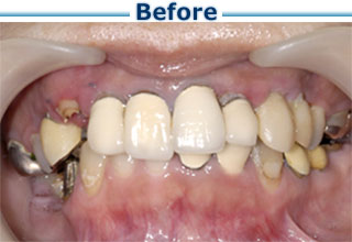
| 治療期間 | 3ヶ月 |
| 治療内容 | デュアルホワイトニング+オールセラミック |
| 治療本数 | 2本 |
| 治療費用 | デュアルホワイトニング(77,000円)+オールセラミック(110,000円×2本) |
| 治療のリスク | ・効果には、個人差があります。術後、知覚過敏が生じることがありますが、ほとんどの場合は1日~2日で治ります。 ・かみ合わせがとても強い方の場合、稀に割れてしまうことがある。 |
| 治療期間 | 2ヶ月 |
| 治療内容 | オールセラミック |
| 治療本数 | 3本 |
| 治療費用 | オールセラミック(110,000円×3本) |
| 治療のリスク | ・かみ合わせがとても強い方の場合、稀に割れてしまうことがある。 |
| 治療期間 | 3ヶ月 |
| 治療内容 | デュアルホワイトニング+オールセラミック |
| 治療本数 | 12本 |
| 治療費用 | デュアルホワイトニング(77,000円)+オールセラミック(110,000円×12本) |
| 治療のリスク | ・効果には、個人差があります。術後、知覚過敏が生じることがありますが、ほとんどの場合は1日~2日で治ります。 ・かみ合わせがとても強い方の場合、稀に割れてしまうことがある。 |
| 治療期間 | 2ヶ月 |
| 治療内容 | ジルコニアセラミック |
| 治療本数 | 3本 |
| 治療費用 | ジルコニアセラミック(165,000円×3本) |
| 治療のリスク | ・かみ合わせがとても強い方の場合、稀に割れてしまうことがある。 |
| 治療期間 | 1ヶ月 |
| 治療内容 | ジルコニアブリッジ |
| 治療本数 | 3本 |
| 治療費用 | ジルコニアブリッジ(165,000円×3本) |
| 治療のリスク | ・かみ合わせがとても強い方の場合、稀に割れてしまうことがある。 |
| 治療期間 | 1ヶ月 |
| 治療内容 | デュアルホワイトニング |
| 治療本数 | 全顎 |
| 治療費用 | デュアルホワイトニング(77,000円) |
| 治療のリスク | ・効果には、個人差があります。術後、知覚過敏が生じることがありますが、ほとんどの場合は1日~2日で治ります。 |
| 治療期間 | 6ヶ月 |
| 治療内容 | インプラント・メタルボンド・保険 |
| 治療本数 | 20本 |
| 治療費用 | インプラント(330,000円×4本)+メタルボンド(165,000円×6本)+保険治療 |
| 治療のリスク | ・インプラントと天然の歯の間に隙間ができる事がある。 ・過剰な咬合力がかかった場合に緩むことがある。 |
| 治療期間 | 2週間 |
| 治療内容 | ホームホワイトニング |
| 治療本数 | 全顎 |
| 治療費用 | ホームホワイトニング(11,000円) |
| 治療のリスク | ・効果には、個人差があります。術後、知覚過敏が生じることがありますが、ほとんどの場合は1日~2日で治ります。 |
| 治療期間 | 1ヶ月 |
| 治療内容 | デュアルホワイトニング |
| 治療本数 | 全顎 |
| 治療費用 | デュアルホワイトニング(77,000円) |
| 治療のリスク | ・効果には、個人差があります。術後、知覚過敏が生じることがありますが、ほとんどの場合は1日~2日で治ります。 |
| 治療期間 | 3週間 |
| 治療内容 | ジルコニアセラミック |
| 治療本数 | 1本 |
| 治療費用 | ジルコニアセラミック(165,000円) |
| 治療のリスク | ・かみ合わせがとても強い方の場合、稀に割れてしまうことがある。 |
| 治療期間 | 1ヶ月 |
| 治療内容 | デュアルホワイトニング |
| 治療本数 | 全顎 |
| 治療費用 | デュアルホワイトニング(77,000円) |
| 治療のリスク | ・効果には、個人差があります。術後、知覚過敏が生じることがありますが、ほとんどの場合は1日~2日で治ります。 |
| 治療期間 | 1ヶ月 |
| 治療内容 | オフィスホワイトニング |
| 治療本数 | 全顎 |
| 治療費用 | オフィスホワイトニング( 2,750円×5回) |
| 治療のリスク | ・効果には、個人差があります。術後、知覚過敏が生じることがありますが、ほとんどの場合は1日~2日で治ります。 |
| 治療期間 | 1ヶ月 |
| 治療内容 | 根の治療、オフィスホワイトニング、オールセラミック |
| 治療本数 | 4本 |
| 治療費用 | オフィスホワイトニング(2,750円×5回)+オールセラミック(110,000円×4本) |
| 治療のリスク | ・効果には、個人差があります。術後、知覚過敏が生じることがありますが、ほとんどの場合は1日~2日で治ります。 ・かみ合わせがとても強い方の場合、稀に割れてしまうことがある。 |
| 治療期間 | 2週間 |
| 治療内容 | ホームホワイトニング |
| 治療本数 | 全顎 |
| 治療費用 | ホームホワイトニング(11,000円) |
| 治療のリスク | ・効果には、個人差があります。術後、知覚過敏が生じることがありますが、ほとんどの場合は1日~2日で治ります。 |
