| 治療期間 | 2ヶ月 |
| 治療のリスク | 失った歯を支台とするため、健康な歯を削る場合もある。 |
| 治療費用 | 保険治療 |
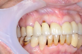
5年ほど前に部分入れ歯を作ったとのことでしたが、当時から入れ歯が外れやすく、ずっと入れ歯安定剤を使用しているとのことでした。この数ヶ月、上の前歯がグラグラしてきたので、全体的に治療をしたいとのことで当院にいらっしゃいました。
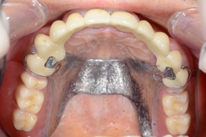
上の歯は全ての歯で歯周病が重度に進行し、下の歯は右下の銀歯の中がに次的な虫歯により残すことは難しい状況でした。保存が難しい歯を抜いて、上顎は総入れ歯を、下顎は部分入れ歯を新しく作ることとなりました。 ただし、上顎は歯を抜いてしまってから総入れ歯を作り始めたら、さらに入れ歯が外れやすくなってしまいますし、見た目も悪くなってしまいます。そこで、今回は歯を抜くと同時に新入れ歯を装着する、即時義歯という手法により治療を進めることとなりました。
通常の入れ歯作りでは人工の歯を並べた状態での試し入れが可能です。そのステップを経ることにより見た目やかみ合わせの確認が可能になります。一方、即時義歯では歯がある状態で入れ歯を作っていきますので、試し入れができず、一発勝負になります。歯周病では歯がグラグラしているので、型採りの時に歯の位置がズレてしまうかもしれません。歯の位置関係を診断しながら、そして新しい総入れ歯を装着した後の患者さんの笑顔をイメージしながら人工の歯を並べます。
さらに即時義歯では歯を抜いた後の歯ぐき(顎堤)の治り具合を想定していく必要があります。
上下の入れ歯が完成し、当日は予定していた歯を抜き、予定通り入れ歯を装着して治療を終了しました。患者さんとしては不安感が強かったと思いますが、上顎の総入れ歯も落ちることなく、笑顔でご帰宅いただけました。
現在、装着から6年5ヶ月が経過しましたが、上顎の総入れ歯は大きな手直しもなく、今もご使用いただいています。入れ歯安定剤はもちろん使っていません。下顎は残っている歯のムシ歯治療をしましたが、部分入れ歯は問題なくご使用いただけています。
ただし、入れ歯の歯は噛むことで磨り減ってしまいます。メンテナンスのたびにかみ合わせの調節をしていますが、全体的に高さが低くなってきていることもあり、そろそろ新しく作り直しが必要ではないかと患者さんと相談しています。
| 治療期間 | 3ヶ月 |
| 治療のリスク | 失った歯を支台とするため、健康な歯を削る場合もある。 |
| 治療費用 | 35万 |
患者さんは70歳(初診時)女性です。
10年ほど前に左下奥歯を2本抜歯し、その後部分入れ歯を作ったが、異物感と痛みにより部分入れ歯は使わなくなったとのことでした。部分入れ歯がなくても、右側で噛めたため、食事に困ることもなかったが、数ヶ月前より固いものが噛みにくくなってきたとのことを主訴に当院へいらっしゃいました。
主訴である右側奥歯は軽度の歯周病と噛む力を長年負担してきたことにより、歯の揺れが少し大きくなっていました。お口の中の状況と左側でも噛める状況を作る重要性をご説明したところ、左側に部分入れ歯をお作りすることとなりました。
患者様のご要望として、異物感を最小限にしたいので片側だけの部分入れ歯にして欲しいとのことでした。 一番奥の歯を失っている場合、部分入れ歯の設計は両側の歯に支えを求め、部分入れ歯を動かなくしていくことが学問的に推奨されていることです。ただし、今回は左の歯が健康な状態であったことから片側だけでの設計で部分入れ歯をお作りすることとしました。
片側だけで設計する部分入れ歯は噛んだ時に部分入れ歯が動きやすく、支えている歯と歯ぐき(顎堤)への負担が大きくなりますので、それを最小限にする工夫が必要です。まずは部分入れ歯が変形しにくく、薄く仕上げられる金属床を選択しました。
さらに、支える歯の形を修正することで部分入れ歯の動きを制限するよう配慮しました。結果として、患者さんはすんなりと部分入れ歯を受け入れることができ、大変ご満足いただけました。
