,000円~
5,000円
(保険3割負担)
自由診療
8,800円(税込)
患者さまのお口の中の検査をし、前回の検診から痛みや口内のお困りごと、体調の変化がないかお話を伺います。
検査結果を元に患者さまのご要望も伺い患者さまのお口の状態にあわせてクリーニングを進めていきます。
※必要に応じて、口腔内写真やレントゲン撮影をすることがあります。その場合は別途費用が発生することがあります。詳しくは担当スタッフよりご案内いたします。
普段の磨き残しが目立つ部分やブラッシング圧、ゴシゴシと大きなストロークになっていないかをチェック。
患者さまの歯の形状に合わせ、ブラッシングが苦手な部分へのアプローチの仕方などアドバイスいたします。
※ブラッシング指導時に染め出しを行うことがあります。染め出しした色が唇などにつく場合があります。クリーニング後の会議や外出の予定は控えることをおすすめします。
先端から超音波を発生させる特殊な器具を使い、歯の表面や歯ぐきに付着した歯垢・歯石を取り除いていきます。
※口内環境(歯周病の方や歯石が付いている方)が悪い場合、痛みを感じることがあります。
※万が一、痛みを強く感じる場合は衛生士にご相談ください。
柔らかい専用のブラシと研磨剤を含むペーストを使用し、歯の表面を磨くことで着色を落とし、表面をツルツルに仕上げていきます。
歯本来の色を取り戻せるとともに歯質の強化にも繋がります。
フロスを使って、歯の間の溝に残った歯垢を最後に綺麗に取り除いていきます。
虫歯予防・歯質強化のためフッ素を塗布していきます。
※患者さまの口内環境により1度で終わらないことがあります。その場合は、衛生士より説明いたします。ご理解いただきますようお願いします。
※クリーニングの流れは患者さまにより順番や手順が前後する場合がございます。
定期検診では歯に付着した着色を落としますが、ホワイトニングのように白くすることはできません。
歯を白くしたい方は、ホワイトニングをおこなうことで希望の色味に近づけることができます。
歯科医院で歯のクリーニング(定期検診)を受診したことがありますか?
日頃の歯ブラシで落とせる歯の汚れは約60%前後だと言われています。
毎日の歯ブラシケアで残った約40%の汚れが蓄積することで、虫歯や歯周病などお口のトラブルを引き起こす原因になります。
また、蓄積された汚れ(プラーク)が唾液中のミネラルと結合することで歯石になります。
残念ながら一度できた歯石は、歯ブラシで落とすことができません。
歯科医院の定期検診(クリーニング)を受診することで、蓄積してできた歯石を取り除く、虫歯の早期発見など、虫歯・歯周病予防にもつながります。歯の表面がツルツルになることで歯ブラシでは感じることのない、口内の爽快感も味わうことができます。
まる歯のスタッフが、患者さまのお口の健康を守るお手伝いをします。
A.歯のクリーニングは、歯垢・歯石の除去、着色を除去することで、歯本来の白さを取り戻すことができますが、歯の色を白くすることはできません。
歯本来の色よりも白くしたい場合は、ホワイトニングをあわせることで希望の色味に近づけることができます。
A.痛みが出ないように施術を進めています。
しかし、使用する器具から水がでるため知覚過敏の症状で歯がしみることがあります。
また、歯周病が進行していた場合は、歯ぐきの中の歯石を取り除く際に痛みを感じる方もいます。
少しでも「痛い」と感じたら、歯科衛生士にご相談ください。
A.通常は、3ヵ月~6ヵ月に一度です。
しかし、日頃の歯磨きの仕方(磨き残し等)や歯並び等によりお口の中の状態は異なります。
そのため、クリーニングに通う頻度も患者さま一人ひとりによって変わってきます。
お口の中の状態を確認し、歯科衛生士から詳しくご説明します。
A.目的が異なります。
治療を目的とした歯石除去などの場合は、保険診療。
予防を目的とした場合は、自由診療になります。
A.男性・女性に関わらず、予防歯科の観点からクリーニングを受診される方も多くなっています。
また、ホワイトニングも男性の患者さまから好評の施術の一つです。
むし歯になりたくない、歯周病になりたくない、そんな方へ朗報です。
秋津歯科・矯正歯科では「予防歯科」に力を入れています。
「予防歯科」とはむし歯・歯周病にならないようにすることです。
むし歯も歯周病も原因は細菌です。
細菌の数を減らすこと、増えやすい状態にしないこと、そして、ご自身のお口の状態を把握しておくことが予防歯科では特に重要なことです。