| 治療期間 | 1ヶ月 |
| 治療内容 | デュアルホワイトニング |
| 治療本数 | 全顎 |
| 治療費用 | デュアルホワイトニング(77,000円) |
| 治療のリスク | ・効果には、個人差があります。術後、知覚過敏が生じることがありますが、ほとんどの場合は1日~2日で治ります。 |
| 治療期間 | 2ヶ月 |
| 治療内容 | オールセラミック |
| 治療本数 | 4本 |
| 治療費用 | オールセラミック(110,000円×4本) |
| 治療のリスク | ・かみ合わせがとても強い方の場合、稀に割れてしまうことがある。 |
| 治療期間 | 2ヶ月 |
| 治療内容 | オールセラミック、オフィスホワイトニング |
| 治療本数 | 3本 |
| 治療費用 | オールセラミック(110,000円×3本)+オフィスホワイトニング(2,750円×5回) |
| 治療のリスク | ・効果には、個人差があります。術後、知覚過敏が生じることがありますが、ほとんどの場合は1日~2日で治ります。 |
| 治療期間 | 1ヶ月 |
| 治療内容 | オフィスホワイトニング、オールセラミック |
| 治療本数 | 4本 |
| 治療費用 | オフィスホワイトニング(2,750円×5回)+オールセラミック(110,000円×4本) |
| 治療のリスク | ・効果には、個人差があります。術後、知覚過敏が生じることがありますが、ほとんどの場合は1日~2日で治ります。 ・かみ合わせがとても強い方の場合、稀に割れてしまうことがある。 |
| 治療期間 | 3ヶ月 |
| 治療内容 | ホームホワイトニング、オールセラミック |
| 治療本数 | 6本 |
| 治療費用 | ホームホワイトニング(11,000円)+オールセラミック(110,000円×6本) |
| 治療のリスク | ・効果には、個人差があります。術後、知覚過敏が生じることがありますが、ほとんどの場合は1日~2日で治ります。 ・かみ合わせがとても強い方の場合、稀に割れてしまうことがある。 |
| 治療期間 | 6ヶ月 |
| 治療内容 | オールセラミック、インプラント |
| 治療本数 | 24本 |
| 治療費用 | オールセラミック(110,000円×20本)+インプラント(330,000円×4本) |
| 治療のリスク | ・かみ合わせがとても強い方の場合、稀に割れてしまうことがある。 ・インプラントと天然の歯の間に隙間ができる事がある。 ・過剰な咬合力がかかった場合に緩むことがある。 |
| 治療期間 | 1ヶ月 |
| 治療内容 | ホワイトニング、オールセラミック |
| 治療本数 | 2本 |
| 治療費用 | ホームホワイトニング(11,000円)+オールセラミック(110,000円×2本) |
| 治療のリスク | ・効果には、個人差があります。術後、知覚過敏が生じることがありますが、ほとんどの場合は1日~2日で治ります。 ・かみ合わせがとても強い方の場合、稀に割れてしまうことがある。 |
| 治療期間 | 3ヶ月 |
| 治療内容 | オールセラミック・ジルコニアセラミック |
| 治療本数 | 17本 |
| 治療費用 | オールセラミック(110,000円×12本)+ジルコニアセラミック(165,000円×5本) |
| 治療のリスク | ・かみ合わせがとても強い方の場合、稀に割れてしまうことがある。 |
| 年齢・性別 | 20代・男性 |
| 主訴 | 前歯に歯を入れて欲しい |
| 治療内容 | ・部分矯正 ・接着ブリッジ ・ダイレクトボンディング |
| 治療費用 | 合計:649,000円 部分矯正: 385,000円 接着ブリッジ: 220,000円 ダイレクトボンディング: 22,000円×2 |
| 治療期間 | 10ヶ月 |
| 年齢・性別 | 30代・男性 |
| 主訴 | 前歯を綺麗にしたい |
| 治療内容 | ・ダイレクトボンディング (21|12) ・インプラント上部構造物 (ジルコニアボンド/3|3) |
| 治療費用 | ダイレクトボンディング: 22,000円×4 インプラント仮歯: 55,000円×2 インプラント上部構造物 (ジルコニアボンド): 220,000円×2 |
| 治療期間 | 約2ヶ月 |
| リスク・副作用 | 「ダイレクトボンディング」 ・経年的に変色します。 ・欠けることがあります。 ・神経のある歯では染みることがあります。 「インプラント上部構造物」 ・セラミック部が欠けることがあります。 ・固定しているネジが緩むことがあります。 |
| 治療方針 | 費用を抑えたいとのことが患者さまのご希望だったため、21|12 はかぶせ物ではなく、ダイレクトボンディングでの治療を選択しました。 埋入されているインプラント体に問題はなかったため、仮歯のやりかえと上部構造物の製作を行うこととしました。 |
| 特記事項 | 他院にて3 |3 インプラントを埋入し、仮歯まで装着していましたが、自己都合により治療を中断し、その後引っ越しをしてしまったとのことでした。前医まで通うことが困難であるとことから、当院で治療を引き継ぐこととなりました。 |
| 「ダイレクトボンディングのメリット」 ・即日で治療が終了します。(診査のための期間は別に必要です) ・歯の削る量が最小限ですみます。 ・修理が容易である。 |