質問

・20代女性です。
・抜歯が必要だと言われインプラントをしようとかかりつけの
歯科医院で費用を聞いたら、60~70万円すると言われました。
・インプラントの費用が
60~70万円は高すぎるでしょうか。
・不安になって
ネットで調べると30万円が妥当な金額だそうです。
・ぼったくっているのかと思うと怒りが止まりません。
・高過ぎるので別の歯科に行きますと言ったほうがいいでしょうか?
回答
インプラント治療は自由診療のため、医院によって値段が異なりますので、60~70万円が高いすぎるかどうかは判断しかねますので、一般的なインプラントの治療費の設定方式をご説明します。
インプラント治療費は
1)検査・診断、2)インプラント体を埋入する1次手術、3)上部構造物(インプラントの被せ物)装着準備のための2次手術、4)上部構造物のそれぞれに対して料金を設定することが多い
です。
1. 検査・診断
インプラント治療とはチタン製のインプラント体を体内に埋め込み、失った歯を補う治療方法です。一度埋め込んだインプラント体を除去するのは大変難しいことなので、慎重に診断をし、治療計画を立てる必要があります。
インプラント治療の診断では、歯を失った(失う)原因やインプラントを埋入する部分のことだけでなく、残っている歯の状態や噛み合わせを診査し、レントゲン・CTを撮影します。
当院の検査・診断料:¥55,000
2. インプラント体を埋入する1次手術
インプラントは骨に支えられるものですが、骨が不足している場合は骨を造成する必要があります。骨造成の必要性の有無、必要性がある場合ではその方法によって手術費用が異なります。骨の状態によっては、まず骨造成を行い、骨が再建できてからインプラント体を埋入することがあります。
計画した位置に正確にインプラントを埋入するためにはサージカルガイド(3Dプリンターを用いて製作されます)を使用することが推奨されています。サージカルガイドを用いて手術を行う場合は製作費用がかかります。
また、手術に対する不安感が強い場合や全身疾患を有する方では静脈内鎮静法を併用して手術を行うことが可能です。
<当院の一1次手術料金>
埋入料:¥165,000
骨造成 GBR:¥110,000
サイナスリフト:¥220,000
ソケットリフト:¥110,000
サージカルガイド:¥55,000
静脈内鎮静法:¥99,000
3. 被せ物装着準備のための2次手術
最終的な上部構造物は歯磨きができなければインプラント周囲炎のリスクが高まります。そのためにはインプラント周りの歯ぐきが重要な役割をします。そのために必要なのが2次手術ですが、単純な症例から歯肉の移植が必要な症例まで、その時の歯ぐきの状態に合わせて術式が異なります。術式の違いによって料金も異なってきます。
<当院の2次手術料金>
パンチアウト:¥22,000
歯肉移植:¥110,000
4. 上部構造物
上部構造物の作り方や種類によって料金は異なります。奥歯の単純な症例では2次手術後に歯ぐきの状態が良くなれば上部構造物を装着することが可能ですが、本数が多い場合や前歯では仮歯を装着した後に上部構造物の製作を行います。
なお、当院のインプラント治療では複数の上部構造物を連結せず、材料としてはジルコニアステイン(ジルコニアの表面に色付けをしたもの)を使用しています。ただし、顎の骨の状態や埋入するインプラントの本数の都合で上部構造物を連結する場合があります。