「あります!」と答えた方に対して、本当に磨けているかを調査しました。
すると、約80%の方が磨き残し「あり」と判断されました。
歯磨きは毎日の習慣のため、知らず知らずのうちに癖が出てしまい、それが磨き残しとなります。 また、年代別では若い世代ほど磨き残しが多いことが明らかにされました。(日本口腔衛生学会2015年)

若い方ほど歯磨きが下手で、高齢者ほど熟練した技を習得している、ということはありません。お口の健康に対する意識=歯科への受診率とも言えます。
若い世代ほど歯科への受診率が低いことから、お口の健康に対する意識の差が歯磨き結果として現れているのでしょう。
歯磨きが上手な方ほど、ムシ歯や歯周病のリスクは低くなりますから、定期的なチェックまでの期間を長くしても問題ありません。
だからといって、全く行かなくていいのか?ということに対してはNo!です。
完璧に歯磨きをすることは現実的には達成困難ですから、ご自身の歯磨きに過信せず、定期的なチェックをしましょう。
「痛みがない=悪い部分がない」と自己判断することが最も危険です。

ご自宅での歯磨き・食を中心とした生活習慣のことを指します。 糖尿病の方は運動療法や食事療法により、ご自身で血糖値が上がらないよう努力されています。
むし歯や歯周病は糖尿病と同様に生活習慣と密接な関係があります。
予防のためには、汚れを溜め込まずに落としていくことが大切です。また、特にむし歯は食生活のリズムや日常的に摂取する飲料といった食生活により発生リスクが激増します。
詳しくは「むし歯のできかた」をご参照ください。
歯科医院で行うお口のクリーニング(PMTC)・リスクファクターを取り去ることを指します。
調査結果でも明らかなように自分だけで磨き切れる方はほとんどいませんので、ご自身の歯磨きの苦手な部位を中心に歯科医院でキレイにします。
また、磨き残しはバイオフィルムといって、歯ブラシでは落としきれませんので、専用の器具を用いて機械的に破壊し、取り去ります。
以下のような方は虫歯や歯周病のリスクが高いため、プロフェッショナルケアの頻度を多くする必要があります。
| 基本情報 |
|---|
| 年齢・性別:60代・男性 |
| 主訴:着色が気になる |
| 治療期間:1回 |
| 治療費:自費 5,500円/30分 |
| 治療内容: ステイン、バイオフィルム除去 |
| 治療のリスク:
着色は再び付着します ホワイトニングと異なり歯を白くする効果はありません |
| 基本情報 |
|---|
| 年齢・性別:50代・女性 |
| 主訴:歯石を取りたい |
| 治療期間:1回 |
| 治療費:約2,000円 |
| 治療内容: 歯石の除去 |
| 治療のリスク: 歯ぐきの炎症が強いと歯石を除去する際に、出血することがあります。 処置後にしみる可能性があります。 歯ぐきの炎症が軽減すると歯ぐきが引き締まり、歯が長く見えることがあります。 歯と歯の間に隙間ができるので、息がもれることがあります。 |
| 基本情報 |
|---|
| 年齢・性別:50代・女性 |
| 主訴:定期検診・着色が気になる |
| 治療期間:1回 |
| 治療費:自費 5,500円 |
| 治療内容:ステイン除去 PMTC |
| 治療のリスク: 歯ぐきの炎症が強いと歯石を除去する際に、出血することがあります。 処置後にしみる可能性があります。 歯ぐきの炎症が軽減すると歯ぐきが引き締まり、歯が長く見えることがあります。 歯と歯の間に隙間ができるので、息がもれることがあります。 |
| 基本情報 |
|---|
| 年齢・性別:50代・男性 |
| 主訴:着色が気になる |
| 治療期間:1回 |
| 治療費:自費 5,500円 |
| 治療内容:ステイン、バイオフィルム除去 |
| 治療のリスク:
着色は再び付着します。 ホワイトニングと異なり歯を白くする効果はありません。 |
| 基本情報 |
|---|
| 年齢・性別:20代・女性 |
| 主訴:着色が気になる |
| 治療期間:1回 |
| 治療費:自費 5,500円/30分 |
| 治療内容:ステイン除去・バイオフィルム除去 |
| 治療のリスク:
着色は再び付着します。 ホワイトニングと異なり歯を白くする効果はありません。 |
| 基本情報 |
|---|
| 年齢・性別:44歳・男性 |
