CASE025 即時義歯の症例

入れ歯症例

※本症例は、患者さんご本人の同意を得たうえで掲載しています。
※治療結果には個人差があります。

治療前

治療後

年齢・性別 50代・男性
主訴 ・歯ぐきから血が出る
・しっかり噛めない
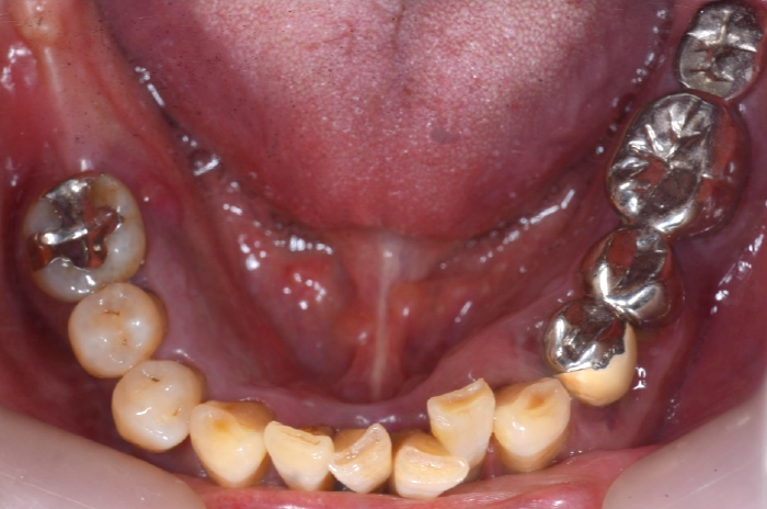
治療内容 ・即時義歯
 

ご相談内容

歯科治療に対する苦手意識から、長期間受診を控えていたとのことでした。
初診時には、重度の歯周病を伴い、歯の動揺や噛み合わせの乱れが認められました。

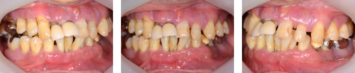
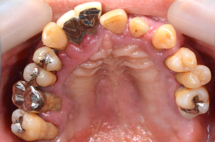
初診時の状態

歯周病により歯はグラグラの状態で、元の位置から動いてしまっていました。
また、レントゲン写真でも歯を支えている骨が吸収していることが明らかで、噛む力を十分に支えられない状態でした。

このままの状態で歯を残すことは難しく、抜歯が必要と判断しました。

初診時口腔内写真

レントゲン写真

治療方針と即時義歯を
選択した理由

本症例では、即時義歯を用いた治療を選択しました。
即時義歯とは、歯を抜いた当日に装着する入れ歯のことです。
歯を抜いたあとに一時的に噛めない期間や、見た目が大きく変わる期間をできるだけ避けることを目的としています。

即時義歯のメリット

  • 抜歯後も見た目の変化を最小限に抑えられる
  • 噛む機能を急激に失わずに生活できる
  • 入れ歯に早い段階から慣れることができる
  • 顎の位置や噛み合わせを治療中に調整しやすい

即時義歯のデメリット・注意点

  • 抜歯後に歯ぐきや骨の形が変化するため、調整が必要になる
  • 初期には違和感や痛みが出ることがある
  • 最初から最終的な入れ歯として完成させることはできない

想定されるリスク・副作用

  • 抜歯後の痛みや腫れ
  • 義歯による歯ぐきの痛みや擦れ
  • 一時的な発音のしづらさ
  • 噛み合わせの変化による違和感
  • 調整を怠った場合、義歯が合わなくなる可能性

これらについては、治療前に十分説明を行い、治療中も状態を確認しながら調整を行っています。

治療の進め方

インサイザルエッジポジション
の決定

治療用義歯を作るために、まずは前歯の位置を決定します。
解剖学的ランドマーク(歯がここにあるべき、という口の中の印)、笑った時の口唇の上がり具合などを基準とします。

人工歯排列

入れ歯の歯を並べる過程の写真です。即時義歯ではパーツごとに模型の歯を削って、そこに人工歯を並べることを繰り返していきます。 歯を抜いた後の歯ぐきの形を想像しながらの作業は精密な診査と経験が必要になります。

