CASE26 歯がすり減り
笑えなかった方が、全顎治療で
笑えるようになった症例

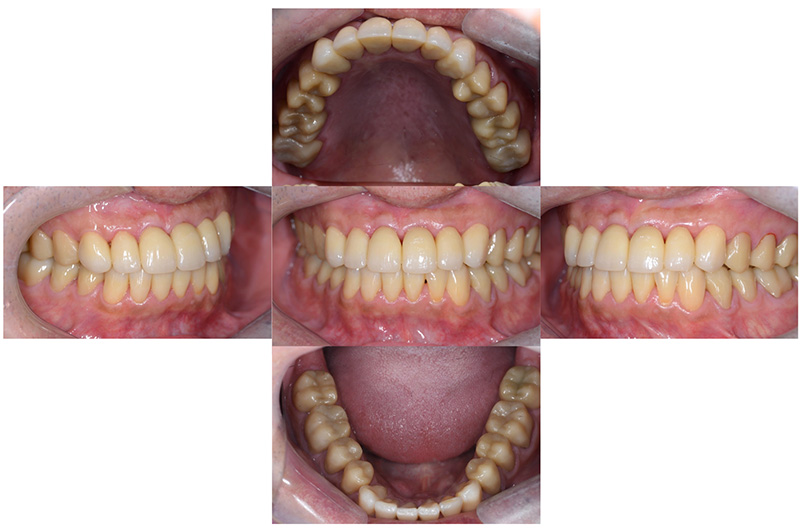
治療前

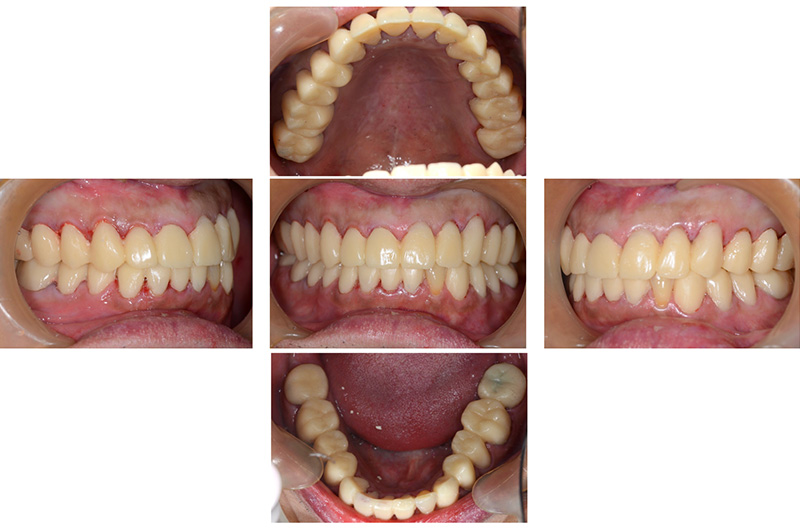
治療後

主訴 歯がすり減って、見た目が気になり、人前で笑えない
治療期間 7ヶ月
費用 2,649,900円(税込)
補綴診断料(スプリント代含む)55,000円
診断用ワックスアップ(2,200円/本)27本分
仮歯代(5,500円/本)27本分
ジルコニアステイン(121,000円/本)11本分
ジルコニアクラウン(66,000円/本)16本分
2021年4月時点