| 主訴:歯の表面がざらつく・着色が気になる |
| 治療期間:1回 |
| 治療費:自費 5,500円/30分 |
| 治療内容:ステイン除去・バイオフィルム除去 |
| 治療のリスク:
着色は再び付着します。 ホワイトニングと異なり歯を白くする効果はありません。 |
| 基本情報 |
|---|
| 年齢・性別:33歳・男性 |
| 主訴:着色が気になる |
| 治療期間:1回 |
| 治療費:自費 5,500円/30分 |
| 治療内容:ステイン除去・バイオフィルム除去 |
| 治療のリスク:
着色は再び付着します。 ホワイトニングと異なり歯を白くする効果はありません。 |
| 基本情報 |
|---|
| 年齢・性別:30歳・男性 |
| 主訴:着色が気になる |
| 治療期間:1~2回 |
| 治療費:自費 5,500円/30分 |
| 治療内容:ステイン除去・バイオフィルム除去 |
| 治療のリスク:
着色は再び付着します。 ホワイトニングと異なり歯を白くする効果はありません。 |
| 基本情報 |
|---|
| 年齢・性別:50代・女性 |
| 主訴:歯の表面がざらつく 着色が気になる |
| 治療期間:1回 |
| 治療費:5,500円 |
| 治療内容:ステイン除去・バイオフィルム除去 |
| 治療のリスク:
着色は再び付着します。 ホワイトニングと異なり歯を白くする効果はありません。 |
| 基本情報 |
|---|
| 年齢・性別:30代・男性 |
| 主訴:歯の表面がざらつく 着色が気になる |
| 治療期間:1回30分 |
| 治療費:約5,500円 |
| 治療内容:ステイン除去・バイオフィルム除去 |
| 治療のリスク:
歯着色は再び付着します。 ホワイトニングと異なり歯を白くする効果はありません。 |
| 基本情報 |
|---|
| 年齢・性別:36歳・女性 |
| 主訴:歯の表面がざらつく 着色が気になる |
| 治療期間:1回30分 |
| 治療費:約5,500円 |
| 治療内容:ステイン除去・バイオフィルム除去 |
| 治療のリスク:
歯着色は再び付着します。 ホワイトニングと異なり歯を白くする効果はありません。 |
| 基本情報 |
|---|
| 年齢・性別:30歳・男性 |
| 主訴:歯の表面がざらつく 着色が気になる |
| 治療期間:1回30分 |
| 治療費:約5,500円 |
| 治療内容:ステイン除去・バイオフィルム除去 |
| 治療のリスク:
歯着色は再び付着します。 ホワイトニングと異なり歯を白くする効果はありません。 |
| 基本情報 |
|---|
| 年齢・性別:50代・女性 |
| 主訴:着色が気になる |
| 治療期間:1~2回 |
| 治療費:自費 5,500円/30分 |
| 治療内容:ステイン除去、エアーフロー |
| 治療のリスク:
歯周病の方は歯茎が腫れる可能性があります。着色が濃い場合、一度で取りきれないことがあります。パウダーにより歯ぐきが傷つくことがあります。 以下の方では使用できません。 ・慢性の気管支炎や喘息などの呼吸器疾患の ある方 ・腎臓・心臓・肺に機能障害がある方 ・アレルギー体質の方 ・ナトリウム摂取制限がある方 ・妊娠・授乳中の方 |
| 基本情報 |
|---|
| 年齢・性別:50代・女性 |
| 主訴:着色が気になる |
| 治療期間:1~2回 |
| 治療費:自費 5,500円/30分 |
| 治療内容:ステイン除去、エアーフロー |
| 治療のリスク:
歯周病の方は歯茎が腫れる可能性があります。着色が濃い場合、一度で取りきれないことがあります。パウダーにより歯ぐきが傷つくことがあります。 以下の方では使用できません。 ・慢性の気管支炎や喘息などの呼吸器疾患の ある方 ・腎臓・心臓・肺に機能障害がある方 ・アレルギー体質の方 ・ナトリウム摂取制限がある方 ・妊娠・授乳中の方 |
| 基本情報 |
|---|
| 年齢・性別:30代・女性 |
| 主訴:着色が気になる |
| 治療期間:1~2回 |
| 治療費:自費 5,500円/30分 |
| 治療内容:ステイン除去・エアフロー |
| 治療のリスク:
歯周病の方は歯茎が腫れる可能性があります。着色が濃い場合、一度で取りきれないことがあります。パウダーにより歯ぐきが傷つくことがあります。 以下の方では使用できません。 ・慢性の気管支炎や喘息などの呼吸器疾患の ある方 ・腎臓・心臓・肺に機能障害がある方 ・アレルギー体質の方 ・ナトリウム摂取制限がある方 ・妊娠・授乳中の方 |