歯周病治療も行い、主訴であった右側の歯周病も改善され、現在は3ヶ月おきの定期検診にいらっしゃっています。
部分入れ歯は装着より6年3ヶ月が経過しました。その間に歯ぐき(顎堤)の適合精度の修正を2回行いましたが、それ以外、支える歯にも問題はありません。
| 治療期間 | 6日間 |
| 治療のリスク | 失った歯を支台とするため、健康な歯を削る場合もある。 |
| 治療費用 | 40万 |
「上下の入れ歯をなくした。なんとかしてくれ。」と当院に飛び込んできた患者さんです。
お口の中を見ると、上下の歯が噛み合うところがなく、これでは食事をすることができません。前歯もないので、見た目にも問題があります。
詳しくお口の中を診察すると、歯周病が進行している歯もありましたが、何よりも入れ歯を作ることが優先されたため、大急ぎでの入れ歯作りをしました。
初診日に予備的な型採り、翌日午前に最終的な型取り、午後にかみ合わせの記録採りと見た目の確認をし、初診日から6日後に新しい部分入れ歯を上下に装着しました。
患者さんの協力もあったため、短期間での治療が可能となりました。
| 治療期間 | 3ヶ月 |
| 治療のリスク | 失った歯を支台とするため、健康な歯を削る場合もある。 |
| 治療費用 | 部分入れ歯 40万円、かぶせ物(メタルボンド)12万円×2本 |
患者さんは76歳(初診時)女性。
5年前に下顎に部分入れ歯を作ったが、最近硬いものが噛めなくなったとのことを主訴に当院に来院されました。
お口の中は上顎は全ての歯が健康な状態で保たれていましたが、下顎は左側奥歯は4本、右側奥歯は2本失っている状態でした。
部分入れ歯の支えとなっていた右側の銀歯が装着されている歯は歯ぐきに問題は見られませんでしたが、グラグラしている状態でした。
この患者さんは部分入れ歯を安定させるためにはやや難しい歯の失い方をしていました。その理由は下顎の入れ歯は噛む力を負担する歯ぐき(顎堤)の面積が上顎よりも狭位からです。その狭い歯ぐき(顎堤)で歯から伝わる大きな力を受け止めなければならず、歯ぐき(顎堤)に痛みが生じやすく、また歯ぐき(顎堤)が減りやすくなります。
そこで、インプラントを併用した部分入れ歯をご提案しましたが、外科的な処置は好まれず、通常の部分入れ歯をお作りすることとなりました。
部分入れ歯をお作りする上で、その前処置として右下の銀歯のやりかえを行いました。一番後ろの歯は揺れていましたので、手前の歯と連結したかぶせ物とし、歯と歯が噛み合う場所を失うことなく、部分入れ歯に加わる力に負けないような状態を作りあげました。
ただし、かぶせ物を装着してしまうと、今までの部分入れ歯のバネ(クラスプ)が合わず、使えなくなってしまうため、かぶせ物と新しい部分入れ歯は同時に装着することとしました。
新しい入れ歯は金属床とし、左側のバネ(クラスプ)は見た目を考慮した形態としました。噛んだ時に部分入れ歯が変形しないため、歯ぐき(顎堤)への負担は軽減されていると思います。 右側と左側では歯の残っている右側が食べやすいとのことですが、左側でも肉や魚といった普通のお食事はできるとのことです。
ただし、歯ぐき(顎堤)への負担は大きくなる歯の失い方のため、定期検診では部分入れ歯の適合精度のチェックは欠かさず行っています。装着して5年7ヶ月経過しましたが、左側の適合の修正を一度行いましたが、それ以外大きな問題はなく経過しています。
部分入れ歯の構造 メタルボンドクラウン
| 治療期間 | 6ヶ月 |
| 治療のリスク | 失った歯を支台とするため、健康な歯を削る場合もある。 |
| 治療費用 | 部分入れ歯50万円、かぶせ物(メタルボンド)12万円×5本・(白金加金)10万円×1、アタッチメント代20万円 |
15年ほど前に作った部分入れ歯の支えの歯が取れ、入れ歯が安定しないことを主訴に当院へいらっしゃいました。
