歯のクリーニングのコツ:
歯科医院編

歯のクリーニングは一度で終わらない?

image1

歯のクリーニングをして欲しいけど、1回で終わらなかった。何度も通わなきゃいけないのはなぜ?とご質問されることがあります。 ここでは初めていく歯医者で効率的にクリーニングをしていくコツをお伝えします。

初めていく歯科医院で一度にクリーニングをして
もらう方法

① 予約を取る際に「一度でクリーニングをしてもらいたい」と伝える

当院では患者様のご希望をお聞きした上でご予約を取るように心掛けています。ただし、患者様のご都合・処置に必要な時間・当院の予約状況を合わせなければいけないため、ご希望通りでは近日中のご予約が難しい場合がございます。そのため、初回は気になる部分のみをクリーニングを行うことをご提案することがございます。

保険診療で行われるクリーニングとは歯石の除去になりますが、保険診療では検査をした後でなければ歯石の除去ができません。ちなみに、コーヒーやタバコによる着色を除去することは保険診療のクリーニングでは出来ません。なぜなら、着色は病気ではないからです。

②「検査なしでクリーニングをしてほしい」と伝える

自費診療であれば検査なしでクリーニングを承ることが可能です。検査に要する時間もクリーニングに当てることができますので効率的と言えます。お口の状態を確認し、歯石や着色の付着状況に合わせて、クリーニング方法をご提案いたします。
ただし、レントゲンの撮影などをしていないため、虫歯や歯周病の状態を考慮したクリーニングが難しくなることがあります。

③ 普段以上に歯ブラシを頑張る

お口の汚れは歯ブラシで取れるプラークと取れない歯石・着色があります。
ご来院前に歯ブラシで取れる汚れをご自身で取っておいていただけると、それだけ効率的にクリーニングすることが可能になります。

④ 定期的にクリーニングを
受けておく

クリーニングを主訴に2〜3年ぶりにご来院される患者様がいらっしゃいますが、やはり長年蓄積した歯石は硬くなっていたり、その量が多かったりしますので、全てを取り除くには時間を要してしまいます。歯ぐきの健康のためにも定期的にクリーニングをしておくことが大切です。

初診時の流れ

image1

当院ではクリーニングご希望の初診患者様のご予約は60分でお取りし、一度でクリーニングが完了できることを目指しています。

保険診療でのクリーニング

Step1. 問診票のご入力

ご予約時間の10〜15分前にご来院いただくとスムーズです。

Step2. 問診(状態などを伺います)

Step3. 検査(レントゲン、歯周検査、歯式、口腔内写真撮影)

Step4. 診断およびお口の状況のご説明

Step5. クリーニング開始

Step1〜Step4 までに時間を要した場合、クリーニングにかけられる時間が短くなってしまいます。保険診療でのクリーニング費用は3割負担の方で初診料・検査料が約3,000円、クリーニング(歯石取り)料が約2,000円です。

なお、付着している歯石の量によっては一度で落としきれないことがあります。また、着色除去は保険適応外となるため、保険のクリーニングでは着色を落とすことはできません。

自費診療でのクリーニング

Step1. 問診票のご入力

ご予約時間の10〜15分前にご来院いただくとスムーズです。

Step2. 問診およびお口の状況確認(口腔内写真を撮影することがあります)

Step3. 費用のご説明

Step4. クリーニング開始

自費診療でのクリーニングの費用は¥5,500/30分になります。歯石の量や着色の付着状況に合わせたクリーニングを行いますが、汚れが強固な場合は一度では完全に落としきれないことがあります。
自費診療でのクリーニングでは超音波機器やジェット(細かい粉末を利用した器具)を用いて汚れを落としていきます。

歯医者さんがお勧めするクリーニングとは

image1

初診の患者様であれば、やはりお口の状態を検査した上でクリーニングすることをお勧めします。
というのも、歯科医師であっても虫歯を診断することはとても難しいのです。穴が空いていれば明らかですが、虫歯は歯に穴が開かず、表面が茶褐色〜黒色に変色することもあり、着色と判断が難しいことがありますので、レントゲンを撮影して診断をすることが大切だと考えます。

着色だと思って除去をしていたが、実は虫歯で歯が傷ついてしまった、ということもあります。虫歯=すぐ削るではなく、進行具合によっては削らない虫歯治療という選択もありますが、歯が傷ついてしまったら、その選択ができなくなってしまいます。そのようなリスクを避けるためも検査を行うことをお勧めしています。