| 基本情報 |
|---|
| 年齢・性別:30代・女性 |
| 主訴:着色が気になる |
| 治療期間:1~2回 |
| 治療費:自費 5,500円/30分 |
| 治療内容:ステイン除去・エアフロー |
| 治療のリスク:
歯周病の方は歯茎が腫れる可能性があります。着色が濃い場合、一度で取りきれないことがあります。パウダーにより歯ぐきが傷つくことがあります。 以下の方では使用できません。 ・慢性の気管支炎や喘息などの呼吸器疾患の ある方 ・腎臓・心臓・肺に機能障害がある方 ・アレルギー体質の方 ・ナトリウム摂取制限がある方 ・妊娠・授乳中の方 |
| 基本情報 |
|---|
| 年齢・性別:50代 女性 |
| 主訴:着色が気になる |
| 治療期間:1~2回 |
| 治療費:自費 5,500円/30分 |
| 治療内容:ステイン除去・エアフロー |
| 治療のリスク:
歯周病の方は歯茎が腫れる可能性があります。着色が濃い場合、一度で取りきれないことがあります。パウダーにより歯ぐきが傷つくことがあります。 以下の方では使用できません。 ・慢性の気管支炎や喘息などの呼吸器疾患の ある方 ・腎臓・心臓・肺に機能障害がある方 ・アレルギー体質の方 ・ナトリウム摂取制限がある方 ・妊娠・授乳中の方 |
| 基本情報 |
|---|
| 年齢・性別:47歳 男性 |
| 主訴:着色が気になる |
| 治療期間:1回 |
| 治療費:自費 5,500円/30分 |
| 治療内容:ステイン除去・エアフロー |
| 治療のリスク:
歯周病の方は歯茎が腫れる可能性があります。着色が濃い場合、一度で取りきれないことがあります。パウダーにより歯ぐきが傷つくことがあります。 以下の方では使用できません。 ・慢性の気管支炎や喘息などの呼吸器疾患の ある方 ・腎臓・心臓・肺に機能障害がある方 ・アレルギー体質の方 ・ナトリウム摂取制限がある方 ・妊娠・授乳中の方 |
| 基本情報 |
|---|
| 年齢・性別:43歳 男性 |
| 主訴:着色が気になる |
| 治療期間:1回 |
| 治療費:自費 5,500円/30分 |
| 治療内容:ステイン除去・エアフロー |
| 治療のリスク:
歯周病の方は歯茎が腫れる可能性があります。着色が濃い場合、一度で取りきれないことがあります。パウダーにより歯ぐきが傷つくことがあります。 以下の方では使用できません。 ・慢性の気管支炎や喘息などの呼吸器疾患の ある方 ・腎臓・心臓・肺に機能障害がある方 ・アレルギー体質の方 ・ナトリウム摂取制限がある方 ・妊娠・授乳中の方 |
| 基本情報 |
|---|
| 年齢・性別:43歳 男性 |
| 主訴:着色が気になる |
| 治療期間:1回 |
| 治療費:自費 5,500円/30分 |
| 治療内容:ステイン除去・エアフロー |
| 治療のリスク:
歯周病の方は歯茎が腫れる可能性があります。着色が濃い場合、一度で取りきれないことがあります。パウダーにより歯ぐきが傷つくことがあります。 以下の方では使用できません。 ・慢性の気管支炎や喘息などの呼吸器疾患の ある方 ・腎臓・心臓・肺に機能障害がある方 ・アレルギー体質の方 ・ナトリウム摂取制限がある方 ・妊娠・授乳中の方 |
| 基本情報 |
|---|
| 年齢・性別:31歳 男性 |
| 主訴:着色が気になる |
| 治療期間:1回 |
| 治療費:自費 5,500円/30分 |
| 治療内容:ステイン除去・エアフロー |
| 治療のリスク:
歯周病の方は歯茎が腫れる可能性があります。着色が濃い場合、一度で取りきれないことがあります。パウダーにより歯ぐきが傷つくことがあります。 以下の方では使用できません。 ・慢性の気管支炎や喘息などの呼吸器疾患の ある方 ・腎臓・心臓・肺に機能障害がある方 ・アレルギー体質の方 ・ナトリウム摂取制限がある方 ・妊娠・授乳中の方 |
| 基本情報 |
|---|
| 年齢・性別:31歳 男性 |
| 主訴:着色が気になる |
| 治療期間:1回 |
| 治療費:自費 5,500円/30分 |
| 治療内容:ステイン除去・エアフロー |
| 治療のリスク:
歯周病の方は歯茎が腫れる可能性があります。着色が濃い場合、一度で取りきれないことがあります。パウダーにより歯ぐきが傷つくことがあります。 以下の方では使用できません。 ・慢性の気管支炎や喘息などの呼吸器疾患の ある方 ・腎臓・心臓・肺に機能障害がある方 ・アレルギー体質の方 ・ナトリウム摂取制限がある方 ・妊娠・授乳中の方 |
| 基本情報 |
|---|
| 年齢・性別:30代 男性 |
| 主訴:着色が気になる |
| 治療期間:1~2回 |
| 治療費:自費 5,500円/30分 |
| 治療内容:ステイン除去・エアフロー |
| 治療のリスク:
歯周病の方は歯茎が腫れる可能性があります。着色が濃い場合、一度で取りきれないことがあります。パウダーにより歯ぐきが傷つくことがあります。 以下の方では使用できません。 ・慢性の気管支炎や喘息などの呼吸器疾患の ある方 ・腎臓・心臓・肺に機能障害がある方 ・アレルギー体質の方 ・ナトリウム摂取制限がある方 ・妊娠・授乳中の方 |
| 基本情報 |
|---|
| 年齢・性別:50代 男性 |
| 主訴:着色が気になる |
| 治療期間:1~2回 |
| 治療費:自費 5,500円/30分 |
| 治療内容:ステイン除去・エアフロー |
| 治療のリスク:
歯周病の方は歯茎が腫れる可能性があります。着色が濃い場合、一度で取りきれないことがあります。パウダーにより歯ぐきが傷つくことがあります。 以下の方では使用できません。 ・慢性の気管支炎や喘息などの呼吸器疾患の ある方 ・腎臓・心臓・肺に機能障害がある方 ・アレルギー体質の方 ・ナトリウム摂取制限がある方 ・妊娠・授乳中の方 |
| 基本情報 |
|---|
| 年齢・性別:50代 男性 |
| 主訴:着色が気になる |
| 治療期間:1回 |
| 治療費:自費 5,500円/30分 |
| 治療内容:ステイン・バイオフィルム除去 |
| 治療のリスク: 着色は再び付着します。ホワイトニングと異なり歯を白くする効果はありません。 |

「歯を抜かない、治療をしない」が良い歯科治療ではありません。
歯医者は歯を抜きたいわけでも、歯を削りたいわけでもありません。
笑顔で楽しく食事ができること、会話ができること、これこそが歯医者が求めることです。
だからこそ、悪い部分はまずしっかりと治療をして、治します。
歯が痛ければ、グラグラしていれば、美味しく食事ができません。
そういったときは、治療が必要です。モグラ叩きのように次から次へ、1本治療したら、また次の歯が、とならないように当院では1本単位ではなく、お口のなか全体を診て、治療を進めていくことを基本コンセプトとしています。
そして、治療の終了が予防歯科の開始です。治療した歯を守っていくことこそが予防歯科の真髄とも言えます。
再治療が必要な状態や治療前と同じような状態にならないためには、定期的な検査とプロフェッショナルケアを受けることが健口の秘訣です。
画像出典:実践しよう!予防歯科
| 年齢・性別 | 50代・男性 |
| 主 訴 | 歯石を取りたい |
| 治療期間 | 1回 |
| 治療費 | 約2,000円 |
| 治療内容 | 歯石の除去 |
| 治療の リスク |
歯ぐきの炎症が強いと歯石を除去する際に、出血することがあります。 処置後にしみる可能性があります。 歯ぐきの炎症が軽減すると歯ぐきが引き締まり、歯が長く見えることがあります。 歯と歯の間に隙間ができるので、息がもれることがあります。 |
| 年齢・性別 | 40代・男性 |
| 主 訴 | 歯石を取りたい |
| 治療期間 | 1回 |
| 治療費 | 約2,000円 |
| 治療内容 | 歯石の除去 |
| 治療の リスク |
歯ぐきの炎症が強いと歯石を除去する際に、出血することがあります。 処置後にしみる可能性があります。 歯ぐきの炎症が軽減すると歯ぐきが引き締まり、歯が長く見えることがあります。 歯と歯の間に隙間ができるので、息がもれることがあります。 |
| 年齢・性別 | 20代・男性 |
| 主 訴 | 定期検診希望 |
| 治療期間 | 1回 |
| 治療費 | 約2,000円 |
| 治療内容 | 歯石の除去 |
| 治療の リスク |
歯ぐきの炎症が強いと歯石を除去する際に、出血することがあります。 処置後にしみる可能性があります。 歯ぐきの炎症が軽減すると歯ぐきが引き締まり、歯が長く見えることがあります。 歯と歯の間に隙間ができるので、息がもれることがあります。 |
| 年齢・性別 | 30代・女性 |