その際には上部構造物の製作の自由度を高めるためにマルチユニットアバットメントという特殊なパーツを使用することになります。また、審美性を高めるためにセラミックを使用すると費用が加算されます。
<当院の上部構造物の料金>
仮歯:¥55,000
ジルコニアステイン:¥165,000
ジルコニアボンド:¥220,000
マルチユニットアバットメント:¥33,000
インプラント治療では歯を失った時の状態や歯を失ってから期間などによって治療方法が異なってきます。そのため、1本のインプラント治療であっても、治療にかかる費用も期間も方法も千差万別です。
インプラント治療を考える際には治療費用の高い/安いだけでなく、その内訳と各項目の必要性についてご理解いただいた上でご判断されることをお勧めします。
前歯のインプラント症例
※2021年4月現在の価格です。詳しくはお問い合わせください。
基本情報
| 性別・年齢 |
女性・58歳 |
| 主訴 |
前歯が腫れた |
| 現症 |
20年ほど前に2 1|1 2をクラウンを装着したが、 5年ほど経過した時点で2 1|は歯根端切除術を行った。
そして、8年ほど前に|2は歯根破折したため、インプラント治療を行った。 |
| 既往歴 |
特になし |
| 治療に対する希望 |
治療期間中であっても入れ歯は装着したくない。治療期間はできるだけ短くしたい。 |
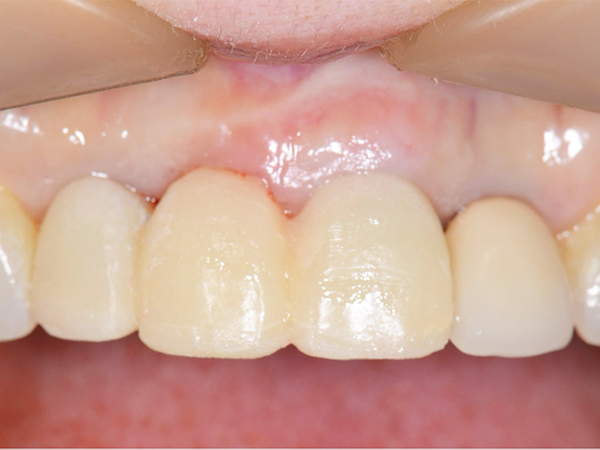
初診時口腔内写真
初診時パノラマレントゲン写真
デンタルレントゲン写真

右上1番と2番、左上1番の根の先には大きな病変(レントゲン上で黒く写っている部分)が確認できました。右上1番と2番に関しては、15年ほど前に歯根端切除を行っているとのことより、再手術を行うと現状よりもさらに歯根が短くなってしまい、歯の揺れが大きくなることが予想されました。
CTによる診査
CTを撮影し、歯根の長さや根尖病変の大きさを精査しました。
診断
2 1|1 根尖性歯周炎
2 1|→保存を試みるならば再歯根端切除術を行うことになるが、健全歯質が少なく、また根が短くなり歯の揺れが悪化することから保存不可と判定しま
した。
|1→RCTにて保存は可能であるが、失活歯のため将来的に歯根破折のリスクが高いことが予想されました。
治療方針
治療方針①
2 1| 抜歯→2本インプラント埋入し、連結せずに上部構造物を製作する
|1 根管治療→クラウン装着
メリット:
歯を保存することが可能となる。
デメリット:
保存した歯が将来的に歯根破折するリスクがあり、抜歯になった際は再治療が必要となる。
治療方針②
2 1| 抜歯、
|1 根管治療
④③2 1|① → ブリッジを製作
メリット:
インプラントでないため外科処置が最小限である。
デメリット:
・健康な歯を削る必要がある。
・予後が悪い
|1にトラブルが生じたら、ブリッジ全体での再治療が必要になる。
治療方針③
2 1|1 抜歯→
1| 1本インプラント埋入、
2①|1②インプラントBr(
|2はインプラントの上部構造物のみ作り直す)
メリット:
インプラントを埋入する本数が少ないため、治療費が抑えられる。
デメリット:
・
|2は他院で行ったインプラントのため当院の取り扱っているシステムで対応できない可能性がある。
・歯を抜くことになる。
治療方針④
2 1|1抜歯→
2|1 2本インプラント埋入、
②1|①インプラントBr
メリット:
再治療になるリスクが低く、総合的に費用を抑えることが可能となる。
デメリット:
・歯を抜くことになる。
・インプラントのブリッジになるため、清掃が困難になる可能性がある。
