CASE25 金属バネ(クラスプ)を
見せない部分入れ歯の症例

入れ歯を目立たなくする
部分入れ歯の症例

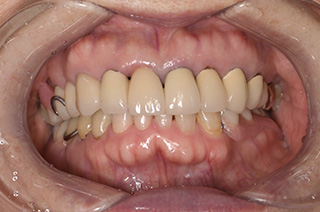
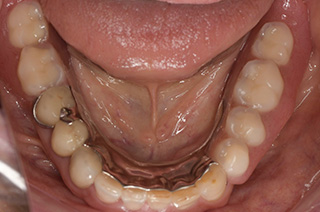
治療前

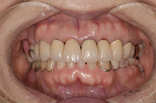
治療後

プロフィール 79歳・女性
主訴 下の入れ歯の見た目が気になる
当院のホームページを見て、ノンメタルクラスプ義歯を作りたいということで来院されました。
部分入れ歯特有の金属製バネ(クラスプ)が口元から見えることを気にされていました。
治療期間 2ヶ月
治療費用 625,000円(税込)
2026年2月時点

※治療効果には個人差があります
※本症例は一例であり、同様の結果を保証するものではありません。

治療方針

患者さんは「目立たない入れ歯」を希望されて来院されました。
一般的には金属のバネを使わない「ノンメタルクラスプ義歯」が
選択されることが多いですが、本症例ではあえて別の方法を選択しました。

ノンメタルクラスプ義歯を避けた理由

以下のような場合には、ノンメタルクラスプ義歯が適さないことがあります。

  • 1.虫歯や歯周病のリスクが高い場合
  • 2.支える歯の丈が短い場合
  • 3.支える歯の形態が平面的で凹凸が少ない場合
  • 4.部分入れ歯が動きやすい場合
  • 5.支える歯の周囲の骨が出っ張っている場合

今回は「3」と「5」が当てはまったため、ノンメタルクラスプ義歯での製作を断念しましたが、
それぞれの理由についてご説明します。

  1. ノンメタルクラスプでは歯ぐきをベタっと覆うため、歯磨きが苦手、もともと虫歯や歯周病のリスクが高い方では、虫歯が進行したり、歯ぐきが腫れたりします。
  2. 歯の丈が短いと、歯がノンメタルクラスプで覆い隠されてしまい、歯ぐきが腫れているような見た目になってしまいます。
  3. 歯がのっぺりとした形だと、入れ歯が外れやすくなります。
  4. ノンメタルクラスプは樹脂製のため変形しやすいです。入れ歯が動くと、その力により変形が早まり、ゆるゆるの入れ歯になってしまいます。
  5. ノンメタルクラスプは歯ぐきを覆いますが、出っ張っている歯ぐきをさらに出っ張らせるため、異物感が強くなります。今回の症例は写真の赤丸のように骨が出っ張り(骨隆起)が認められます。さらに、犬歯にかかる場合には、口角が腫れているような見た目になる可能性があります。

本症例の攻略方法

治療前

治療後

従来の金属製のバネ(クラスプ)では治療前と同じになってしまいます。
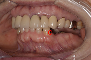
今回のポイントは目立たない位置に「くぼみ(ディンプル)」(写真の赤丸部分)を設け、そこにクラスプがハマり込むようにしました(青丸)。
本症例では0.25mm程度のディンプルを専用の道具を用いて掘り込みました。

これにより、見た目を損なわない・外れにくいが両立可能となりました。

金属床部分入れ歯を装着した状態です。

下顎の内側にも骨の出っ張り(骨隆起)が認められ
ました。この部分は歯ぐきが薄く、入れ歯が当たる
と痛みが出やすい部分なので、ここを避けるように
部分入れ歯をデザインしました。

部分入れ歯(裏側)

部分入れ歯(表側)

金属床部分入れ歯の写真です。
入れ歯として重要なことは噛む力に負けない「剛性」を有することです。
そのためには金属製のフレームを用いる必要があります(保険適応外)。
そして、入れ歯が動かないようにするため、金属部分と歯とが接触する部分を増やします(把持効果)。

入れ歯を外れないようにするためにはクラスプ(ノンメタルクラスプを含む)が大切のように思われがちですが、実はそうでもありません。クラスプによる力が強すぎると、支える歯の負荷が強くなり、歯の健康を損なう可能性があります。
強すぎず、弱すぎずの絶妙のバランスが必要だからこそ難しい。だからこそ、把持効果を大きくすることが部分入れ歯の成功への道となります。

本症例におけるリスク

  • 骨隆起を避けたデザインとなっているため、歯の裏側を金属が覆っています。そのため、異物感が生じる可能性があります。
  • 前歯が動くと、歯と入れ歯の金属部との間に隙間が生じることがあります。
  • 虫歯や歯周病により残存歯にトラブルが発生すると、入れ歯の作り直しが必要になることがあります。
  • 顎堤(入れ歯が乗る歯ぐき)は経年的に形が変わりますので、入れ歯の修理が必要になることがあります。

まとめ

 

「目立たない入れ歯」を希望される患者さんは非常に多いです。「ノンメタルクラスプ義歯」だけがその方法ではなく、当院ではお口の状況を踏まえた上で、見た目だけでなく、機能や装着感を考慮した入れ歯治療をご提案しています。
現在お使いの入れ歯でお困りの方も、お気軽にご相談ください。

総合的な歯科検診の
ご相談・ご予約はこちらから

TOP
初めての方へ
当院の特徴
料金表
よくあるお悩み
ドクター紹介
施設基準
診療案内
症例
アクセス
お問い合わせ
WEB予約

©️ 秋津駅前すぐの歯医者・秋津歯科・矯正歯科

・平日 8:30-17:00 ・初診最終受付16:00
・土  8:30-17:00 ・再診最終受付16:30
休診日:水・日・祝