ガムピーリング

目次

  1. ガムピーリングとは
  2. ガムピーリングのメリット・デメリット
  3. こんな方におすすめ
  4. 施術を受けられない方
  5. ガムピーリングの費用・所要時間
  6. ガムピーリングの施術の流れ
  7. ガムピーリングの症例をご紹介

ガムピーリングとは

tel-1

歯ぐきのメラニン色素除去の事を言います。

フェノールという薬剤を歯ぐきに塗る事で、歯ぐきの黒ずみをピンク色の歯ぐきに戻すのに効果的な審美治療です。

 

 

ガムピーリングの
メリット・デメリット

メリット

  1. 歯ぐきが健康的なピンク色に改善される
  2. 短時間かつ痛みが少ない
  3. 効果が長期間持続する
  4. 安全性が高い

デメリット

  1. 効果には個人差がある
  2. 一時的に痛みや腫れが出る事がある
  3. 再度色素沈着する可能性がある
  4. 歯ぐきの変色(メタルタトゥー)には
    適さない

こんな方におすすめ

  • タバコや食生活で、色素沈着した歯ぐきの色を明るくしたい
  • ホワイトニングに加え、さらにお口元の美しさを際立たせたい
  • セラミックを入れたのに口元が明るく見えない気がする
  • 歯ぐきが黒くて淡い色の口紅が似合わない
  • 大きいイベントを控えている
  • 接客業や人に見られる職業をしている

施術を受けられない方

  • フェノール、アルコール類にアレルギーがある方
  • 歯肉炎、歯周病などにより歯肉に炎症がある方

ガムピーリングの費用・
所要時間について

費用

※価格は全て税込の金額です。

片顎5,500円
上下顎11,000円

所要時間

所要時間30分

注意事項

  • 当日〜1週間くらいは刺激の強い飲食・喫煙をお控え下さい
  • 痛みに対する反応は個人差があり、火傷をしたようなヒリヒリ感を感じることもあります
  • 1〜3日間くらいは歯ぐきが白っぽくなりますが、自然に表層が剥がれて再生され1週間後くらいには健康的でピンク色の歯ぐきになっていきます
  • 個人差もありますが、生活習慣によっては後戻りすることもあります

ガムピーリングの
施術の流れ

ガムピーリングの症例を
ご紹介

現在の治療費と異なる場合がございます。

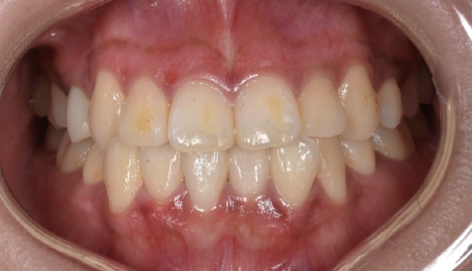
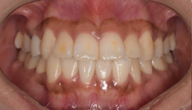
CASE1

Before
Before
After
After
年齢・
性別
20代・女性
主訴 歯ぐきの色が気になる
治療
回数
1回
治療
費用
ガムピーリング 上下顎
11,000円×1
(2025年9月現在)
治療
内容
ガムピーリング
リスク・
副作用
・ヒリヒリとした痛み
・フェノール、アルコール類にアレルギーは禁忌
・施術後1〜3日くらいは歯ぐきが白っぽくなる

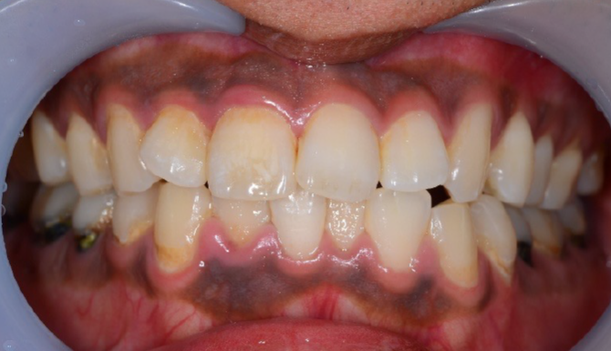
CASE2

Before
Before
After
After
年齢・
性別
20代・男性
主訴 歯ぐきの色が気になる
治療
回数
1回
治療
費用
ガムピーリング 上下顎
11,000円×1
(2025年9月現在)
治療
内容
ガムピーリング
リスク・
副作用
・ヒリヒリとした痛み
・フェノール、アルコール類にアレルギーは禁忌
・施術後1〜3日くらいは歯ぐきが白っぽくなる

総合的な歯科検診の
ご相談・ご予約はこちらから

TOP
初めての方へ
当院の特徴
料金表
よくあるお悩み
ドクター紹介
施設基準
診療案内
症例
アクセス
お問い合わせ
WEB予約

©️ 秋津駅前すぐの歯医者・秋津歯科・矯正歯科

・平日 8:30-17:00 ・初診最終受付16:00
・土  8:30-17:00 ・再診最終受付16:30
休診日:水・日・祝