| 主 訴 | 定期検診希望 |
| 治療期間 | 1回 |
| 治療費 | 約2,000円 |
| 治療内容 | 歯石の除去 |
| 治療の リスク |
歯ぐきの炎症が強いと歯石を除去する際に、出血することがあります。 処置後にしみる可能性があります。 歯ぐきの炎症が軽減すると歯ぐきが引き締まり、歯が長く見えることがあります。 歯と歯の間に隙間ができるので、息がもれることがあります。 |
| 年齢・性別 | 70代・男性 |
| 主 訴 | 定期検診希望 歯石を取りたい |
| 治療期間 | 1回 |
| 治療費 | 約2,000円 |
| 治療内容 | 歯石の除去 |
| 治療の リスク |
歯ぐきの炎症が強いと歯石を除去する際に、出血することがあります。 処置後にしみる可能性があります。 歯ぐきの炎症が軽減すると歯ぐきが引き締まり、歯が長く見えることがあります。 歯と歯の間に隙間ができるので、息がもれることがあります。 |
| 年齢・性別 | 60代・女性 |
| 主 訴 | 定期検診希望 |
| 治療期間 | 1回 |
| 治療費 | 約2,000円 |
| 治療内容 | 歯石の除去 |
| 治療の リスク |
歯ぐきの炎症が強いと歯石を除去する際に、出血することがあります。 処置後にしみる可能性があります。 歯ぐきの炎症が軽減すると歯ぐきが引き締まり、歯が長く見えることがあります。 歯と歯の間に隙間ができるので、息がもれることがあります。 |
| 年齢・性別 | 56歳・女性 |
| 主 訴 | 歯石を取りたい |
| 治療期間 | 1回 |
| 治療費 | 約2,000円 |
| 治療内容 | 歯石の除去 |
| 治療の リスク |
歯ぐきの炎症が強いと歯石を除去する際に、出血することがあります。 処置後にしみる可能性が あります。 歯ぐきの炎症が軽減すると歯ぐきが引き締まり、歯が長く見えることがあります。 歯と歯の間に隙間ができるので、息がもれることがあります。 |
| 年齢・性別 | 45歳・男性 |
| 主 訴 | 歯が痛い |
| 治療期間 | 1回 |
| 治療費 | 合計7,000円 歯石除去 2,000円 ステイン除去 5,000円 |
| 治療内容 | 歯石除去 ステイン除去 |
| 治療の リスク |
歯ぐきの炎症が強いと歯石を除去する際に、出血することがあります。 処置後にしみる可能性があります。 歯ぐきの炎症が軽減すると歯ぐきが引き締まり、歯が長く見えることがあります。 歯と歯の間に隙間ができるので、息がもれることがあります。 着色は再び付着します。 ホワイトニングと異なり歯を白くする効果はありません。 |
| 治療方針 | 全顎的に歯石やプラークの付着が多くみられた。また、歯周病も進んでいるので歯周病の治療を行いつつ、虫歯の治療も並行して行っていく。 |
| 担当者 所見 |
歯肉の腫脹がみられた。スケーリングしたとき出血の量が多く、縁下歯石もたくさんあった。 歯磨きは1日2回行い歯間清掃は行なっていないとのこと。歯ブラシは大きい歯ブラシを使用していたので、小さめの歯ブラシをお薦めし、歯間ブラシのサイズを確認したので、今後はセルフケアの重要性も伝えていく。 |
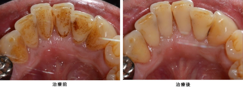
| 年齢・性別 | 43歳・男性 |
| 主 訴 | 着色が気になる 右下3番〜左下3番 |
| 治療期間 | 1回 |
| 治療費 | 合計:8,000円 ・内訳 スケーリング:約2,500円 PMTC:5,500円 |
| 治療内容 | スケーリング PMTC |
| 治療の リスク |
着色は再び付着します。 ホワイトニングと異なり歯を白くする効果はありません。 歯ぐきの炎症が強いと歯石を除去する際に、出血することがあります。 処置後にしみる可能性があります。 歯ぐきの炎症が軽減すると歯ぐきが引き締まり、歯が長く見えることがあります。 歯と歯の間に隙間ができるので、息がもれることがあります。 |
| 治療方針 | 3ヶ月に1度の定期検診とステイン除去 着色が付きにくい歯磨剤の使用をすすめる。 |
| 担当者 所見 |
1日に10本ぐらい喫煙されるとので、ステインがつきやすいこと、歯周病と喫煙の関係の話をしていく。 また、下顎舌側には歯石がつきやすいのでデンタルフロスや歯磨き方法を定期的に確認を行う。 |
| 年齢・性別 | 40代・男性 |