治療方針⑤
2 1|1抜歯→
2 1|1 3本インプラント埋入し、連結せずに上部構造物を製作する
メリット:
インプラント1本にかかる負荷が最少となる。
デメリット:
・費用が高額になる。
・歯を抜くことになる。
※入れ歯による治療は問診時より希望していなかったので治療方針からは除外しています。
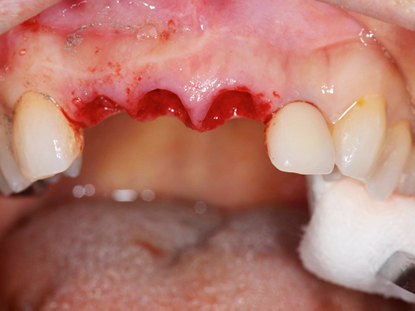
各治療方針を説明した結果、4を選択されました。治療途中であっても取り外しの入れ歯を装着することに抵抗があるとのことより、抜歯と同時にインプラント体を埋入し、その場でインプラントの仮歯を装着する手術プランを立てました。
治療費用
| 診断料 |
¥55,000 |
抜歯即時埋入 インプラント(2本) |
¥165,000 × 2 |
骨造成 (GBR:3本分) |
¥110,000 × 3 |
| 静脈内鎮静法 |
¥99,000 |
サージカル ガイド |
¥55,000 |
| 仮歯(3本分) |
¥55,000 × 3 |
| 上部構造物
(ジルコニアボンド:2本、ポンティック1本) |
¥165,000 × 2+ ¥165,000 × 1 |
| 総額 |
¥1,507,000 |
※インプラント埋入手術時に仮歯を装着しているため、2次手術はありません。
インプラント治療のリスク
・外科治療が必要であり、術後は痛みと腫れを伴うことがあります。
・費用が高額になります。
・治療の期間が比較的長くなります。
・インプラント体が骨と結合しないことがあります。
・一度、骨と結合した場合でも脱落することがあり
ます。
・経時的に歯ぐきや骨の形が変化します。
・インプラント周囲炎のリスクがあります。
・ジルコニアボンドはセラミック部分がかけることがあります。
CTによるシミュレーション
2|
|1
1次手術時の流れ
①手術開始時
②被せ物を外した状態
③抜歯
④サージガイドを使用したインプラント体の埋入
⑤インプラント体を埋入した状態
⑥仮歯を製作していく段階
⑦仮歯を装着した状態
埋入したばかりのインプラント体に負担がかからないように、下の歯と当たらないような形と噛み合わせになるよう調整しています。
1次手術手術後のレントゲン写真
2|
|1
手術後2weeks
歯ぐきの腫れもなく、経過は良好でした。
手術後1.5ヶ月
手術直後と比較すると、歯ぐきが少し下がってきていますが、それ以外に変化はありませんでした。
レントゲン写真による評価
術後4ヶ月 仮歯の調整
1次手術時に製作した仮歯を外し、歯ぐきと周りの歯と調和するように仮歯の形を修正しました。
本症例では骨造成を同時に行ったため、唇側の歯ぐきの幅が減ることなく、きれいな状態を保っています。
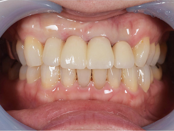
上部構造物
(ジルコニアボンドブリッジ)
スクリューリテイン(ねじ止めタイプ)による上部構造物を製作しました。
ジルコニアボンドはジルコニアのフレームの上にセラミックを盛り付けています。
インプラント体との連結部分以外に金属を一切使用していませんので、審美性に優れていますが、
セラミック部分がかける可能性があります。
上部構造物装着
上部構造物を装着した状態です。まだ装着して日が浅いので、今後歯ぐきとの馴染みが十分ではありません。
インプラントは虫歯にはなりませんが、インプラント周囲炎になる可能性がありますので、今後は定期検診で確認し、健康な状態を維持していくよう努めていきます。