インプラント・
義歯(入れ歯)症例
現在の治療費と異なる場合がございます。最新の治療費は料金表をご確認ください。
| 基本情報 |
| 50代男性 |
| 初診日:2015年6月11日 |
| 主訴:歯が痛くて入れ歯ができない |
| 全身的既往歴:特になし |
| 歯の喪失理由:ペリオ・カリエス |
| その他:歯科恐怖症 |
| 所見 |
| 歯が痛くて入れ歯が入れられないことを主訴に来院されました。全身的には特記事項はありませんが、過去の歯科治療にて疼痛性ショックを経験し、それ以来、歯科に対して恐怖心があり、このような状態であったが、歯科医院より足が遠のいてしまったとのことでした。 |
初診時口腔内写真
義歯無し

不良なクラウンやむし歯が多数認められます。またプラークコントロールも悪く、歯石の沈着、歯肉の腫脹・発赤も認められます。
下顎の前歯は上の前歯がないため伸び上がり、歯並びが崩れてしまっています。
義歯有り

上顎にのみ部分入れ歯が装着されていました。ただし、噛み合う下顎には部分入れ歯が装着されていないため、見た目のために装着しているとのことでした。
下顎義歯は7〜8年前に製作したとのことですが、支台歯であった下顎右側5番および左側4番が折れてから使用していないとのことでした。左側を使い、なんとか食事をしている状態でした。
初診時検査結果

ポケットチャートとデンタルです。中等度から重度な歯槽骨の吸収が認められ、全顎的に歯周ポケットも深く、動揺が認められました。部分入れ歯のクラスプがかかっている左上犬歯の状態が良くありませんでした。
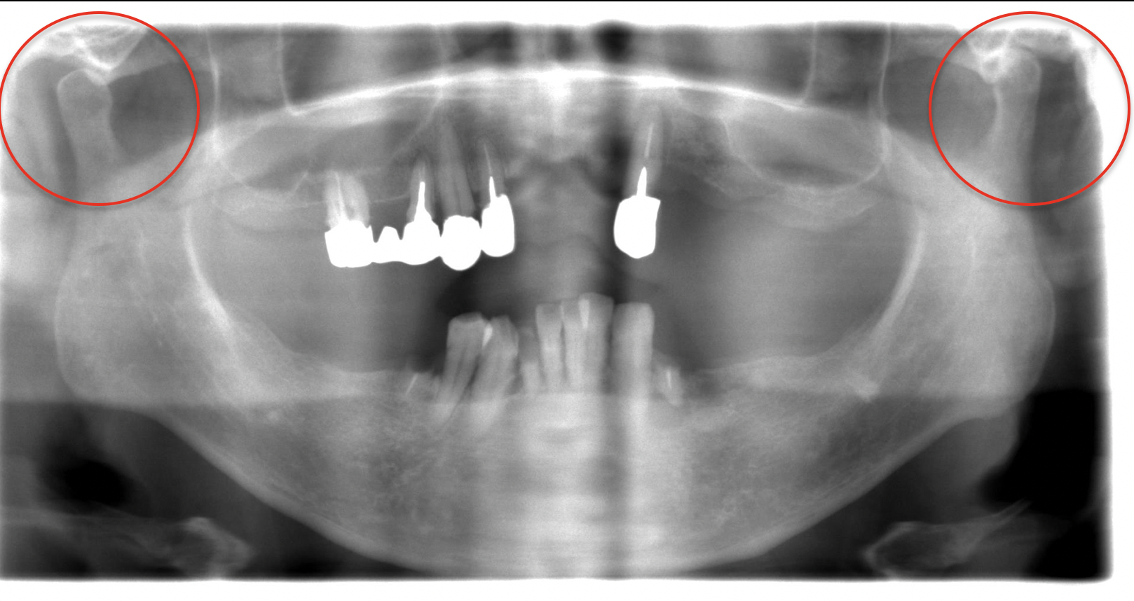
初診時パノラマ

