歯を支えている組織を歯周組織といい、歯ぐき・歯根膜・歯槽骨・セメント質の4つに分けられます。
これらの部分に起こるさまざま症状のことを歯周病と呼ぶのです。
現代では歯周病は国民病とも言われており、成人の80%以上が何らかの症状が見られる状況です。
しかも、5~14歳の若い人の3分の1にも初期の症状が見られるのです。
歯を失う原因として歯周病が最も多いと言われていますので、歯周病についての正しい知識が必要とされています。



歯周病の初期段階を歯肉炎と言います。
これは歯ぐきが炎症を起こしている状態で、症状としては歯ぐきの腫れや歯磨きの時の出血などです。
初期段階ではあまり痛みがないので大丈夫だろうと治療しない人が多いようですが、
放置していると症状が悪化して次の段階へと進みます。
ある程度症状が進行した症状を歯周炎と言い、次のような症状が現れてきます。
歯周病は「人類史上最大の感染症」としてギネス記録に認定されています。
そして、日本では成人の80%が歯周病に罹患しているとも言われ、40歳以上で歯を失う原因の第1位は歯周病です
(厚生労働省 歯科疾患実態調査より)。
虫歯と違って歯周病は1本の歯だけが悪くなるのではなく、全ての歯に広がり、
さらに、歯周病菌は血管の中に入り込み、全身を駆け巡ります。
動脈硬化などの循環器系疾患や糖尿病、認知症にも重大な影響を与えると言われています。
さらに厄介なことに、歯周病の特徴は痛みがなく、徐々に進行していくため、自覚症状が出にくいことです。
自覚症状がないため、ついつい放ったらかしになりやすいのが歯周病ですが、
入れ歯やインプラントではなく、ご自分の歯で一生過ごしていきたい方、歯周病に要注意です。
歯周病の原因は歯周病菌による感染です。
歯周病菌は歯周ポケット(歯と歯ぐきのすき間)から体内に侵入して、
歯を支えている骨を破壊していきます。
実は歯周病は歯ぐきの病気ではなく、骨の病気なのです。
悪さをする歯周病菌はバイオフィルム(歯垢、プラークとも呼ばれています)として存在しています。
歯周病の発症・進行を防ぐためには、この細菌の巣を取り除くことです。
もし、細菌が「0」、つまり無菌状態であれば、歯周病にはなりません。
また、歯周病の発症・進行・病状に悪影響を及ぼす因子がたくさんあります。
歯周病は生活習慣と密接に関係していますので、
日常生活の仕方により歯周病を発症したり、
重症化したりすることもあります。
さらに、風邪をひきやすい人がいるように歯周病になりやすい人がいます。
それは歯周病菌に対する耐力(免疫力)が生まれつき低いからです。
このように歯周病の原因は細菌ですが、
それを修飾する因子は一人一人異なります。
そのため、治療の方針も一人一人異なってきます。
担当の先生・衛生士と相談をしながら、
しっかりと治療方針を決めていきましょう。
歯周病治療は生活と密接に関連しているため、
歯根の形が複雑なほど、
歯周ポケットが深ければ深いほど処置は困難になります。
ただし、歯周ポケットの中を直接見て、
歯石が取りきれているかを確認することができません。
奥歯のような複数の根で支えられている歯(複根歯)で歯周ポケットが
6mm以上の場合、歯石除去率は38%程度しかないとの報告があります。
このように初期治療には限界があるため、
歯周病を治療する上では外科的な方法を選択することがあります。
初期治療は盲目下での処置のため限界があることは前述のとおりです。
それを解消させるには見える状態(明視野)で処置をすることです。
歯ぐきを開く手術ということです。
長い時間をかけて治療した歯周病が再発しないよう、
健康な状態を維持していくことが最も大切なことです。
歯周病は自覚症状がなく進行しますので、
定期的なチェックは欠かせません。
再評価の時に設定した治療のゴールによって、
メンテナンスへの考え方も変わります。
メンテナンスを開始するときの歯ぐきの状態や全身状態は
患者様によって異なります。
担当医を相談しながら、メンテナンスの方針を決めていくことになります。
当院におけるメンテナンスの間隔は基本を3ヶ月としています。
その理由は、多少の炎症や磨き残しがあったとしても、
歯を支える骨にまで影響が生じることが少ないという報告があるからです。
3ヶ月ごとにお口の細菌を撃退して、歯周病菌が再び増えることを抑制します。
しかし、メンテナンスに通い続けていても再治療が必要になることがあります。
多少の不安を残した状態でメンテナンスに入った場合では、その可能性が高くなります。
再治療への判断基準は以下の通りです。
横にスクロールできます →→→
| 回数 | 費用 (初診+検査) |
2回目以降 (治療内容で変化します。) |
PMTC | 定期検診 | ||
![]() |
軽度 | 4 | 2970円~ | 460円~2000円 | 5250円 | 3550円 |
![]() |
中等度 | 11 | 2970円~ | 460円~2000円 | 5250円 | 3550円 |
![]() |
重度 | 20 | 2970円~ | 460円~2000円 | 5250円 | 3550円 |
歯ぐきのキワに沿って見られる黄褐色のものが歯石です。
歯のクリーニング
歯周病の予防
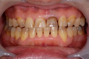
重度高血圧により降圧剤を服用されていました。
歯ぐきのキワ、歯と歯の間に磨き残しが認められます。
歯ぐきの腫れが治り、しっかりと歯磨きができています。
治療内容:
内科担当医と連携を取り、服用薬を変更。
| 年齢・性別 | 50代 女性 |
|---|---|
| 主 訴 | 歯がグラグラする スケーリング |
| 治療内容 | 歯石取り |
| 治療費 | 保険 約2000円 |
| 治療期間 | 2回 |
| リスク・副作用 | しみる可能性がある 歯が長くなったように感じる |
| 年齢・性別 | 70代 女性 |
|---|---|
| 主 訴 | 歯がグラグラする スケーリング |
| 治療内容 | 歯石取り |
| 治療費 | 保険 約2000円 |
| 治療期間 | 2回 |
| リスク・副作用 | しみる可能性がある 歯が長くなったように感じる |