部分入れ歯症例
現在の治療費と異なる場合がございます。最新の治療費は料金表をご確認ください。
| 基本情報 |
| 70歳女性 |
| 治療期間:3ヶ月 |
| 主訴:固いものが噛みにくくなってきたためどうにかしたい |
| 治療内容
部分入れ歯 |
| 特記事項
なし |
| 治療方針:
10年ほど前に左下奥歯を2本抜歯し、その後部分入れ歯を作ったが、異物感と痛みにより部分入れ歯は使わなくなったとのことでした。部分入れ歯がなくても、右側で噛めたため、食事に困ることもなかったが、数ヶ月前より固いものが噛みにくくなってきたとのことを主訴に当院へいらっしゃいました。
主訴である右側奥歯は軽度の歯周病と噛む力を長年負担してきたことにより、歯の揺れが少し大きくなっていました。お口の中の状況と左側でも噛める状況を作る重要性をご説明したところ、左側に部分入れ歯をお作りすることとなりました。 |
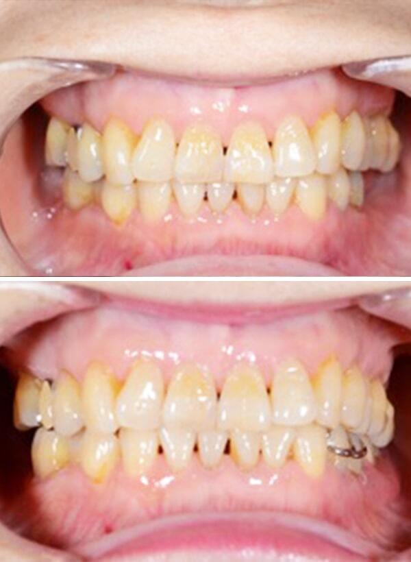
治療前後

患者様のご要望として、異物感を最小限にしたいので片側だけの部分入れ歯にして欲しいとのことでした。一番奥の歯を失っている場合、部分入れ歯の設計は両側の歯に支えを求め、部分入れ歯を動かなくしていくことが学問的に推奨されていることです。ただし、今回は左の歯が健康な状態であったことから片側だけでの設計で部分入れ歯をお作りすることとしました。
治療中

片側だけで設計する部分入れ歯は噛んだ時に部分入れ歯が動きやすく、支えている歯と歯ぐき(顎堤)への負担が大きくなりますので、それを最小限にする工夫が必要です。まずは部分入れ歯が変形しにくく、薄く仕上げられる金属床を選択しました。
さらに、支える歯の形を修正することで部分入れ歯の動きを制限するよう配慮しました。結果として、患者さんはすんなりと部分入れ歯を受け入れることができ、大変ご満足いただけました。
治療前
治療後

歯周病治療も行い、主訴であった右側の歯周病も改善され、現在は3ヶ月おきの定期検診にいらっしゃっています。
部分入れ歯は装着より6年3ヶ月が経過しました。その間に歯ぐき(顎堤)の適合精度の修正を2回行いましたが、それ以外、支える歯にも問題はありません。
※価格は税込です。
部分入れ歯の種類