| 主 訴 | 歯石取りたい |
| 治療期間 | 1回 |
| 治療費 | 約2,000円 (2023年2月現在) |
| 治療内容 | 歯石除去 |
| 治療の リスク |
歯ぐきの炎症が強いと歯石を除去する際に、出血することがあります。 処置後にしみる可能性があります。 歯ぐきの炎症が軽減すると歯ぐきが引き締まり、歯が長く見えることがあります。 歯と歯の間に隙間ができるので、息がもれることがあります。 |
| 治療方針 | 歯ぐき上の歯石除去後、歯ぐきの下の歯石除去 |
| 担当者所見 |
久しぶりの来院のため、歯ぐきの上と下に歯石が付着していました。 まずは歯ぐきの上の歯石を除去し、歯磨き指導と歯ぐきの下の歯石除去を行っていく。 また、定期的に通っていただく重要性を伝えた。 |
| 年齢・性別 | 40代・男性 |
| 主 訴 | 着色が気になる |
| 治療期間 | 1回 |
| 治療費 | 自費 5,500円/30分 |
| 治療内容 | ステイン、バイオフィルム除去 |
| 治療の リスク |
着色は再び付着します。 ホワイトニングと異なり歯を白くする効果はありません。 |
| 年齢・性別 | 30代・女性 |
| 主 訴 | 歯の表面がざらつく 着色が気になる |
| 治療期間 | 1~2回 |
| 治療費 | 自費 5,500円/30分 |
| 治療内容 | ステイン、バイオフィルム除去 |
| 治療の リスク |
着色は再び付着します。 ホワイトニングと異なり歯を白くする効果はありません。 |
| 年齢・性別 | 50代・女性 |
| 主 訴 | 歯の表面がざらつく 着色が気になる |
| 治療期間 | 1~2回 |
| 治療費 | 自費 5,500円/30分 |
| 治療内容 | ステイン、バイオフィルム除去 |
| 治療の リスク |
着色は再び付着します。 ホワイトニングと異なり歯を白くする効果はありません。 |
| 年齢・性別 | 40代・男性 |
| 主 訴 | 歯の表面がざらつく 着色が気になる |
| 治療期間 | 1回30分 |
| 治療費 | 自費 5,500円 |
| 治療内容 | ステイン、バイオフィルム除去 |
| 治療の リスク |
着色は再び付着します。 ホワイトニングと異なり歯を白くする効果はありません。 |
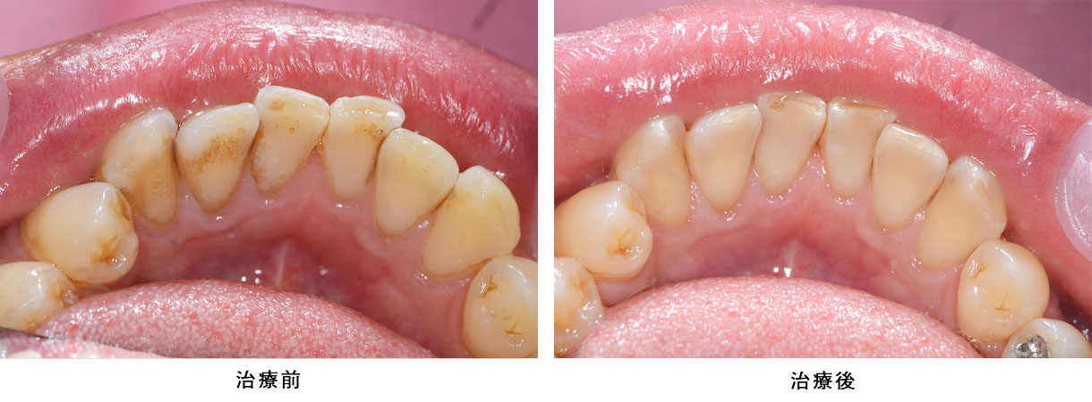
| 年齢・性別 | 60代・女性 |
| 主 訴 | 歯石を取りたい |
| 治療期間 | 1回 |
| 治療費 | 約2,000円 (2023年6月現在) |
| 治療内容 | 右下3番~左下3番 |
| 治療の リスク |
歯ぐきの炎症が強いと歯石を除去する際に、出血することがあります。 処置後にしみる可能性があります。 歯ぐきの炎症が軽減すると歯ぐきが引き締まり、歯が長く見えることがあります。 歯と歯の間に隙間ができるので、息がもれることがあります。 |
| 治療方針 | 3ヶ月に一度の定期検診を行っている患者様です。 下の前歯に歯石が付きやすいことを気にされていました。 超音波スケーラーを使用し歯石を除去しました。 |
| 特記事項 | 歯垢と唾液の成分が混ざることによって、歯石ができることを説明しました。特に下の前歯の裏側は唾液の入り口があるのでより歯石が付きやすいことを伝えました。 |
| 担当者所見 | デンタルフロスを使用してるとのことなので、歯面に沿わせて行ってもらうように伝えました。 |
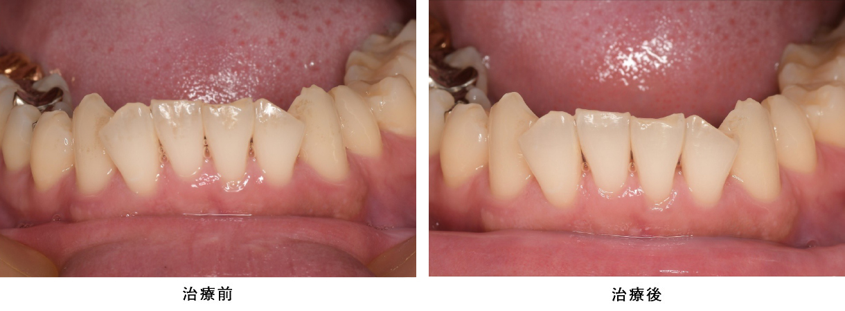
| 年齢・性別 | 50代・男性 |
| 主 訴 | 着色汚れを落としたい |
| 治療期間 | 1回 |
| 治療費 | 5,500円 (2023年6月現在) |
| 治療内容 | 左下3番~右下3番 |
| 治療の リスク |
歯周病の方は歯ぐきが腫れる可能性があります。着色が濃い場合、一度で取りきれないことがあります。パウダーにより歯ぐきが傷つくことがあります。 以下の方では使用できません。 ・慢性の気管支炎や喘息などの呼吸器疾患のある方 ・腎臓・心臓・肺に機能障害がある方 ・アレルギー体質の方 ・ナトリウム摂取制限がある方 ・妊娠・授乳中の方 |
| 治療方針 | 半年ぶりにクリーニングを行った患者さまです。 コーヒーを頻繁に飲むということで、歯の着色を気にされていました。 エアフロー(専用のクリーニング機器)で着色除去を行いました。 |