※自費診療

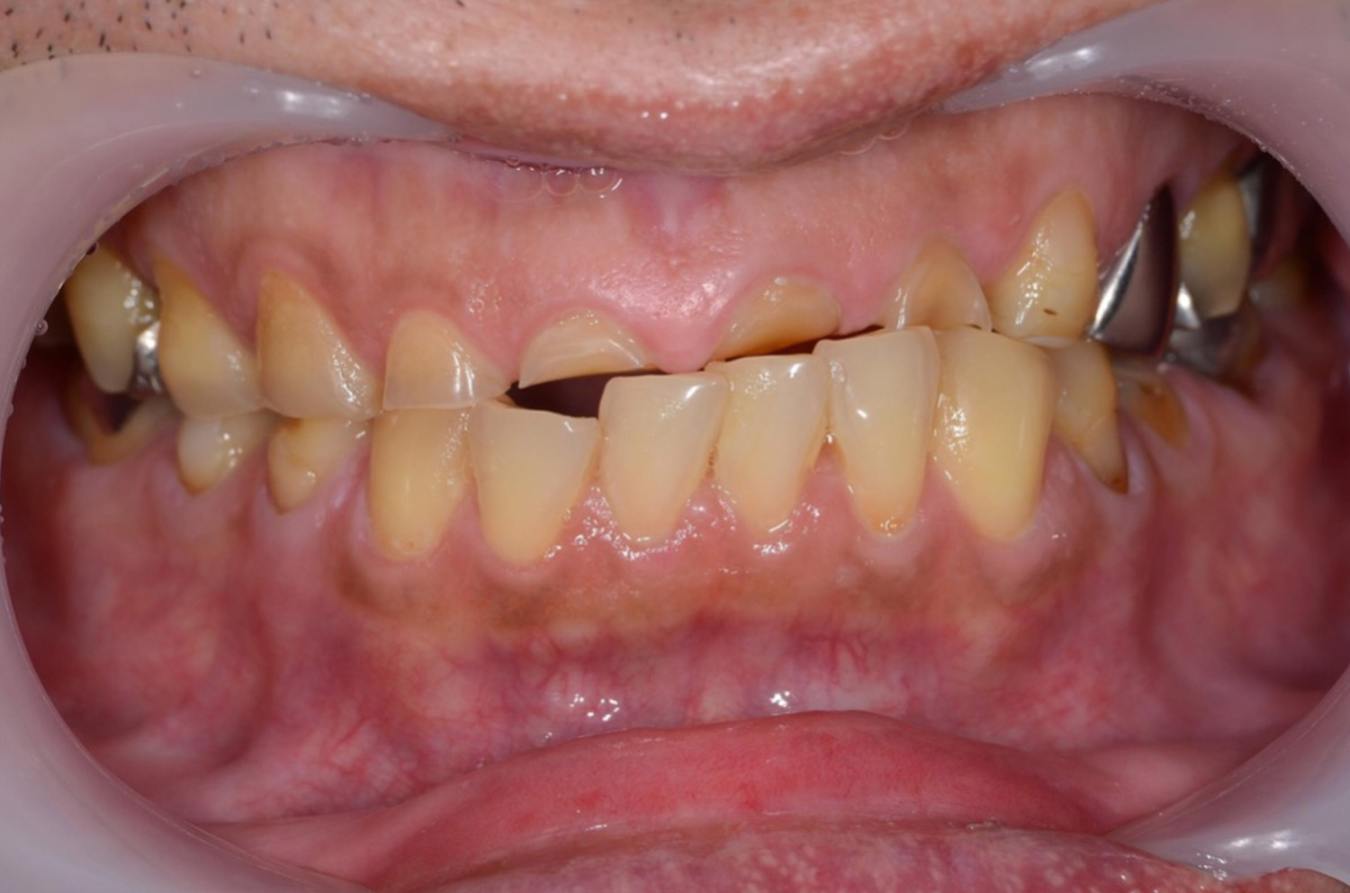
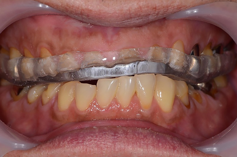
初診時の状態

「上顎の前歯が徐々にすり減り、見た目が気になっていた」とのことですが、今まで歯医者に行っても指摘されなかったので、治療できるとは思っていなかったそうです。

治療計画

診断名

エロージョン(酸蝕症)による咬耗症

治療方針

歯がすり減り、被せ物を入れるスペースがなかったため、

  • 噛み合わせの高さを上げる(咬合挙上)
  • 歯ぐきの手術により歯の長さを確保する(歯冠長延長術)

この2つを組み合わせて治療を行いました。

治療経過

スプリント(マウスピース)装着

噛み合わせの高さを上げるため、まずは取り外し可能なスプリントを装着してもらいました。
発音・顎関節や筋肉に問題がなかったので、この高さの噛み合わせへ変更可能と判断しました。

スプリントのリスク

  • 歯磨きの時以外はずっと装着してもらいます。
    そのため、歯磨きが不十分だと、虫歯ができたり、歯ぐきが腫れてしまったりします。
  • 噛み合わせを変えるため、顎関節への負担が大きくなり、痛みが出る場合があります。
    痛みが強い場合には使用を中止してもらいます。
  • 発音がしにくくなり、また発音時にスプリントに下の歯が当たることがあります。

診断用ワックスアップ

歯科技工士に診断用ワックスアップを製作してもらいました。
診断用ワックスアップとは、設計図のような物です。写真のグレー色の部分はワックス(蝋)です。治療完了後の歯の形や噛み合わせを診断します。 診断の結果、本症例では下顎の左下2番目の歯以外、全28本中27本の歯に被せ物での治療が必要な重度な状態でした。

仮歯装着

診断用ワックスアップを基に仮歯を製作し、全ての歯に仮歯を装着しました。

仮歯のリスク

  • 仮歯はプラスチック製のため、固いものを噛むと割れる可能性があります。
  • 外せるように装着するので、粘着性の食品で取れることがあります。
  • 長期間使用すると変色します。
  • 仮歯はあくまでも仮のものですので、治療を完了させないと、抜歯に至る場合があります。

歯冠長延長術

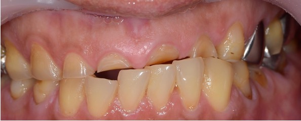
初診時

歯冠長延長術後

初診時の状態です。上顎の前歯は削れてしまって、歯の丈がありません。これでは被せ物をつけることができません。
歯冠長延長術にて、歯ぐきと歯を支えている骨を削り、歯の長さを確保し、被せ物を支えることが可能になります。
ここまで来れば、治療の8割は終わったも同然です。噛み合わせも安定していたので、下の奥歯から順々に被せ物を製作していきました。