治療用義歯

20121205122012024

治療用義歯を使用しながら、下記内容を少しずつ整えていきました。

  1. 噛み合わせの高さ
  2. 顎の位置
  3. 舌や口の周りの筋肉との調和

最終義歯の製作

顎の動きや噛み合わせが安定したことを確認したうえで、最終的な入れ歯を製作しています。

治療用義歯装着
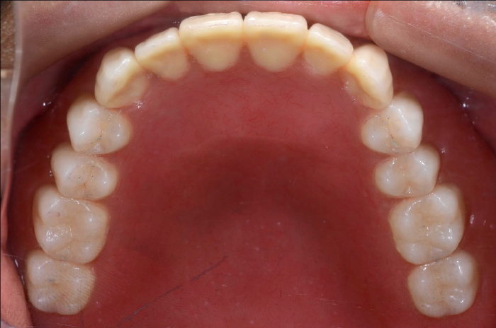
1年6ヶ月後の口腔内

最終義歯製作における
コピーデンチャーの使用

最終的な入れ歯を製作する際には、コピーデンチャーという方法を用いました。

といった「うまくいっている要素」をできるだけ再現しながら、新しい入れ歯を作る方法です。

治療の途中で安定していた状態を、最終義歯に反映しやすくなるという利点があります。

コピーデンチャーを用いた
咬座印象

最終義歯の人工歯排列

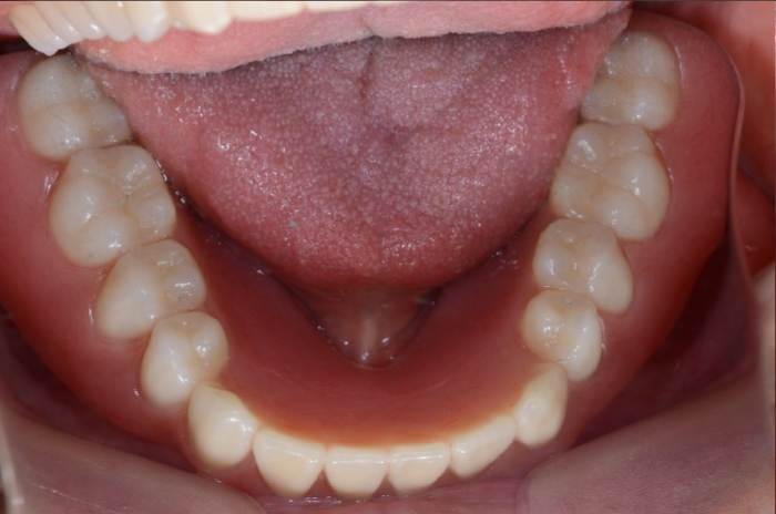
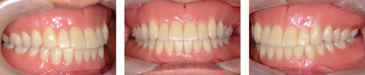
最終義歯装着時の口腔内写真

咀嚼能力試験による評価

治療の前後で、咀嚼能力試験(グミゼリーを使用)を行いました。
この検査は、一定の硬さのグミゼリーを噛み、その細かく砕けた状態を専用の方法で評価する検査です。

「どれだけ噛めているか」を客観的に数値として確認することができます。

本症例では、治療後の咀嚼能力が大きく改善していることが確認できました。
※数値の変化には個人差があります。

咀嚼能力試験

こちらの検査結果は数値が100以上で問題なく噛めているということになります。
初診時はご自身の歯がありましたが、100以下という結果で下が、治療用義歯・最終義歯と治療が進むにつれ、数値は著しく上昇しました。

また、上段は試験後のグミ写真になりますが、治療用義歯でもしっかりとグミを粉砕できていることがわかります(最終義歯時の写真を撮り忘れてしまいました)。

治療後の経過

治療後は、以下の変化が見られました。

  • 食事がしやすくなった
  • 噛むことへの不安が減った

本症例のまとめ

入れ歯治療では、「見た目」や「感覚」だけでなく、 噛む機能をどれだけ回復できているかを客観的に評価することも大切だと考えています。

そのため当院では、必要に応じて以下の内容を組み合わせながら治療を行っています。

  • 治療用義歯
  • コピーデンチャー
  • 咀嚼能力試験

入れ歯でお悩みの方、「何度作っても合わなかった」「噛めるようになった実感がない」という方も、一度ご相談ください。

何度作っても入れ歯が合わない コピーデンチャーとは?

総合的な歯科検診の
ご相談・ご予約はこちらから

TOP
初めての方へ
当院の特徴
料金表
よくあるお悩み
ドクター紹介
診療案内
症例
アクセス
お問い合わせ
WEB予約

©️ 秋津駅前すぐの歯医者・秋津歯科・矯正歯科

・平日 8:30-17:00 ・初診最終受付16:00
・土  8:30-17:00 ・再診最終受付16:30
休診日:水・日・祝