患者さんの治療に対して二つのご希望がありました。一つ目は「見た目」、二つ目は「発音」でした。人前でしゃべることが多い職業をされていたため、部分入れ歯特有のバネ(クラスプ)がキラリと見えるのは避けたい、そして滑舌良く喋るために口蓋(お口の上壁)を覆いたくないとのことでした。
これらのご希望を聞き、まずご提案したのはインプラントによる治療です。インプラントは取り外しではありませんので、バネ(クラスプ)をかける必要もなければ、口蓋(お口の上壁)を覆うこともありません。
患者さんにインプラント治療のメリットはご理解いただけましたが、金銭的条件より部分入れ歯での治療を行うこととなりました。
見た目への対策として、金属のバネ(クラスプ)を使用せずに部分入れ歯を支えるために歯冠外アタッチメントを用いました。歯冠外アタッチメントとはかぶせ物の脇から装置を伸ばし、その凸部が入れ歯の凹部へ入り込む装置です。
このアタッチメントの製作には精密な技工操作が求められるため、支えとなる歯の削り方・型採りの状態・アタッチメントの設置位置など、技工士との連携が欠かせません。
発音への対策として、部分入れ歯の左右をつなぐ金属床部の位置に配慮しました。発音には舌が重要な役割を果たしています。発音時に舌が触れる場所は、「サ行」ならここ、「カ行」ならここ、というように音によって異なります。
また、口蓋の歯の神経の分布により感覚が異なります。感覚は前方部(前から3番目の犬歯くらいまで)では鋭く、中間部が鈍くなり、後方部(第1大臼歯より後ろ)ではまた鋭くなります。このことより金属床は中間部に位置させることが望ましいと言われています。
これらの対策を講じた部分入れ歯に患者さんからはご満足いただけました。ただし、アタッチメントを用いた部分入れ歯では歯ぐき(顎堤)の変化を見逃すと、アタッチメントが破損したり、支える歯のトラブルが生じやすいという欠点もあります。
そう言った観点からも継続的なメンテナンスが重要であることをお伝えし、半年に一度の定期検診で状態をチェックしています。装着して4年が経過しましたが、大きな変化もなく、安定した状態を維持しています。
「見た目」や「発音」といった五感に関わりの大きなものの評価は最終的に患者さんの感覚に委ねることになります。教科書的とも言える基本的なことを忠実に守り、診療を進めることが近道であることは間違いありません。
部分入れ歯とインプラントは
| 治療期間 | 8ヶ月 |
| 治療のリスク | 失った歯を支台とするため、健康な歯を削る場合もある。 |
| 治療費用 | 上顎部分入れ歯40万円、かぶせ物12万円×10本、下顎総入れ歯50万円 |
20年前に作った入れ歯が合わず、食べにくいということを主訴に来院された72歳(初診時)男性です。
お口の中を診査すると、歯周病と虫歯がかなり進行し、下の歯は全て、上の歯は奥歯が残しことが難しく、残せる歯は上の前歯と小臼歯の合計7本といった状況でした。
患者さんからの治療に対する要望は噛めるようなりたい、という一点でした。ただし、インプラントは絶対に嫌、とのことでした。治療計画を立てる上で問題となったのは上下の歯の数の違いです。上顎には飛び石状態ではありますが7本の歯が残りますが、下顎は0本。
上顎の歯と部分入れ歯から加わる噛む力に対して下顎の歯ぐき(顎堤)が耐えられるか、ということが懸念事項として挙げられました。
患者さんの要望もあり、上顎はブリッジと金属床部分入れ歯で、下顎は金属床総入れ歯で治していくことを目標としました。まずは抜歯や虫歯の処置などの前処置を進めながら、仮歯や仮の入れ歯を作ることとなりました。仮の入れ歯でしっかりと噛めなければ、治療計画の見直しをすることを事前に患者さんとは同意した上で治療を開始しました。
治療開始し、上顎の仮入れ歯をお入れした後は違和感を訴えていましたが、徐々に慣れてきたことと、噛むことには問題がなかったことから当初の計画通り治療を進めることとしました。最終の入れ歯では上顎が金属床となり、口蓋(お口の上壁)の違和感もなく、噛むことにも問題がない状態となりました。
現在は入れ歯を装着してから5年10ヶ月が経過していますが、その間3ヶ月ごとの定期検診に欠かせずいらっしゃっていただいています。