歯冠長延長術のリスク

  • 外科的手術なので、術後に痛みや腫れを伴うことがあります。
  • 術後に出血することがあります。
  • 塗った糸が取れる可能性がありますので、抜糸するまでは歯磨きは控えるようにしてください。
  • 神経がある歯では染みることがあります。

被せ物(クラウン)装着

本症例では審美性を考慮して、前歯はジルコニアステイン、奥歯はジルコニアクラウンを製作しました。
歯に動揺がなかったため、全てのクラウンは単独とし、連結(被せ物をつなげること)はしませんでした。
なお、就寝時にはナイトガードを使用してもらっています。

被せ物(クラウン)のリスク

  • 装着後、違和感が生じることがあります。
  • 装着後は定期的に噛み合わせの調整が必要になることがあります。
  • 歯軋りや食いしばりにより外れることがあります。

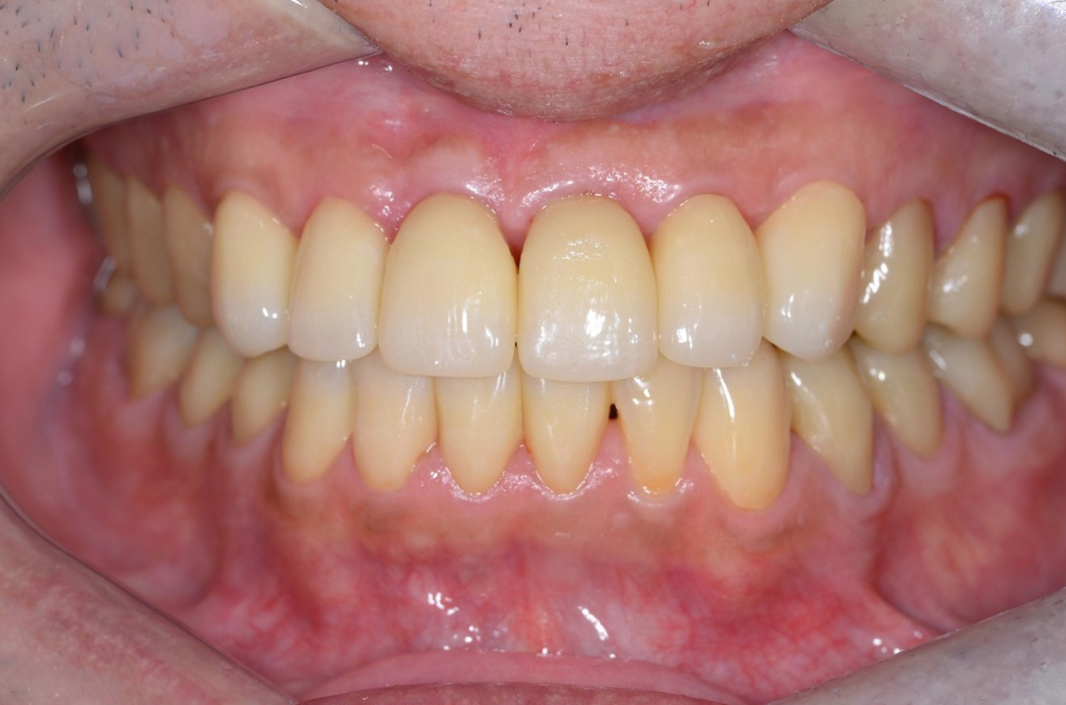
治療結果

治療前後の比較になります。治療前は歯がないような状態でしたが、咬合挙上と歯冠長延長術により審美性と噛む機能の両方を回復することができました。
患者さんからは、

「今までは人前で笑うことができなかったけど、今は見た目を気にせず生活ができるようになった」

とのコメントをいただきました。

治療前

治療後

まとめ

本症例のように全顎的な治療では治療が長期間になるため、患者さんの協力が非常に重要です。
治療中は不便なこともあったと思いますが、患者さんの協力によりご満足いただける結果を得ることができました。
歯がボロボロで治療を諦めている方でも改善できる可能性があります。

  • 歯がすり減っている
  • 入れ歯で悩んでいる
  • 噛めない状態が続いている

などお困りなことがありましたら、まずは一度ご相談ください。

※治療の満足度には個人差があります。
※全ての患者さんに適応できるとは限りません。

総合的な歯科検診の
ご相談・ご予約はこちらから

TOP
初めての方へ
当院の特徴
料金表
よくあるお悩み
ドクター紹介
施設基準
診療案内
症例
アクセス
お問い合わせ
WEB予約

©️ 秋津駅前すぐの歯医者・秋津歯科・矯正歯科

・平日 8:30-17:00 ・初診最終受付16:00
・土  8:30-17:00 ・再診最終受付16:30
休診日:水・日・祝