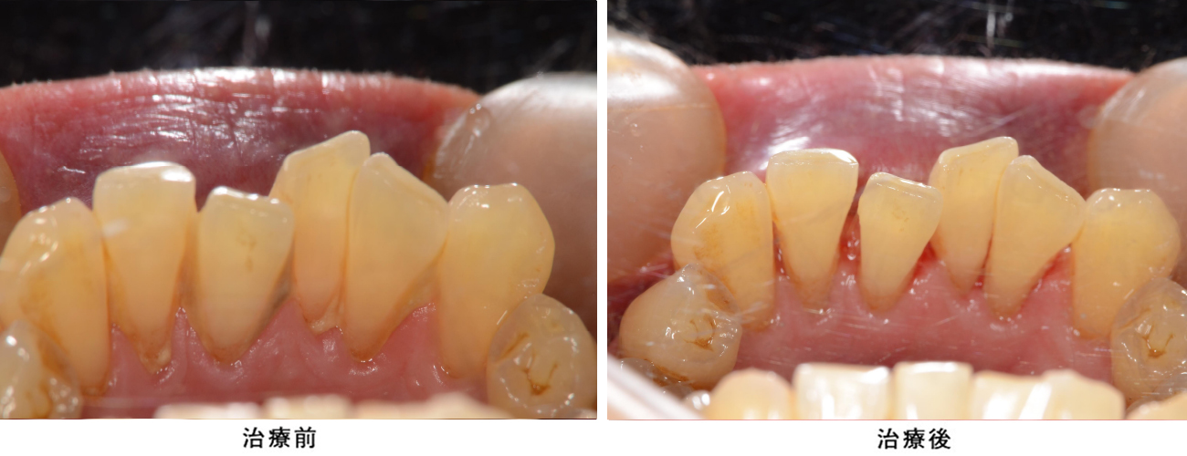
歯石除去 症例

現在の治療費と異なる場合がございます。最新の治療費は料金表をご確認ください。

歯石除去(保険適用)のケース

年齢・性別 30代・女性
主 訴 定期健診希望
歯石を取りたい
歯ぐきから血が出る
治療期間 1回
治療費 約2,000円
治療内容 歯石の除去
治療の
リスク
歯ぐきの炎症が強いと歯石を除去する際に、出血することがあります。
処置後にしみる可能性があります。
歯ぐきの炎症が軽減すると歯ぐきが引き締まり、歯が長く見えることがあります。
歯と歯の間に隙間ができるので、息がもれることがあります。

歯石除去(保険適用)のケース

年齢・性別 50代・男性
主 訴 歯石を取りたい
歯ぐきから血が出る
治療期間 1回
治療費 約2,000円
治療内容 歯石の除去
治療の
リスク
歯ぐきの炎症が強いと歯石を除去する際に、出血することがあります。
処置後にしみる可能性があります。
歯ぐきの炎症が軽減すると歯ぐきが引き締まり、歯が長く見えることがあります。
歯と歯の間に隙間ができるので、息がもれることがあります。

歯石除去(保険適用)のケース

年齢・性別 40代・男性
主 訴 定期健診希望
治療期間 1回
治療費 約2,000円
治療内容 歯石の除去
治療の
リスク
歯ぐきの炎症が強いと歯石を除去する際に、出血することがあります。
処置後にしみる可能性があります。
歯ぐきの炎症が軽減すると歯ぐきが引き締まり、歯が長く見えることがあります。
歯と歯の間に隙間ができるので、息がもれることがあります。

歯石除去(保険適用)のケース

年齢・性別 30代・女性
主 訴 定期健診希望
歯石を取りたい
歯ぐきから血が出る
治療期間 1回
治療費 約2,000円
治療内容 歯石の除去
治療の
リスク
歯ぐきの炎症が強いと歯石を除去する際に、出血することがあります。
処置後にしみる可能性があります。
歯ぐきの炎症が軽減すると歯ぐきが引き締まり、歯が長く見えることがあります。
歯と歯の間に隙間ができるので、息がもれることがあります。

まとめ

image1

クリーニングのために何度も歯医者に行きたくないでしょうし、一度で終わらせて欲しいという患者様の声はよく耳にします。ただ、初診の患者様ではお口の状況がわからないため、どうしても時間がかかってしまう場合があります。
私たちも同じ内容で何度もご来院いただくのは心苦しいので、出来ることならば一度でクリーニングは完了させたいのが本音なのです。

総合的な歯科検診の
ご相談・ご予約はこちらから

TOP
初めての方へ
当院の特徴
料金表
よくあるお悩み
ドクター紹介
診療案内
症例
アクセス
お問い合わせ
WEB予約

©️ 秋津駅前すぐの歯医者・秋津歯科・矯正歯科

・平日 8:30-17:00 ・初診最終受付16:00
・土  8:30-17:00 ・再診最終受付16:30
休診日:水・日・祝