金属床義歯(総入れ歯)
| 治療期間 | 8ヶ月 |
| 治療のリスク | 失った歯を支台とするため、健康な歯を削る場合もある。 |
| 治療費用 | 保険診療:抜歯、根の治療、入れ歯 自費診療:ノンメタルクラスプ義歯(下顎のみ 40万円) |
本症例では、クラスプをかける歯の歯ぐきが左右とも少し下がっていたため、ノンメタルクラスプのピンク色の樹脂で歯ぐきのラインも綺麗に揃いました。前歯部の異物感も審美性も解消され、患者様からは高い満足を得ることができました。
左下には虫歯で真っ黒になった歯がありましたが、これらは虫歯の進行がひどく、残すことができませんでした。右下の折れてしまっていた歯は根の治療をして、歯を残すこととしました。
クラスプ(部分入れ歯を外れないようにするバネ)に金属を使用しなかったため、審美性に優れた入れ歯を製作することができました。
右上、左下の歯は虫歯が進行して、根だけの状態になっていました。左上のブリッジ(レントゲン写真で真っ白に写っているもの)の下は虫歯が進行し、一番奥の歯は歯周病でグラグラな状態でした。 検査の結果、上下とも奥歯を残すことは難しい状態となっていました。
歯を抜いた後、まずは保険診療でレジン床の部分入れ歯を作りました。レジン床は強度の観点より幅と厚みを確保しなければなりません。そのため、前歯部は舌側を大きく覆う必要があり、異物感が大きく、発音にも影響が出ることがあります。
また、クラスプ(いわゆるバネ)は金属になるため、審美性に劣ります。
抜歯した部位が治り、また患者様から見た目と異物感に対する訴えがあったため、ノンメタルクラスプ義歯を製作することとなりました。金属床のため、前歯部は薄く、幅を狭くできました。歯ぐきを覆う必要がないため、歯周病の観点からも有利と言えます。
クラプスは樹脂を使用しているため、歯ぐきと同じピンク色です。樹脂のため、金属と比較すると変形しやすく、またその後の調整が難しいことがデメリットになります。
| 治療期間 | 1ヶ月半 |
| 治療内容 | 金属床義歯 |
| 治療費用 | 550,000円 (2023年7月現在) |
上の総入れ歯を作り直したいという主訴でいらっしゃいました。
使用中の入れ歯は、緩くて安定剤を使用している状況でした。
患者さまは会話に支障がない新たな入れ歯を使用することがご希望でした。
右上7番~左上7番
・総入れ歯の土台となる歯ぐきや骨が衰えて変形してしまう場合、それまでの金属床義歯が合わなくなる為、修理が必要になります。
・修理をした場合、薄かった床に厚みを持たせて調整する為、違和感に繋がる場合があります。
・定期的な修理で済む範囲を超えた場合は、作り直しになります。
お口の中の型をとり、歯や歯ぐきの形態、筋肉の走行部位、かみ合わせの診断を模型にて行います。
患者さま専用のトレーを製作し、それを用いて精密な型どりを行います。
次に入れ歯のかみ合わせの記録を取ります。その次に入れ歯の見た目とかみ合わせの最終確認を行います。
そして金属床義歯が完成します。新しい入れ歯を入れた当日は擦れて痛みが出ます。翌日と1週間後に来院してもらい、調整を行いました。
患者さまの希望は上の入れ歯のみを作り直すことでしたが、本来であれば下の入れ歯も製作したほうがいい症例です。ただ下の入れ歯は他医院で1年半前に製作したものだったので、作り直しは希望されませんでした。
現状のお口の中は、左下にはブリッジがありますが、右下は欠損なのでかみ合わせが不安定な状態です。
ですが、上の入れ歯に金属床義歯を使用することで、保険診療の入れ歯より安定が認められます。
入れ歯専用ブラシと洗浄剤を用いて、毎日お手入れしていただくことをお伝えしました。
下顎には残存歯があるので、失わないように今後メンテナンスを行います。現在は左下の歯の歯周ポケットが4~5ミリあり、歯ぐきから出血する状態で炎症があります。ご自宅ではやわらかめの歯ブラシを用いて、ブラッシングを行い、歯周病治療をして改善していきたいと思います。