| 特記事項 | 着色を落として綺麗にはしましたが、習慣的にコーヒーを飲むことで再度着色がついてきてしまうことを伝えました。 |
| 担当者所見 | 当医院で使用している着色汚れを除去できる歯磨剤「メルサージュヒスケア」を使用してもらい、ご自宅でも着色予防できるようにしました。 |
| 年齢・性別 | 50代・男性 |
| 主 訴 | 着色汚れを落としたい |
| 治療期間 | 1回 |
| 治療費 | 5,500円 (2023年6月現在) |
| 治療内容 | 右上3番~左上3番 |
| 治療の リスク |
着色は再び付着します。 ホワイトニングと異なり歯を白くする効果はありません。 |
| 治療方針 | 患者さまの都合で、定期検診が1年半振りでした。その間クリーニングをしていなかったので着色が気になっていたとおっしゃっていました。 専用のペーストとブラシを用いて、着色を除去しました。 |
| 特記事項 | 喫煙歴がありました。喫煙をする事によって着色が付きやすい事を説明しました。 |
| 担当者所見 | 定期的にPMTCを行い、光沢のある歯面に仕上げると着色しにくくなる事を伝え、通っていただいています。 |
| 年齢・性別 | 40代・男性 |
| 主 訴 | 歯の着色が気になる |
| 治療期間 | 1回 |
| 治療費 | 5,500円 (2022年7月現在) |
| 治療内容 | ステイン、バイオフィルム除去 右上3番~左上3番 |
| 治療の リスク |
着色は再び付着します。 ホワイトニングと異なり歯を白くする効果はありません。 |
| 治療方針 | 歯の着色が気になるとのことでした。 エアフローを使って、着色を除去しました。 |
| 特記事項 | 前歯の裏側はくぼんでいる形状になっているので、再度着色が付く可能性があることを説明しました。 |
| 担当者所見 | コーヒーを1日5杯ぐらい飲むとのことでしたので、着色がつきやすいことを説明し、着色の付きにくい歯磨剤を使うように提案しました。 |
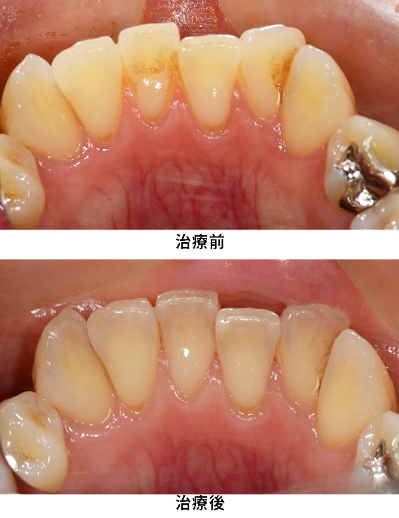
| 年齢・性別 | 30代・男性 |
| 主 訴 | 定期検診 全顎 |
| 治療期間 | 1日 |
| 治療費 | 約3,280円 保険診療3割負担 (2024年6月現在) |
| 治療内容 | SC,PMTC |
| 治療の リスク |
歯石を除去すると、歯ぐきに違和感が出ることがあります。 1週間程度歯を磨くと出血することがあります。 歯石を除去しても、また付着してしまうことがあるので定期的なクリーニングが必要です。 |
| 治療方針 | 3ヶ月に1度の定期検診を引き続き行う。 |
| 担当者所見 | 上の前歯に着色が多く付着しているので、着色を防ぐためにホワイトニングや着色予防の効果がある歯磨き粉を使用していただくようにアドバイスさせていただきました。 |
| 年齢・性別 | 30代・男性 |
| 主 訴 | 前歯の着色が気になる 全顎 |
| 治療期間 | 1日 |
| 治療費 | 5,500円 (2024年7月現在) |
| 治療内容 | ステイン・バイオフィルム除去 |
| 治療の リスク |
着色は再び付着します ホワイトニングと異なり歯を白くする効果はありません |
| 治療方針 | ステイン除去 |
| 特記事項 | 非喫煙者 お茶やコーヒーをよく飲む |
| 担当者所見 | 日常的にコーヒーやお茶をよく飲むとのことなので、定期検診に通いつつ着色が気になったら、ステインの除去を行うことを伝えた |
| 年齢・性別 | 30代・男性 |
| 主 訴 | 着色が気になる |
| 治療期間 | 1回 |
| 治療費 | 5,500円 (2024年12月現在) |
| 治療内容 | 左下3〜右下3 |
| 治療の リスク |
歯ぐきの炎症が強いと歯石を除去する際に、出血することがあります。 処置後にしみる可能性があります。 歯ぐきの炎症が軽減すると歯ぐきが引き締まり、歯が長く見えることがあります。 歯と歯の間に隙間ができるので、息がもれることがあります。 |
| 治療方針 | コーヒーを1日に2.3杯飲むことと喫煙者なのでステインが付きやすいので定期的に除去が必要なことを説明した。 |
| 担当者所見 | ステインを除去してもまた付着してしまうので、定期的に来院してもらうように伝えた。 |