CASE18
口腔内スキャナーを用いた症例

審美症例

現在の治療費と異なる場合がございます。最新の治療費は料金表をご確認ください。
基本情報
20代女性
治療回数 2回
主訴 矯正治療中、虫歯ができた
治療費 ジルコニア インレー ¥44,000(税込)
治療方針:矯正装置(ブラケット)が装着されていたため、精密な型採りが難しいことが予想されました。そこで、口腔内スキャナー(iTero 5G, Align社製)を使用して、光学印象を採り、つめ物(インレー)を製作し、装着する方針としました。
治療内容 虫歯が大きく、コンポジットレジンではマイクロギャップが生じ、二次的な虫歯リスクが高くなるため、インレーで治療しました。

治療前後

 

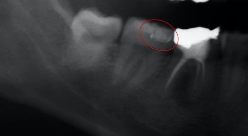
写真(レントゲン写真)

つめ物の下が虫歯になっていました(赤丸部分)。なお、手前の歯は根が膿んでいたため、抜歯をして、矯正治療を行うこととしました。

口腔内スキャナーによる型取り

製作する歯だけでなく、噛み合う側の歯とかみ合わせも撮影します。ブラケットがあっても、正確な撮影が可能でした。
通常の型採りではブラケット周りに型採りの材料が絡みつき、外すときにちぎれてしまったり、変形してしまったりして不正確なものになります。口腔内スキャナーでは、そのような事態が生じないため、矯正中でも問題なく治療を行うことが可能です。
口腔内スキャナーでは噛み合う側との距離を計測できます。製作に必要な厚みを確保するため、歯の削りすぎ・削らなさすぎを防ぐことができます。

 

 

 

 

 

審美歯科

総合的な歯科検診の
ご相談・ご予約はこちらから

TOP
初めての方へ
当院の特徴
料金表
よくあるお悩み
ドクター紹介
施設基準
診療案内
症例
アクセス
お問い合わせ
WEB予約

©️ 秋津駅前すぐの歯医者・秋津歯科・矯正歯科

・平日 8:30-17:00 ・初診最終受付16:00
・土  8:30-17:00 ・再診最終受付16:30
休診日:水・日・祝