下顎臼歯部の顎堤は吸収が少なく、十分な高さがありますが、その一方、上顎の欠損部顎堤は大きな骨吸収が認められます。
また、左右の下顎頭は、その位置に左右差が認められます。その運動が連動しておらず、左側において運動が阻害されていることが考えられます。ただし、視診・触診より開口障害や疼痛、関節雑音は認められませんでした。
問題点
● 歯科恐怖症
● 噛み合わせ:左側へ偏位
● 咬合平面の乱れ
● 中等度〜重度歯周炎
● 進行した虫歯や根尖病変
● 左右アンバランスな歯の残り方
● 歯と歯が噛み合う部分が少ない
| 今回の治療に対して、歯科治療に対して恐怖があるため外科的処置が最小限となる治療により、1)人前で恥ずかしくない見た目になりたい、2)噛めるようになりたいという2点を希望されました。噛み合わせがズレていることや歯並びが乱れていることから全顎的な噛み合わせの再構成が必要になります。外科処置を最小限にすることより、歯のない部分は部分入れ歯で治すこととしました。 |
部分入れ歯の設計原則
1) 動かない 支台歯・顎提の保存、機能的考慮
口の中でグラグラと動く部分入れ歯では噛むことはできません。また、部分入れ歯が噛むたびに動くと歯ぐきにダメージがかかりますし、支えている歯にも大きな負担がかかり悪影響を及ぼします。
2) 壊れない 長期使用に耐えうる強度
壊れてしまったら使うことができません。部分入れ歯に限らず、口の中で使用する装置は噛む力に耐えうる強度で製作する必要があります。
3) 汚さない 支台歯への予防学的考慮
部分入れ歯自体に汚れがつかないことも大切ですが、残っている歯が部分入れ歯を装着することで汚れやすくなってしまってはいけません。
4) 気にならない 装着感・審美的配慮
見た目が悪い、喋りにくい、装着していて異物感があるとすれば、気持ちよく部分入れ歯を装着することはないでしょう。「入れ歯だから」と諦めずに、気にならない部分入れ歯を目指しています。
これらの原則を念頭に上下顎のイメージを作ります。
下顎は左右ともに奥歯を失っていますが、歯ぐきがしっかりしていますし、部分入れ歯の支えとなる歯は歯周病が軽度なので、一般的な金属床部分入れ歯で対応できるものと診断しました。
問題は上顎です。左上3番は保存不可のため、残存歯の配置が右側のみとなります。右側に強固な装置を設計しても、部分入れ歯は噛んだ時に左側へ大きく沈み込むことが容易に想像できます。
また、そのような部分入れ歯の動きを無理やり止めようとすれば、支えている歯に過剰な力がかかり、歯を失う時期が早まる可能性が高くなります。
そこで、上顎ではインプラントを併用し、部分入れ歯の動きが最小限になる設計を立案しました。 |
Treatment Plan
● 抜歯(左上3番、右下1番、左下1・2番)
● 治療用部分入れ歯装着
● 歯周初期治療
● 根管治療(右上6・4・2番、右下5番、左下4番)
● 再評価
● インプラント2本埋入(左上)
● 最終補綴制作(連結クラウン、ブリッジ、根面板、金属床部分入れ歯)
| 左上3、右下1・2、左下1番は抜歯としました。治療用義歯を装着し、その後初期治療を開始します。右上6・4・2、右下5、左下4番は根管治療をし、三角で示しました歯は根面板としての利用を試みました。
左上に2本のインプラントを埋入することを計画し、治療用義歯を改変後、最終補綴装置(上顎は連結クラウン+金属床部分入れ歯、下顎はブリッジ+金属床部分入れ歯)を製作することとしました。 |
治療のリスク
インプラント埋入手術
・上顎洞に近い部分になるため、インプラントが上顎洞に落ち込む可能性があります。
・手術後は腫れや痛みにより使用中の部分入れ歯が装着できなくなる可能性があります。
・治療期間が長くなります。
・保険適応外のため、高額になります。
根面板
- 歯の丈が短いため、歯磨きが難しくなります。
- 噛む力を支えるため、歯が割れる可能性があります。
- 根面板を支点として部分入れ歯が動くことがあります。
- 部分入れ歯が薄くなるため、割れることがあります。
クラウン
- 歯周病の状況より連結が必要になります。
- 連結すると、どれか1本の歯にトラブルが生じたら全てをやり直す必要があります。
- 金属製のクラウンは汚れが付きやすいです。
- 連結本数が多くなると適合精度が悪くなります。
ブリッジ
- ポンティック(歯のない部分)の下にものが詰まることがあります。
- 連結するため、支えとなる歯のうち1本でもトラブルが生じたら全てをやり直す必要があります。
- 金属製のクラウンは汚れが付きやすいです。
- 連結本数が多くなると適合精度が悪くなります。
金属床部分入れ歯
インプラント埋入位置
| 歯周初期治療が終了し、右上の歯は保存可能であったため、計画通り左上に2本のインプラントを埋入していくこととしました。
埋入位置については、天然歯での支えは右上6番の根面板、右上3番がメインとなります。噛む力をできるだけ大きな四角形で支えるためには、左側は3番と7番へのインプラント埋入が有効だと考えられました。 |
CT画像

それぞれの歯の位置でのクロスセクショナル画像です。インプラントは噛む力を垂直に受け止められるように埋入しますが、3番部では口蓋側(内側)に位置することが予想されました。
また、7番部は骨が極めて薄く、サイナスリフトが必要であることから、インプラント埋入位置は4番と6番としました。
インプラント埋入手術

CT撮影したロウ義歯より、サージカルステントを製作し、左上4番、6番部にインプラントを埋入いたしました。
最終補綴製作前

最終補綴製作前の治療用部分入れ歯装着時の口腔内写真です。咬合平面、咬合高径に問題がなく、また当初左側にズレていた噛み合わせも是正されました。
インプラント部につきましては、ヒーリングアバットメントでも十分に患者の満足度が得られていたため、そのままの状態で最終補綴装置を製作することとしました。
金属床部分入れ歯

上顎では装着感に考慮して口蓋を覆わず、強度補強のための大連結子(口蓋を唯一覆う横に走る金属部)は口蓋の中でも感覚が鈍い部分に薄く金属を設定しました。
下顎では左右をつなげる金属部分を歯ぐきから十分な距離を取るようにしました。
義歯装着前

歯周病が進行して伸び上がっていた下顎の前歯はブリッジにすることで歯並びを改善しました。全ての歯にクラウンが装着されていますので、2次的なむし歯にならないようにセルフケアとプロフェッショナルケアを強化していくことが必要になります。
なお、部分入れ歯を装着しない状況だと右の前歯のみが噛み合い、上の歯が揺れてくる可能性が高いため、就寝時も部分入れ歯を装着するよう指示しています。
義歯装着後2年

特に問題は生じておらず、良好な経過をたどっております。メンテナンスは3ヶ月ごととし、歯周病の状況、噛み合わせ、入れ歯の緩み、アバットメントの緩みを毎回確認しています。現状では大きな変化はなく、経過は良好です。
部分入れ歯にインプラントを併用することで、部分入れ歯が動きにくくなるため、噛みやすくなることと、残っている歯や歯ぐきを守ることが可能となる有効な治療方法です。
所見
今症例で経験したimplant-supportedパーシャルデンチャーは経済的・外科的に制限がある患者に対して、一定の満足が得られる治療であることが明らかです。
治療の費用 (税込)
・インプラント ¥330,000×2
・金属床部分入れ歯 ¥495,000×2
・根管治療、根面板、クラウン、ブリッジ 保険診療
インプラント
部分入れ歯について